Now processing ... 
 Now searching ... 
 Now loading ... 

日本の中皮腫死亡の年次推移(1995~2023年)

ICD-10が導入された1995年の中皮腫死亡数は500人(男子356人、女子144人)であり、2023年は1,595人(男子1,312人、女子283人)に増加している。特に男子での増加が著しい。
 
参考文献:
厚生労働省. 「都道府県(特別区-指定都市再掲)別にみた中皮腫による死亡数の年次推移(平成7年~令和5年)人口動態統計(確定数)」より
出典
img
1: 著者提供

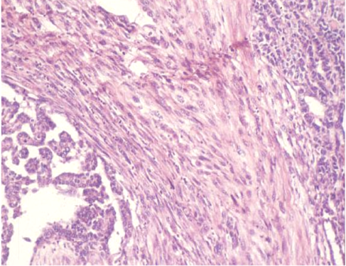
二相型胸膜中皮腫の病理像(HE染色)

上皮様増殖と肉腫様増殖が混在する典型的な二相型中皮腫
出典
img
1: 著者提供

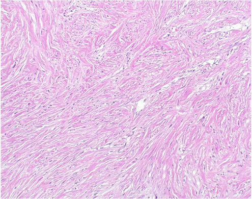
線維形成型中皮腫(desmoplastic mesothelioma)の病理像(HE染色)

膠原線維が束状配列や花むしろ様配列を呈して増生し、その中に紡錘形細胞をみる。細胞密度が低く、細胞異型も乏しいので、良性の線維性胸膜炎との鑑別に注意が必要である。
出典
img
1: 著者提供

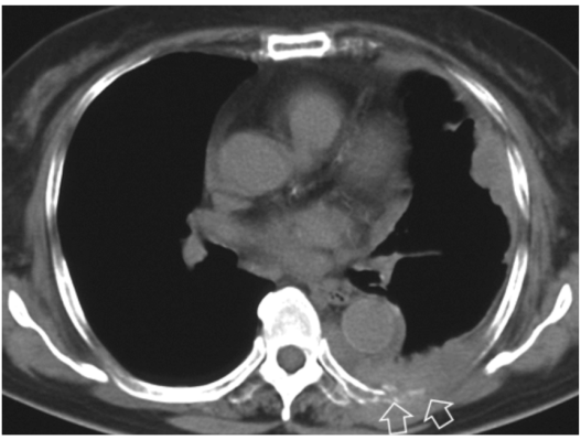
胸膜中皮腫(T4):切除不可能な胸壁浸潤

背部の胸膜腫瘍は、胸膜下脂肪織を超え、肋骨を浸潤し、胸壁に高度に浸潤している(矢印)。
出典
img
1: 著者提供

胸膜中皮腫の発育経過と臨床病期分類

胸膜中皮腫は壁側胸膜の顆粒状腫瘍として初発するが、極めて早期には胸腔鏡検査で腫瘍の存在が確認できない“mesothelioma in situ”の時期がある。Mesothelioma in situでは胸水貯留がみられるが、貯留と消退を繰り返すこともある。臨床的に初めて腫瘍が確認されるのは壁側胸膜であり、早期には腫瘍は壁側胸膜に限局し、臓側胸膜に腫瘍はみられない(IMIG分類T1a)。胸水貯留は発症初期から認められるが、無症候性である。胸水は大量に貯留することもあるがTNM分類に胸水の規定はない。次に、腫瘍は臓側胸膜面に播種される(IMIG分類T1b)。この時点では壁側および臓側胸膜に腫瘍結節を認めるが、正常胸膜面も存在している。やがて葉間胸膜を含むすべての胸膜を腫瘍が埋め尽くすようになる(T2)。また腫瘍は、横隔膜を浸潤し、やがて腹腔に達する(T4)。なお、IASLCの第8版 TNM分類では、T1aとT1bの区分をなくして、両者を合わせてT1とし、第9版では胸膜肥厚のCT計測となった。
出典
img
1: 著者提供

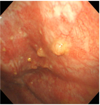
T1a期(IMIG分類)の胸膜中皮腫の胸腔鏡所見

壁側胸膜に顆粒状の腫瘍を認める。
出典
img
1: 著者提供

胸膜中皮腫(IMIG分類T1b)の胸腔鏡所見

壁側胸膜の腫瘍が臓側胸膜面に播種巣を形成している。IMIG分類のT1bである。
出典
img
1: 著者提供

T2期の胸膜中皮腫の胸腔鏡所見

胸膜全体が腫瘍で満たされている。
出典
img
1: 著者提供

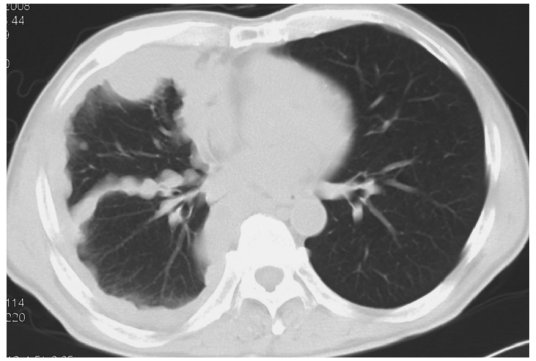
胸膜中皮腫の典型的なCT画像(T2)

葉間胸膜を含め、すべての胸膜が全周性に肥厚している。T2期胸膜中皮腫の典型像である。
出典
img
1: 著者提供

胸膜中皮腫のT2期の特徴的な画像

a:肺を取り囲むような全周性の胸膜肥厚が認められる。
b:FDG-PETでは肥厚した胸膜に陽性所見がみられる。
出典
img
1: 著者提供

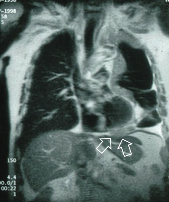
胸膜中皮腫(T4):横隔膜下浸潤

MRI像では腫瘍が横隔膜下に達していることが確認できる(T4)。
出典
img
1: 著者提供

胸膜中皮腫の腹腔進展経路

①隔膜を直接浸潤し、腹腔に達する経路
②下行大動脈壁に沿って進展し大動脈裂孔を経て腹腔に達する経路
③横隔膜弓状靱帯より大腰筋、腰方形筋に沿って進展する経路
出典
img
1: 著者提供

石灰化胸膜プラークの典型画像

横隔胸膜に石灰化胸膜プラークを認め(矢印)、右中野には“柊の葉の石灰化”と称される胸膜プラークを認める。肋骨横隔膜角は正常で鈍化はない。
出典
img
1: 著者提供

胸膜プラークの好発部位

胸膜プラークは、肋骨胸膜、横隔胸膜に好発するが、肺尖部および肋骨横隔膜角には発生がみられない。臓側胸膜の肥厚である“びまん性胸膜肥厚”は下方(足方)ほど肥厚の程度が強く、肋骨横隔膜角に鈍化がみられる。
出典
img
1: 著者提供

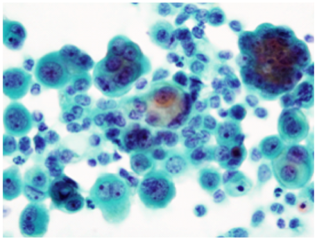
中皮腫の胸水細胞診

まりも状の大型細胞集塊と比較的多くの二核細胞が認められる。
出典
img
1: 著者提供

上皮型中皮腫と腺癌との鑑別に有用な中皮腫陽性マーカーと陰性マーカー

中皮腫陽性マーカーとは、上皮型中皮腫は染色されるが、癌種(腺癌)は染色されないものであり、中皮腫陰性マーカーとは、逆に上皮型中皮腫は染色されずに腺癌が染色されるものである。中皮腫の病理診断は、HE所見に加えて、これらの免疫染色性をもとに診断を行う。
 
参考文献:
Husain AN, Colby T, Ordonez N, et al. Guidelines for pathologic diagnosis of malignant mesothelioma: 2012 update of the consensus statement from the International Mesothelioma Interest Group. Arch Pathol Lab Med. 2013; 137(5): 647-67. PMID: 22929121
出典
img
1: 著者提供

IASLC*/IMIG**による胸膜中皮腫に対する術式名称と内容

※ IASLC:International Association for the Study of Lung Cancer
※※ IMIG:International Mesothelioma Interest Group
出典
imgimg
1: Recommendations for uniform definitions of surgical techniques for malignant pleural mesothelioma: a consensus report of the international association for the study of lung cancer international staging committee and the international mesothelioma interest group.
著者: Rice D, Rusch V, Pass H, Asamura H, Nakano T, Edwards J, Giroux DJ, Hasegawa S, Kernstine KH, Waller D, Rami-Porta R; International Association for the Study of Lung Cancer International Staging Committee and the International Mesothelioma Interest Group.
雑誌名: J Thorac Oncol. 2011 Aug;6(8):1304-12. doi: 10.1097/JTO.0b013e3182208e3f.
Abstract/Text: INTRODUCTION: Extrapleural pneumonectomy has been well defined; however, surgeons vary regarding the surgical extent and goals of "pleurectomy/decortication" (P/D). We explored mesothelioma surgeons' concepts of P/D with the aim of unifying surgical nomenclature.
METHODS: A web-based survey was administered to surgeons who operated on malignant pleural mesothelioma (MPM) for diagnosis, staging, palliation, or cytoreduction. One hundred thirty surgeons from 59 medical centers were included. Surgeons who did not perform surgery for MPM within the last year were excluded.
RESULTS: There were 62 (48%) respondents from 39 medical centers in 14 countries. The mean number of patients with MPM seen annually at each medical center was 46, and the mean annual number of cytoreductive procedures performed per surgeon was 8. Most (88%) agreed that the goal of cytoreductive surgery should be macroscopic complete resection of tumor. P/D was defined as resection of parietal and visceral pleura with the aim of achieving macroscopic complete resection by 72% of respondents. If the diaphragm or pericardium required resection, 64% preferred the term "radical P/D," whereas "P/D" (40%) or "total pleurectomy" (39%) was preferred if these structures were not removed. Most surgeons believed that extrapleural pneumonectomy (90%) or "radical P/D" (68%) could provide adequate cytoreduction, whereas only 23% thought that P/D could.
CONCLUSIONS: There was significant variation regarding surgical nomenclature for procedures for MPM. The International Staging Committee of the International Association for the Study of Lung Cancer and the International Mesothelioma Interest Group recommend that P/D should aim to remove all macroscopic tumor involving the parietal and visceral pleura and should be termed "extended" P/D when the diaphragm or pericardium is resected.
J Thorac Oncol. 2011 Aug;6(8):1304-12. doi: 10.1097/JTO.0b013e3182208e...

反応性中皮細胞増生(反応性中皮過形成)と中皮腫細胞増殖の鑑別

アスベスト関連胸膜疾患の増加と胸腔鏡検査の普及に伴ってきわめて早期の悪性胸膜中皮腫(mesothelioma in-situ)と考えられる症例が増えているため、反応性中皮細胞増生と中皮腫細胞増殖の鑑別は臨床的に重要である。中皮細胞が反応性に増生すると、異型性を伴うようになり、atypical mesothelial hyperplasiaと表現される像を呈するようになる。原因は感染、膠原病、肺梗塞、薬剤、気胸、胸膜直下の肺癌などである。細胞密度は、胸腔側に高く、深部側の間質にはみられないのに対して、中皮腫では細胞密度が高く、間質で囲まれた細胞集簇があり、免疫染色ではp53(45%)、EMA(80%)、GUT-1(90%)に陽性所見を示す。一方、反応性中皮細胞増生では通常これらは陰性である。
 
参考文献:
Husain AN, Colby T, Ordonez N, et al. Guidelines for pathologic diagnosis of malignant mesothelioma: 2012 update of the consensus statement from the International Mesothelioma Interest Group. Arch Pathol Lab Med. 2013; 137(5): 647-67. PMID:22929121
出典
img
1: 著者提供

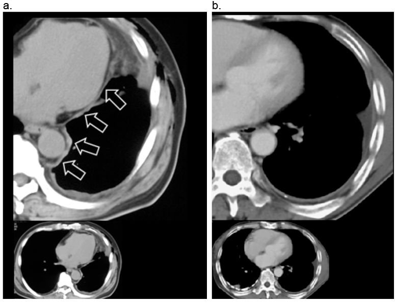
胸膜中皮腫のT2期CT画像(a)と良性胸膜疾患(良性石綿胸膜炎)のCT画像(b)

中皮腫では縦隔胸膜に肥厚がみられる(a)が、良性石綿胸膜炎では肥厚がみられない(b)。
出典
img
1: 著者提供

IMIG*分類(第7版 AJCC/UICC TNM分類) 第8版TNM分類(IASLC**)、第9版TNM分類(IASLC**)の対比

出典
img
1: 著者提供

日本肺癌学会『肺癌取扱い規約 第8版』の中皮腫各組織亜型の定義

参考文献:
日本肺癌学会編. 肺癌取扱い規約 第8版. p113-116, 金原出版, 2017.
出典
img
1: 著者提供

シスプラチン+ペメトレキセド併用療法

胸膜腫瘍の組織分類(WHO分類,2021)

出典:WHO Classification of Tumours Editorial Board. Thoracic Tumours:WHO Classification of Tumours, 5th ed., Vol. 5. International Agency for Research on Cancer, 2021. より作成
出典
img
1: 日本肺癌学会編:肺癌診療ガイドライン2024年版. 悪性胸膜中皮腫. 胸膜腫瘍の組織分類(WHO分類, 2021). p384. 金原出版. ※本著作物は日本肺癌学会が作成したものであり、本著作物の内容に関する質問、 問い合わせ等は日本肺癌学会にご連絡ください。エルゼビア・ジャパン株式会社は、日本肺癌学会及び発行元である金原出版から許諾を得て、本著作物を内容の改変を行うことなく複製し、使用しています。

胸膜中皮腫治療のアルゴリズム

出典
img
1: 著者提供