Now processing ... 
 Now searching ... 
 Now loading ... 

肺水腫の分類

参考文献:
1) Crandall ED, Staub NC, Goldberg HS, et al. Recent developments in pulmonary edema. Ann Intern Med, 1983;99(6): 808-22. PMID: 6360001
2) Ware LB, Matthay MA. Clinical practice. Acute pulmonary edema. N Engl J Med, 2005; 353(26): 2788-96. PMID: 16382065
出典
img
1: 著者提供

ARDSの基礎疾患

出典
img
1: 日本呼吸器学会, 日本呼吸療法医学会, 日本集中治療医学会. ARDS診療ガイドライン2016. 総合医学社, 2016; p33, 表3-1.

心原性肺水腫と非心原性肺水腫の胸部画像所見からの鑑別

出典
img
1: 著者提供

肺水腫の胸部X線写真(CXR)

a:心原性肺水腫
急性心筋梗塞による急性左心不全。両側肺門部から広がる浸潤影(バタフライ様)。CTRは拡大している。
b:透過性亢進型肺水腫
ニューモシスチス肺炎に伴うARDS。両側肺にすりガラス影。CTR(心胸郭比)は正常。
出典
img
1: 著者提供

Vascular pedicle width

Vascular pedicle width(VPW)とは、図bのように、胸部X線写真上、大動脈弓上縁と上大静脈外縁を結ぶ線の幅である。立位の胸部X線写真では、健常人のVPWは48 ± 5 mmであり、53 mm を超えると中心静脈圧の上昇を示唆する。
a:健常人
b:中心静脈圧上昇時(注:上大静脈症候群でもVPWは拡大する)
出典
imgimg
1: The radiologic distinction of cardiogenic and noncardiogenic edema.
著者: Milne EN, Pistolesi M, Miniati M, Giuntini C.
雑誌名: AJR Am J Roentgenol. 1985 May;144(5):879-94. doi: 10.2214/ajr.144.5.879.
Abstract/Text: Improvement in the ability to determine the specific cause of any given case of pulmonary edema would lead to more rapid and definitive treatment. "Wedge" pressures and measurements of cardiac output derived from Swan-Ganz catheterization assist in making this determination, but the procedure is invasive, expensive, associated with complications, and not infrequently inaccurate. A plain chest film is, however, almost invariably available in all patients with pulmonary edema, and as shown in this study, the cause of the edema can be determined with a high degree of accuracy by careful attention to certain radiographic features. An independent two-observer study was performed on 216 chest radiographs of 61 patients with cardiac disease, 30 with renal failure or overhydration, and 28 with capillary permeability edema. Three principal and seven ancillary features have been identified, all of which are statistically significant and permit the cause of the edema to be determined correctly in a high percentage of cases. The three principal features are distribution of pulmonary flow, distribution of pulmonary edema, and the width of the vascular pedicle. The ancillary features are pulmonary blood volume, peribronchial cuffing, septal lines, pleural effusions, air bronchograms, lung volume, and cardiac size. Differing constellations of these features occur, each of which is characteristic of a specific type of edema. Overall accuracy of diagnosis in this study ranged from 86% to 89%. The highest accuracy was obtained in distinguishing capillary permeability edema from all other varieties (91%), and the lowest in distinguishing chronic cardiac failure from renal failure (81%).
AJR Am J Roentgenol. 1985 May;144(5):879-94. doi: 10.2214/ajr.144.5.87...

ARDSの新しい診断基準(ベルリン定義)

* 浸出液、結節、腫瘤、肺葉/肺虚脱で十分に説明できない場合は、胸部X線のトレーニングセットを使用する。
** 危険因子が認められない場合は、客観的な評価が必要となる(表を参照)。
VF Com=VP×PaCO2/40(体表面積で補正)
出典
imgimg
1: Acute respiratory distress syndrome: the Berlin Definition.
著者: ARDS Definition Task Force; Ranieri VM, Rubenfeld GD, Thompson BT, Ferguson ND, Caldwell E, Fan E, Camporota L, Slutsky AS.
雑誌名: JAMA. 2012 Jun 20;307(23):2526-33. doi: 10.1001/jama.2012.5669.
Abstract/Text: The acute respiratory distress syndrome (ARDS) was defined in 1994 by the American-European Consensus Conference (AECC); since then, issues regarding the reliability and validity of this definition have emerged. Using a consensus process, a panel of experts convened in 2011 (an initiative of the European Society of Intensive Care Medicine endorsed by the American Thoracic Society and the Society of Critical Care Medicine) developed the Berlin Definition, focusing on feasibility, reliability, validity, and objective evaluation of its performance. A draft definition proposed 3 mutually exclusive categories of ARDS based on degree of hypoxemia: mild (200 mm Hg < PaO2/FIO2 ≤ 300 mm Hg), moderate (100 mm Hg < PaO2/FIO2 ≤ 200 mm Hg), and severe (PaO2/FIO2 ≤ 100 mm Hg) and 4 ancillary variables for severe ARDS: radiographic severity, respiratory system compliance (≤40 mL/cm H2O), positive end-expiratory pressure (≥10 cm H2O), and corrected expired volume per minute (≥10 L/min). The draft Berlin Definition was empirically evaluated using patient-level meta-analysis of 4188 patients with ARDS from 4 multicenter clinical data sets and 269 patients with ARDS from 3 single-center data sets containing physiologic information. The 4 ancillary variables did not contribute to the predictive validity of severe ARDS for mortality and were removed from the definition. Using the Berlin Definition, stages of mild, moderate, and severe ARDS were associated with increased mortality (27%; 95% CI, 24%-30%; 32%; 95% CI, 29%-34%; and 45%; 95% CI, 42%-48%, respectively; P < .001) and increased median duration of mechanical ventilation in survivors (5 days; interquartile [IQR], 2-11; 7 days; IQR, 4-14; and 9 days; IQR, 5-17, respectively; P < .001). Compared with the AECC definition, the final Berlin Definition had better predictive validity for mortality, with an area under the receiver operating curve of 0.577 (95% CI, 0.561-0.593) vs 0.536 (95% CI, 0.520-0.553; P < .001). This updated and revised Berlin Definition for ARDS addresses a number of the limitations of the AECC definition. The approach of combining consensus discussions with empirical evaluation may serve as a model to create more accurate, evidence-based, critical illness syndrome definitions and to better inform clinical care, research, and health services planning.
JAMA. 2012 Jun 20;307(23):2526-33. doi: 10.1001/jama.2012.5669.

ARDS発症の危険因子(ベルリン定義)

出典
imgimg
1: Acute respiratory distress syndrome: the Berlin Definition.
著者: ARDS Definition Task Force; Ranieri VM, Rubenfeld GD, Thompson BT, Ferguson ND, Caldwell E, Fan E, Camporota L, Slutsky AS.
雑誌名: JAMA. 2012 Jun 20;307(23):2526-33. doi: 10.1001/jama.2012.5669.
Abstract/Text: The acute respiratory distress syndrome (ARDS) was defined in 1994 by the American-European Consensus Conference (AECC); since then, issues regarding the reliability and validity of this definition have emerged. Using a consensus process, a panel of experts convened in 2011 (an initiative of the European Society of Intensive Care Medicine endorsed by the American Thoracic Society and the Society of Critical Care Medicine) developed the Berlin Definition, focusing on feasibility, reliability, validity, and objective evaluation of its performance. A draft definition proposed 3 mutually exclusive categories of ARDS based on degree of hypoxemia: mild (200 mm Hg < PaO2/FIO2 ≤ 300 mm Hg), moderate (100 mm Hg < PaO2/FIO2 ≤ 200 mm Hg), and severe (PaO2/FIO2 ≤ 100 mm Hg) and 4 ancillary variables for severe ARDS: radiographic severity, respiratory system compliance (≤40 mL/cm H2O), positive end-expiratory pressure (≥10 cm H2O), and corrected expired volume per minute (≥10 L/min). The draft Berlin Definition was empirically evaluated using patient-level meta-analysis of 4188 patients with ARDS from 4 multicenter clinical data sets and 269 patients with ARDS from 3 single-center data sets containing physiologic information. The 4 ancillary variables did not contribute to the predictive validity of severe ARDS for mortality and were removed from the definition. Using the Berlin Definition, stages of mild, moderate, and severe ARDS were associated with increased mortality (27%; 95% CI, 24%-30%; 32%; 95% CI, 29%-34%; and 45%; 95% CI, 42%-48%, respectively; P < .001) and increased median duration of mechanical ventilation in survivors (5 days; interquartile [IQR], 2-11; 7 days; IQR, 4-14; and 9 days; IQR, 5-17, respectively; P < .001). Compared with the AECC definition, the final Berlin Definition had better predictive validity for mortality, with an area under the receiver operating curve of 0.577 (95% CI, 0.561-0.593) vs 0.536 (95% CI, 0.520-0.553; P < .001). This updated and revised Berlin Definition for ARDS addresses a number of the limitations of the AECC definition. The approach of combining consensus discussions with empirical evaluation may serve as a model to create more accurate, evidence-based, critical illness syndrome definitions and to better inform clinical care, research, and health services planning.
JAMA. 2012 Jun 20;307(23):2526-33. doi: 10.1001/jama.2012.5669.

胸部CTのスカウト画像と胸部CT像

1. 気胸発症時
(胸部CTのスカウト画像と胸部CT像)
左気胸および左肺の虚脱(無気肺)、中央陰影の右方偏移がみられる。
 
2. REPE発症時
(左トロッカー挿入による脱気後、翌日の胸部X線写真と胸部CT像)
左肺に水腫像がみられる。中央陰影の偏移は改善されている。
出典
img
1: 著者提供

NPPEの胸部画像所見

60歳代後半の男性。脳梗塞後遺症で右半身不随。夕食中誤嚥し急に呼吸困難が出現した。救急隊員が口から異物(4 cm大の鶏肉)を除去。約30分後救急車で搬送。酸素吸入下でSpO2 78%。両肺水泡音を聴取。気管内挿管後CPAP(持続陽圧呼吸療法)を施行。翌日には酸素化は改善し4日後には退院。
搬送時胸部X線写真(背臥位):両側中肺野を中心に水腫影。
搬送時胸部CT像:両側上葉優位に浸潤影や小葉隔壁の肥厚像がみられる。
 
出典
img
1: 信州大学医学部附属病院救急科 今村 浩教授よりご提供

左心不全(心原性肺水腫)

78歳の女性。初診の1週間程前から易疲労感を訴え、最近労作時の息切れを自覚し来院した。CXRでは、心拡大、両側胸水貯留像、両肺野に浸潤影(すりガラス影、GGO)がみられる。HRCTでは、両側胸水、葉間胸水、小葉間隔壁の肥厚像、GGO、肺動脈の著明な拡張(矢印)がみられる。診断は、前壁中隔心筋梗塞に伴う左心不全(心原性肺水腫)である。水腫像は間質性肺水腫である。
a:胸部エックス線写真
心胸郭比(CTR)の拡大、両側胸水貯留像、両肺の肺門部から拡がるすりガラス影がみられる。
b:胸部CT像
両側の胸水と葉間胸水、小葉間隔壁の肥厚、すりガラス影(間質性肺水腫を示唆する)、肺動脈の拡張がみられる。
出典
img
1: 著者提供

糖尿病性壊疽の経過中に発症したARDS

a:11月23日(入院時)
78歳の女性。完全房室ブロックでペースメーカー装着中。糖尿病でインスリン使用中であったが、右第1、2趾の壊死が出現し入院した。WBC 9,560、 CRP 8.28、 BUN 44、 Cr 1.23、 HbA1c 7.0。
b:11月28日(ARDS発症時、臥位)
28日起床時から呼吸困難が出現した。WBC 7,580, CRP 26.7、 BUN 32、 Cr 1.29、エンドトキシン 12.78 pg/mL(正常値 1.44)、血液培養 陰性。動脈血ガス分析(室内気);pH 7.449、 PaO2 35.6、 PaCO2 38.1、 HCO3- 26.0、 P/F比(PaO2/FiO2)169.5。心拡大があり、これだけみれば、左心不全(心原性肺水腫)との鑑別が難しい。
出典
img
1: 著者提供

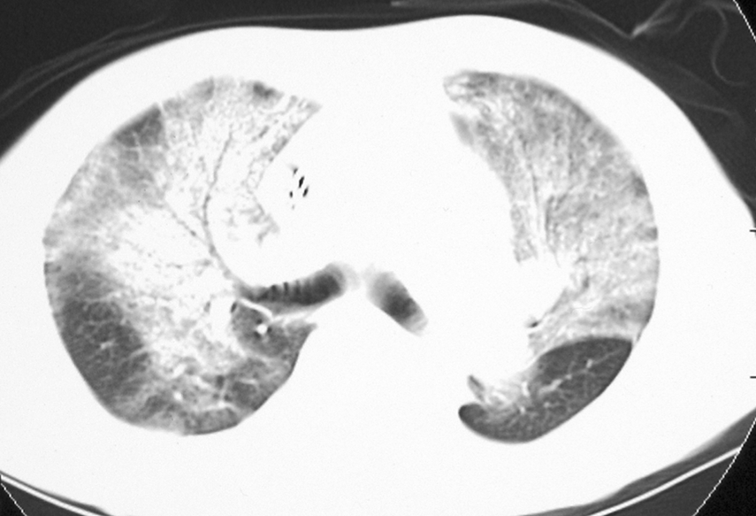
ARDS発症時の胸部CT像

両側に気管支透亮像を伴った肺胞性~すりガラス様浸潤影がみられる。CXRではびまん性にみえるが、CTでは正常部やそれに近い部分もある。
出典
img
1: 著者提供

HAPE胸部X線写真

a:発症時
b:低地移送後、軽快時
海抜2,500 m以上の高地に速やかに到達すると、24~48時間後に発症する(a)。低地移送により速やかに軽快する(b)。
出典
img
1: 著者提供

HAPEの発症時の胸部CT像

HAPEの肺水腫像の特徴は水腫像が斑状に集簇している点である。これはHAPEの発症機序とも関係していて、低酸素性肺血管収縮反応(HPV)が不均等に起こっていることによるのではないか、と推測されている。
出典
img
1: 著者提供

HAPE発症時の気管支肺胞洗浄液の肉眼所見

出血性である。
出典
img
1: 著者提供

HAPE

HAPEは、しばしば高地脳浮腫を合併する。この際、しばしば眼底出血がみられる。
出典
img
1: 著者提供

Kerley B line

胸部X線写真上、胸膜表面に向かって末梢肺野を水平に走行する線状影(白矢印)である。間質性浮腫のために肥厚した小葉間隔壁を示している。
ただし、Kerley B lineは心原性肺水腫だけでなく、急性好酸球性肺炎やがん性リンパ管症、などでもみられる。
出典
img
1: 著者提供

心原性肺水腫と非心原性肺水腫の臨床的鑑別診断アルゴリズム

出典
img
1: Ware LB, Matthay MA. Clinical Practice. Acute pulmonary edema. N Engl J Med, 2005 29; 353(26): 2788-96を参考に作製