Now processing ... 
 Now searching ... 
 Now loading ... 

てんかん症候群と発症年齢

小児のてんかん症候群は年齢依存性がある。
出典
img
1: 著者提供

てんかん発作型国際分類(2017年改訂版)

原本:Scheffer IE et al.: ILAE classification of the epilepsies: Position paper of the ILAE Commission for Classification and Terminology. Epilepsia58:512-521, 2017. Fisher RS et al.: Operational classification of seizure types by the International League Against Epilepsy: Position Paper of the ILAE Commission for Classification and Terminology. Epilepsia58:522-530, 2017.
出典
img
1: 日本てんかん学会用語委員会編:てんかん学用語集第6版、巻頭資料1分類図.日本てんかん学会、東京、2021、p1

てんかん発作型国際分類(2017年改訂版)
Classification of seizure types 発作型分類 (ILAE 2017)

出典
img
1: 日本てんかん学会用語委員会編:てんかん学用語集第6版、巻頭資料2 Classification of seizure types 発作型分類 (ILAE 2017).日本てんかん学会、東京、2021、p2

てんかん発作型国際分類(2017年改訂版)
Epilepsy syndromes (distinctive constellations) てんかん症候群 (特定症候群)

出典
img
1: 日本てんかん学会用語委員会編:てんかん学用語集第6版、巻頭資料3-2てんかん症候群.日本てんかん学会、東京、2021、p4

てんかん発作型国際分類(2017年改訂版)
Epilepsies attributed to and organized by structural-metabolic causes 構造/代謝性の原因に帰するてんかん

出典
img
1: 日本てんかん学会用語委員会編:てんかん学用語集第6版、巻頭資料3-2てんかん症候群.日本てんかん学会、東京、2021、p4

てんかん発作型国際分類(2017年改訂版)
2017 年分類での重要な⽤語改訂

出典
img
1: 日本てんかん学会用語委員会編:てんかん学用語集第6版、巻頭資料4 重要な用語改定.日本てんかん学会、東京、2021、p5

非てんかん性発作

てんかん発作と鑑別すべき非てんかん性発作は多様である。
出典
img
1: 著者提供

小児欠神てんかん:5歳の発作時脳波 3Hz spike-and-wave

過呼吸負荷で誘発されやすい。突然動作が止まり、終了後すぐに、発作前の状態に復帰する。
出典
img
1: 久保田雅也先生ご提供

中心側頭部に棘波をもつ自然終息性てんかん:8歳男児・女児の脳波

左右独立した中心側頭部や前頭側頭部からのいわゆるrolandic discharge(ローランド発射)の頻発を認める。いずれも軽睡眠期の記録である。
a:中心側頭部に棘波をもつ自然終息性てんかん 8歳男児
b:中心側頭部に棘波をもつ自然終息性てんかん 8歳女児
出典
img
1: 久保田雅也先生ご提供

レノックス・ガストー症候群(LGS):9歳男児の脳波 slow spike-and-wave

約1.5-2Hzの不規則全般性spike-and-waveを認める。多彩な発作型と精神発達遅滞からLGSと診断された。
出典
img
1: 久保田雅也先生ご提供

てんかん症候群に対する選択薬

代表的な小児期発症てんかん症候群に対する選択薬を示す。いずれもバルプロ酸が第1選択薬であり、本薬剤の特性を知っていることが重要となる。表中用語について:最新用語では「特発性部分てんかん」が「自然終息性焦点てんかん」となる。
出典
img
1: 日本神経学会監修、「てんかん診療ガイドライン」作成委員会編:てんかん診療ガイドライン2018、第6章 てんかん症候群別の診療ガイド、医学書院、2018、p64、表1.

主な抗てんかん薬の治療域血中濃度と薬物動態

主な抗てんかん薬の治療域血中濃度と薬物動態を示した。あくまでも参考値であり、下限以下でも発作コントロールは可能な場合や、上限以下でも副作用が出現する場合があり、適宜臨床判断が重要となる。
出典
img
1: 日本神経学会監修、「てんかん診療ガイドライン」作成委員会編:てんかん診療ガイドライン2018、第12章 薬物濃度モニター、医学書院、2018、p124、表1.

抗てんかん薬の薬物相互作用

出典
img
1: 日本神経学会監修、「てんかん診療ガイドライン」作成委員会編:てんかん診療ガイドライン2018、第12章 薬物濃度モニター、医学書院、2018、p129、表1.

抗てんかん薬の副作用

抗てんかん薬の副作用を示した。開始時に説明しておくことが重要である。
出典
img
1: 日本神経学会監修、「てんかん診療ガイドライン」作成委員会編:てんかん診療ガイドライン2018、第7章 抗てんかん薬の副作用、医学書院、2018、p75、表1.

他の薬剤(向精神薬と、一般薬)が抗てんかん薬に及ぼす影響

他の薬剤が抗てんかん薬に及ぼす影響を示した。
出典
img
1: 日本神経学会監修、「てんかん診療ガイドライン」作成委員会編:てんかん診療ガイドライン2018、第12章 薬物濃度モニター、医学書院、2018、p130,表2、p131,表4.

治療を始めるにあたり患者家族に説明すべき事柄

治療者と患者家族が治療開始時から共有しておくべき事項を示した。
出典
img
1: 日本てんかん学会ガイドライン作成委員会:小児てんかんの包括的治療ガイドライン. てんかん研究, 2005;23(3):244-248.

前頭葉てんかん:7歳女児の脳波

左前頭部からspike-and-waveが出現し、全般化する。主に夜間の左上肢伸展、右上肢屈曲を伴う強直発作は頻発した。カルバマゼピン、ゾニサミドで発作は十分コントロールされず、フェニトインでほぼコントロールされた。発作焦点は左前頭葉が想定されるが、MRIなど画像上異常はなかった。
出典
img
1: 久保田雅也先生ご提供

焦点てんかん:8歳女児の脳波

一見、全般性spike-and-waveにみえるが、時間スケールを拡大してみると右前頭部(F4)が起始部であることがわかる。精神発達遅滞、自閉症を認めた。短時間の動作停止、眼球右方偏位、ときに右上肢伸展を認め、全般性ではなく焦点性と考えられた。
出典
img
1: 久保田雅也先生ご提供

皮質形成異常:2カ月女児のMRI、脳波

左後頭部に皮質形成異常(矢印)を認める。左後頭部優位のspike、suppression-burst様の変化を認める。短い強直発作、眼球偏位はバルプロ酸、クロバザム、ビタミンB6で消失、脳波も改善した。
a:左後頭部皮質形成異常 2カ月女児 MRI
b:左後頭部皮質形成異常 2カ月女児 脳波
出典
img
1: 久保田雅也先生ご提供

構造的病因による焦点てんかん:15歳女児のMRI(術前、術後)

左側頭葉底部に皮質形成異常を認める。6歳発症の意識障害を伴う焦点発作(意識減損発作)が多剤に抵抗性であったため、10歳のとき、同部を切除した。術後4年以上発作再発はなく、術前に出現した学習能力低下も、術後には回復しつつある。
a:構造的病因による焦点てんかん15歳女児 MRI(術前)
b:構造的病因による焦点てんかん15歳女児 MRI(術後)
出典
img
1: 久保田雅也先生ご提供

両側シルビウス裂症候群:9歳男児の頭部MRIおよび脳波

両側シルビウス裂を含む皮質形成異常を認める。これまで臨床発作は確認されていない。精神遅滞、口舌失行、左右上下肢の協調不全を認める。今後発作出現の可能性があり、経過観察が必要である。
a:両側シルビウス裂症候群 9歳男児 MRI
b:両側シルビウス裂症候群 9歳男児脳波
出典
img
1: 久保田雅也先生ご提供

内側側頭葉てんかん:9歳男児の頭部MRI

左海馬を含む内側側頭葉に形成異常を認める。6歳発症の焦点意識減損発作を有する。カルバマゼピンにより発作はコントロールされている。熱性けいれんの既往はなく、精神発達に異常はない。
出典
img
1: 久保田雅也先生ご提供

先天性サイトメガロウイルス感染症:7歳男児の頭部MRI、CTおよび発作時脳波

石灰化は伴わないが、右半球優位に皮質形成異常を認める。転倒発作を含む薬剤抵抗性てんかんを合併し、多剤での発作コントロールが困難であったため脳梁離断術を施行し、その後、発作はすべて消失した。
T4から始まるspikeが全般化し、発作に至っているのがわかる。脳梁離断はこの全般化を遮断し、発作成立を阻止したと考えられる。
a:先天性サイトメガロウイルス感染症7歳男児 MRI、CT
b:先天性サイトメガロウイルス感染症7歳男児 発作時脳波
出典
img
1: 久保田雅也先生ご提供

先天性サイトメガロウイルス感染症:10歳女児の頭部CT

皮質下白質に石灰化、および皮質全般に形成異常(厚脳回)を認める。難聴、精神発達遅滞や薬剤抵抗性てんかんを伴うことも多い。臍帯を用いたPCRによるウイルスDNA検出により確定診断が可能である。
出典
img
1: 久保田雅也先生ご提供

先天性トキソプラズマ感染症

胎児期から脳室拡大は指摘されていた。在胎37週、出生時体重2,560gにて仮死はなく出生。網脈絡膜炎を伴い、CT上石灰化が多発し、母親が活動性のトキソプラズマ感染症を有していたことから上記診断。5カ月から全身性強直性けいれんが出現し、フェノバルビタール投与開始。11カ月でけいれん重積にてICU入院。クロバザム追加。発作コントロール不良にてバルプロ酸、トピラマート追加。発作消失。
CT上の石灰化は軽減。
a:先天性トキソプラズマ感染症 1カ月時CT
b:先天性トキソプラズマ感染症2 歳時CT
出典
img
1: 久保田雅也先生ご提供

構造的病因:左内側側頭葉神経節膠腫(ganglioglioma)による焦点てんかん:7歳男児のCT、MRI

CT上内側側頭葉に石灰化、MRI上嚢胞性病変を認める。3歳発症の焦点意識減損発作(動作停止、眼球偏位、意識混濁を伴う焦点発作)が数十秒持続。ときに両側に波及し、焦点起始両側強直間代発作となる。発作は多剤に抵抗性であったため、病変部切除術が行われた。
出典
img
1: 久保田雅也先生ご提供

結節性硬化症:4歳男児の頭部MRI、CT

左右半球に結節(tuber)、および脳室周囲に石灰化を認める。
出典
img
1: 久保田雅也先生ご提供

内側側頭葉てんかん:8歳男児の頭部MRI、脳波

左海馬の萎縮と高輝度を認める。右海馬も萎縮している可能性がある。2度の熱性けいれん重積の既往がある。発作型は5歳発症の一点凝視を伴う動作停止。発作終了後は朦朧とした状態が持続することもある。脳波は左前頭部優位のspike-and-waveを認める。精神発達に問題はない。
a:内側側頭葉てんかん 8歳男児 MRI
b:内側側頭葉てんかん 8歳男児 脳波
出典
img
1: 久保田雅也先生ご提供

スタージ・ウェーバー症候群:3歳女児の頭部CTおよびMRI

皮質下白質の石化化(a)、右半球の軟膜下血管の造影(b)、左前頭部の軟膜下血管の造影(c)を認める。
a:単純CT
b:造影CT
c:造影MRI
出典
img
1: 久保田雅也先生ご提供

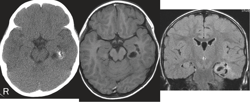
海綿状血管腫:14歳女児の頭部MRI(術前、術後)

通学途中の全身けいれんで発症。MRI上左前頭葉の白質中心に多胞性の病変を認め、周囲に浮腫性変化を認める。MRA上異常な脳血管は指摘できず。海綿状血管腫に伴う出血と診断。開頭腫瘍摘出術後、経過良好でてんかん発作はない。
ab:海綿状血管腫14歳女児 MRI(術前)
c:海綿状血管腫14歳女児 MRI(術後)
出典
img
1: 久保田雅也先生ご提供

乳児てんかん性スパズム症候群の脳波

背景は徐波傾向で不規則な多発する多焦点性の棘波を認める。
a:病因不明の乳児てんかん性スパズム症候群7カ月男児 hypsarrhythmia
b:構造的病因による乳児てんかん性スパズム症候群(新生児期頭蓋内出血後の孔脳症)6カ月男児 hypsarrhythmia
出典
img
1: 久保田雅也先生ご提供

小児非定型焦点てんかん:8歳女児の脳波

不規則なspike-and-waveが出現する。この脳波所見はレノックス・ガストー症候群に類似するが、初期には中心側頭部に棘波をもつ小児てんかん類似の脳波所見を呈することもある。焦点起始発作、非定型欠神、脱力発作、陰性ミオクローヌスを示すようになる。予後は多様である。この陰性ミオクローヌスはカルバマゼピンで悪化、エトスクシミドが著効する。
出典
img
1: 久保田雅也先生ご提供

欠神てんかん:7歳女児の発作時脳波

発達遅滞、小頭症を伴う7歳女児。3歳から全身性強直発作が出現し、焦点起始両側強直間代発作が疑われカルバマゼピン、クロバザムでコントロールされていたが、7歳になり、突然の意識混濁が10秒前後、連日起こるようになった。発作終了とともに瞬時に発作前の行動に戻る。下記発作時脳波と併せ欠神と診断した。エトスクシミド投与を開始したが、完全にはコントロールされず。特発性全般てんかんとしての欠神と比較すると治療抵抗性がある。
出典
img
1: 久保田雅也先生ご提供

脳炎後遺症としての焦点てんかん:13歳女児の脳波

1歳5カ月のとき原因不明の脳炎に罹患し、後遺症として焦点てんかんと左不全片麻痺を遺した。右半球の前頭葉および頭頂葉から独立してspikeを認める。発作型は左上下肢の強直性発作と焦点起始両側強直間代発作である。カルバマゼピン、バルプロ酸、クロバザムにより発作はコントロールされている。
出典
img
1: 久保田雅也先生ご提供

全般性強直間代発作のみを示すてんかん(覚醒時大発作てんかん):14歳女児の脳波

不規則spike-and-waveを認める。
出典
img
1: 久保田雅也先生ご提供

若年ミオクロニーてんかん:15歳男児の脳波

不規則全般性spike-and-waveを認める。
出典
img
1: 久保田雅也先生ご提供

NICEの改訂ガイドライン(2012)における発作型による薬剤選択(五十音順)

出典
img
1: 日本神経学会監修、「てんかん診療ガイドライン」作成委員会編:てんかん診療ガイドライン2018、第4章 小児・思春期のてんかんと治療、医学書院、2018、p49、表1.

主なてんかん薬の作用機序

各抗てんかん薬の作用機序を示したものである。多剤併用の際にこの作用機序が重ならないように工夫することが重要である。
出典
img
1: 日本神経学会監修、「てんかん治療ガイドライン」作成委員会編:てんかん治療ガイドライン2010、第5章 難治てんかんの薬物療法、医学書院、2010、p58、表4.

新生児・乳児期に発症するてんかん症候群

出典
img
1: 新生児・乳児期に発症するてんかん症候群の国際抗てんかん連盟の分類と定義:ILAE 疾病分類・定義作業部会の公式声明. 「てんかん研究」41(3)561-615, 2024

小児期のてんかん症候群

出典
img
1: 小児期に発症するてんかん症候群の国際抗てんかん連盟(International League Against Epilepsy)の分類と定義:ILAE 疾病分類・定義作業部会の公式声明. 「てんかん研究」41(3)616-665, 2024

小児の自然終息性焦点てんかん

出典
img
1: 小児期に発症するてんかん症候群の国際抗てんかん連盟(International League Against Epilepsy)の分類と定義:ILAE 疾病分類・定義作業部会の公式声明. 「てんかん研究」41(3)616-665, 2024

小児期の素因性全般てんかん

出典
img
1: 小児期に発症するてんかん症候群の国際抗てんかん連盟(International League Against Epilepsy)の分類と定義:ILAE 疾病分類・定義作業部会の公式声明. 「てんかん研究」41(3)616-665, 2024

睡眠時棘徐波活性化 (SWAS) を伴う発達性てんかん性脳症(DEE)およびてんかん性脳症(EE)

出典
img
1: 小児期に発症するてんかん症候群の国際抗てんかん連盟(International League Against Epilepsy)の分類と定義:ILAE 疾病分類・定義作業部会の公式声明. 「てんかん研究」41(3)616-665, 2024

さまざまな年齢で発症するてんかん症候群

出典
img
1: 様々な年齢で発症するてんかん症候群の国際抗てんかん連盟(International League Against Epilepsy)の分類と定義:ILAE 疾病分類・定義作業部会の公式声明.「てんかん研究」41(3)666-702, 2024

てんかん症候群の診断と治療開始

「小児てんかん」はいくつものてんかん症候群を寄せ集めた総称であるので、それぞれに特有の対策がある(治療しないことも含めて)と考えなければならない。診断・治療方針の再検討は常に留意される必要がある。
(参考:ILAE 2017 てんかん分類体系)
出典
img
1: 著者提供

てんかんの病因精査のための検査

[ID3605]1:皮質形成異常:2カ月女児のMRI、脳波
[ID3678]2:症候性焦点てんかん:15歳女児のMRI(術前、術後)
[ID0676]3:両側シルビウス裂症候群:9歳男児の頭部MRIおよび脳波
[ID0675]4:内側側頭葉てんかん:9歳男児の頭部MRI
[ID3606]5:先天性サイトメガロウイルス感染症:7歳男児の頭部MRI、CTおよび発作時脳波
[ID3671]6:先天性サイトメガロウイルス感染症:10歳女児の頭部CT
[ID4671]7:先天性トキソプラズマ感染症
[ID3604]8:左内側側頭葉神経節膠腫(ganglioglioma)による症候性部分てんかん:7歳男児の頭部CT、MRI
[ID0679]9:結節性硬化症:4歳男児の頭部MRI、CT
[ID3603]10:内側側頭葉てんかん:8歳男児の頭部MRI
[ID3672]11:スタージ・ウェーバー症候群:3歳女児の頭部CTおよびMRI
[ID3679]12:海綿状血管腫:14歳女児の頭部MRI(術前、術後)
[ID0605]13:乳児てんかん性スパズム症候群の脳波
出典
img
1: 久保田雅也先生ご提供