Now processing ... 
 Now searching ... 
 Now loading ... 

肺葉性無気肺の胸部単純X線写真の所見

胸部単純X写真で図に示された所見があれば、無気肺の有無および局所診断が可能である。
出典
img
1: 青木隆敏. 異常所見の解析 肺の限局性陰影. 呼吸器研修ノート, 診断と治療社, 2011; 223-30.

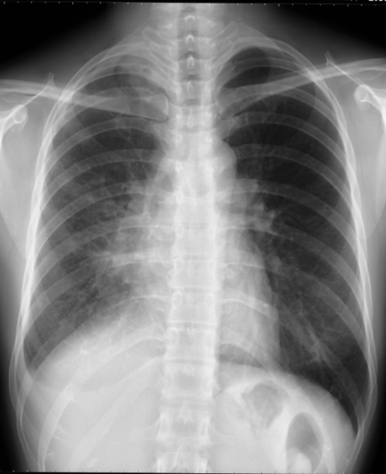
右上葉の無気肺の胸部単純X線写真

胸部正面写真で傍気管線が消失し、縦隔上部のシルエットが消失し(シルエットサイン陽性)、気管が右側に偏位している。
出典
img
1: 桂秀樹先生ご提供

右中葉の無気肺の胸部単純X線写真

胸部正面写真で右心下縁(右第2弓)のシルエットが消失し、淡い陰影を認める(右第2弓でシルエットサイン陽性)。
出典
img
1: 桂秀樹先生ご提供

右下葉の無気肺の胸部単純X線写真

胸部正面写真で右横隔膜のシルエットが消失している(右横隔膜でシルエットサイン陽性)。
出典
img
1: 桂秀樹先生ご提供

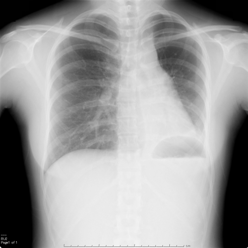
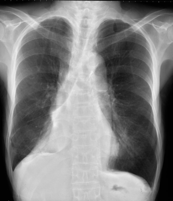
左下葉の無気肺の胸部X線単純写真

心陰影と重なる三角形の陰影を認め、下行大動脈と左横隔膜の内側でシルエットが消失している(下行大動脈と左横隔膜内側でシルエットサイン陽性)。
出典
img
1: 桂秀樹先生ご提供

肺癌による左下葉の無気肺

心陰影と重なる部分で下行大動脈と左横隔膜面のシルエットが消失(シルエットサイン陽性)しており、左下葉の無気肺である。胃泡の位置が上昇していることから左横隔膜の挙上がわかり、左肺の含気低下を反映している。
出典
img
1: 桂秀樹先生ご提供

肺癌による右上葉無気肺――胸部画像

a:胸部単純X線正面像では、右上肺野にくさび型の陰影がみられる。葉間胸膜は挙上し、上方に凸の陰影として認められる。右肺門は腫大し、肺門部に腫瘤の存在が疑われる。右横隔膜は挙上し、右上葉気管支は不明瞭となっている。
b:胸部単純X線側面像では、無気肺に陥った肺葉は、胸部上部にくさび型の陰影として認められる。
c、d:胸部単純CTでは、右上葉気管支周囲から右主気管支周囲に発育する腫瘤が認められる。右上葉気管支は完全に閉塞し、右上葉は無気肺になっている(c:縦隔条件、d:肺野条件)。
出典
img
1: 桂秀樹先生ご提供

アレルギー性気管支肺アスペルギルス症(ABPA)による右中葉無気肺――胸部画像

a:胸部単純X線正面像では、右下肺野にくさび型の陰影がみられ、心陰影下部との境界はやや不明瞭。
b:胸部単純X線側面像では、無気肺に陥った肺葉は、中葉に一致して肺門からくさび型の陰影として認められる。
c、d:胸部単純CTでは、右中葉気管支は完全に閉塞し、右中葉は無気肺になっている(c:縦隔条件、d:肺野条件)。
出典
img
1: 桂秀樹先生ご提供

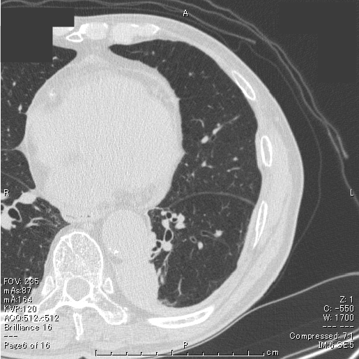
円形無気肺 胸部画像

胸部単純CT(肺野条件)では、左肺S6の椎体に接する部分に腫瘤影を認め、円形無気肺に特徴的なcomet tail signを認め、円形無気肺と診断した。
出典
img
1: 桂秀樹先生ご提供

胸水による受動性無気肺 胸部画像

a:胸部単純X線では右肋横隔膜角が鈍であり、右胸水の存在が疑われる。
b、c:胸部単純CTでは、右胸水の貯留と、含気が低下した肺が認められる。明らかな腫瘤など閉塞性無気肺をきたす所見はなく、受動性無気肺と考えられた。
出典
img
1: 桂秀樹先生ご提供

無気肺診断のアルゴリズム

胸部CTで閉塞性無気肺と非閉塞性無気肺の鑑別を行う。
閉塞性無気肺であれば、喀痰検査などアルゴリズムに記された検査を行い確定診断するが、確定診断がつかない場合には、気管支鏡検査を検討する。
出典
img
1: 桂秀樹先生ご提供