Now processing ... 
 Now searching ... 
 Now loading ... 

頭部脂漏性皮膚炎に見られたフケ症

病 歴:5年来、頭部の瘙痒とフケに悩んでいた。
診 察: 頭部ほぼ全体に紅斑とフケを認める。フケはやや黄色みを帯びている。
診断のためのテストとその結果:診察所見、病歴から診断。採血検査でCBC、一般生化学、IgEはすべて正常範囲内であった。皮脂量は135と高値。頭部の皮膚にはマラセチア胞子を多数認めた。
治 療:抗アレルギー剤とビタミン剤の内服。抗真菌液剤とステロイドローションの外用処方。
転 帰:4週間でかなり炎症は軽快したため、ステロイドを中止し、他の治療は継続した。この疾患は年余にわたって続くため、副作用の出にくい治療法が望まれる。
出典
img
1: 清 佳浩先生ご提供

尋常性乾癬

病 歴:数年来、あまり自覚症状のない紅斑、フケが出現した。
診 察:頭部に境界明瞭な銀色の鱗屑を伴う紅斑局面あり。肘頭、殿部にも同様の局面散在。
診断のためのテストとその結果:診察所見、病歴から診断。採血検査でCBC、一般生化学、IgEはすべて正常範囲内であった。他の鑑別疾患より鱗屑が大きい傾向にある。
治 療:ステロイドとビタミンD3ローションを重層塗布してもらい、抗アレルギー剤の内服を処方した。
転 帰:鱗屑は消失し、紅斑局面が残存。ビタミンD3ローション単独外用を継続中。尋常性乾癬が治癒する例は限られているため、長期間、皮疹をコントロールしていく必要がある。
出典
img
1: 清 佳浩先生ご提供

毛染めによる接触皮膚炎

病 歴:以前にもかぶれたことはあったが長期間の間隔があいたので大丈夫だろうと、受診4日前に毛染めを行った。受診前日からかゆみとフケが出てきたため来院。
診 察:頭部と項部に境界明確な紅斑、水疱、びらんを認める。薄い黄色の浸出液を伴う。体の他の部位には皮疹無し。
診断のためのテストとその結果:毛染めのパッチテスト陽性。
治 療:抗アレルギー剤。ステロイドローション外用により5日で治癒した。
転 帰:毛染めではなく、パラフェニレンジアミンを含まないヘアーマニュキア使用にて治癒。
出典
img
1: 清 佳浩先生ご提供

アトピー性皮膚炎

病 歴:受診3カ月前から頭部のフケが目立ってきた。以前から四肢間擦部にあせもがよく出る。
診 察:間擦部には軽度の色素沈着あり。腹部ではアトピー皮膚あり。後頭部ではわずかな赤みと白色の鱗屑を認める。(写真は後頭部皮膚のダーモスコープ像。毛孔一致性に乾燥した鱗屑の付着が認められる)
診断のためのテストとその結果:採血検査でCBCのうち好酸球数の軽度上昇、一般生化学は正常範囲内、IgEは1350と上昇しているが、TARCは250と正常範囲内だった。
治 療:敏感肌用のシャンプーに変更、 ステロイドローション外用を処方し、1週間で軽快。
転 帰:略治状態を保っている。
出典
img
1: 清 佳浩先生ご提供

M. canisによる頭部白癬

病 歴:10歳女児。受診3週間前に猫をもらった。2週間前から頚部、頭部にかゆみを伴う紅斑が出現。
診 察:左側頭部に鱗屑、痂皮を混じる紅斑局面あり。頚部には辺縁に鱗屑、紅斑が目立つ類円形皮疹が散在。躯幹、四肢には特に皮疹は見られなかった。
診断のためのテストとその結果:鱗屑、病毛の直接鏡検にて白癬菌陽性。病毛では、菌要素は毛を取り巻くように存在。真菌培養にてM. canisが同定された。
治 療:抗真菌剤の内服にて3週間で治癒した。
転 帰:母親の頚部にも皮疹が認められ、同様の結果であった。猫は獣医で治療され治癒した。
出典
img
1: 清 佳浩先生ご提供

単純性粃糠疹

病 歴:受診数カ月前から自覚症状を伴わないフケが目立ってきた。
診 察:頭皮に異常を認めずに白色の鱗屑だけが目立つ。他部位に皮疹無し。
診断のためのテストとその結果:臨床症状から診断。
治 療:外用保湿剤を処方、または市販の頭皮保湿ローションを使用。
転 帰:治癒。
出典
img
1: 清 佳浩先生ご提供

慢性湿疹

病 歴:受診数年前より頭部に瘙痒が強い。
診 察:頭部には掻破痕を混じる瘢痕、紅斑、苔癬化を認める。
診断のためのテストとその結果:診察所見、病歴から診断。採血検査でCBC、一般生化学、IgEはすべて正常範囲内であった。
治 療:抗アレルギー剤内服とステロイドローション外用で加療。
転 帰:かなり改善したが、外用しないと再発する。
出典
img
1: 清 佳浩先生ご提供

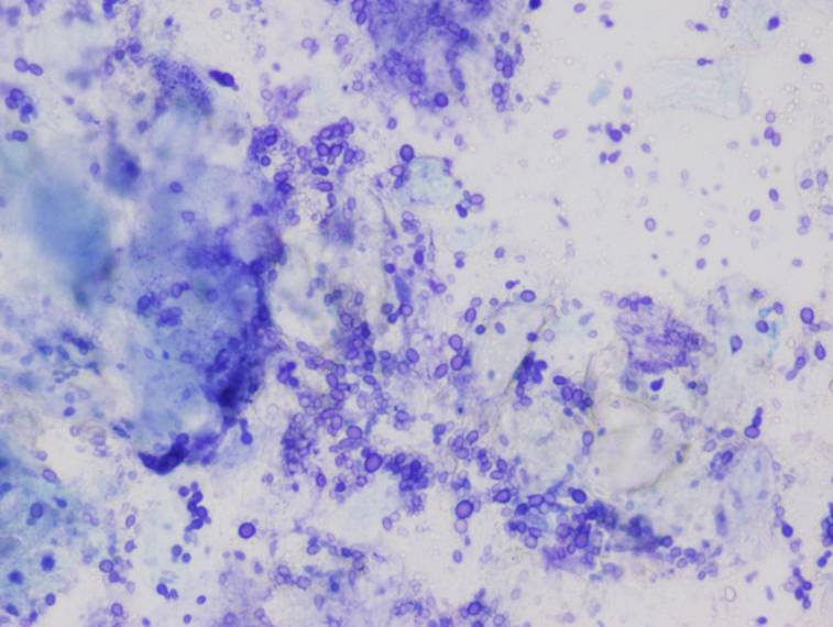
脂漏性皮膚炎のマラセチア菌要素

酸性メチレンブルー染色にて認められた鱗屑中の菌要素
出典
img
1: 清 佳浩先生ご提供

脂漏性皮膚炎のダーモスコープ所見 黄色調の鱗屑

出典
img
1: 清 佳浩先生ご提供

尋常性乾癬のダーモスコープ所見 白色の鱗屑

出典
img
1: 清 佳浩先生ご提供

フケ症の診療アルゴリズム

出典
img
1: 清 佳浩先生ご提供