Now processing ... 
 Now searching ... 
 Now loading ... 

いわゆる口内炎

出典
img
1: 著者提供

カンジダ口内炎

出典
img
1: 著者提供

放射線性口内炎

出典
img
1: 著者提供

非血縁者間骨髄移植後16日の口内炎

出典
img
1: 著者提供

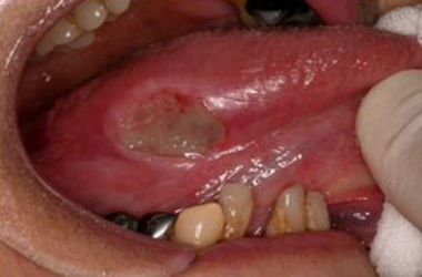
メソトレキセートによる口内炎

出典
img
1: 著者提供