Now processing ... 
 Now searching ... 
 Now loading ... 

呼吸不全の分類

呼吸不全はI型(肺不全型)とII型(換気不全型)に分類される。
出典
img
1: 著者提供

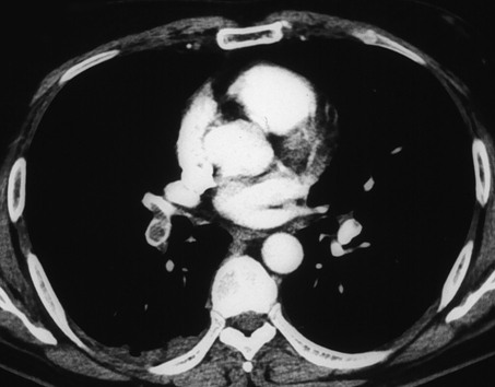
呼吸不全症例(急性肺塞栓症)の胸部造影CT画像

肺動脈に血栓塞栓を認めた。
出典
img
1: 著者提供

Nocturnal Oxygen Therapy Trial(NOTT)GroupおよびMedical Research Council(MRC)Working Partyにおける高度慢性呼吸不全(COPD)患者の生存率の比較

酸素吸入による予後の改善が認められる。また、夜間のみの酸素吸入よりも、24時間連続の酸素吸入のほうがより優れている。
 
参考文献:
1) Nocturnal Oxygen Therapy Trial Group : Continuous or nocturnal oxygen therapy in hypoxemic chronic obstructive lung disease. Ann Intern Med 83: 391-398, 1980. PMID: 6776858
2) Medical Research Council Working Party : Long term domiciliary oxygen therapy in chronic hypoxic cor pulmonale complicating chronic bronchitis and emphysema. Lancet I : 681-685, 1981. PMID: 6110912
出典
img
1: 著者提供

LOTT Research Groupによる労作時低酸素血症を呈する慢性呼吸不全(COPD)患者のHOT有無による入院(a)および生存率(b)の比較

出典
imgimg
1: A Randomized Trial of Long-Term Oxygen for COPD with Moderate Desaturation.
著者: Long-Term Oxygen Treatment Trial Research Group; Albert RK, Au DH, Blackford AL, Casaburi R, Cooper JA Jr, Criner GJ, Diaz P, Fuhlbrigge AL, Gay SE, Kanner RE, MacIntyre N, Martinez FJ, Panos RJ, Piantadosi S, Sciurba F, Shade D, Stibolt T, Stoller JK, Wise R, Yusen RD, Tonascia J, Sternberg AL, Bailey W.
雑誌名: N Engl J Med. 2016 Oct 27;375(17):1617-1627. doi: 10.1056/NEJMoa1604344.
Abstract/Text: BACKGROUND: Long-term treatment with supplemental oxygen has unknown efficacy in patients with stable chronic obstructive pulmonary disease (COPD) and resting or exercise-induced moderate desaturation.
METHODS: We originally designed the trial to test whether long-term treatment with supplemental oxygen would result in a longer time to death than no use of supplemental oxygen among patients who had stable COPD with moderate resting desaturation (oxyhemoglobin saturation as measured by pulse oximetry [Spo2], 89 to 93%). After 7 months and the randomization of 34 patients, the trial was redesigned to also include patients who had stable COPD with moderate exercise-induced desaturation (during the 6-minute walk test, Spo2 ≥80% for ≥5 minutes and <90% for ≥10 seconds) and to incorporate the time to the first hospitalization for any cause into the new composite primary outcome. Patients were randomly assigned, in a 1:1 ratio, to receive long-term supplemental oxygen (supplemental-oxygen group) or no long-term supplemental oxygen (no-supplemental-oxygen group). In the supplemental-oxygen group, patients with resting desaturation were prescribed 24-hour oxygen, and those with desaturation only during exercise were prescribed oxygen during exercise and sleep. The trial-group assignment was not masked.
RESULTS: A total of 738 patients at 42 centers were followed for 1 to 6 years. In a time-to-event analysis, we found no significant difference between the supplemental-oxygen group and the no-supplemental-oxygen group in the time to death or first hospitalization (hazard ratio, 0.94; 95% confidence interval [CI], 0.79 to 1.12; P=0.52), nor in the rates of all hospitalizations (rate ratio, 1.01; 95% CI, 0.91 to 1.13), COPD exacerbations (rate ratio, 1.08; 95% CI, 0.98 to 1.19), and COPD-related hospitalizations (rate ratio, 0.99; 95% CI, 0.83 to 1.17). We found no consistent between-group differences in measures of quality of life, lung function, and the distance walked in 6 minutes.
CONCLUSIONS: In patients with stable COPD and resting or exercise-induced moderate desaturation, the prescription of long-term supplemental oxygen did not result in a longer time to death or first hospitalization than no long-term supplemental oxygen, nor did it provide sustained benefit with regard to any of the other measured outcomes. (Funded by the National Heart, Lung, and Blood Institute and the Centers for Medicare and Medicaid Services; LOTT ClinicalTrials.gov number, NCT00692198 .).
N Engl J Med. 2016 Oct 27;375(17):1617-1627. doi: 10.1056/NEJMoa160434...

肺高血圧症における心拍出量の違いによる組織低酸素(混合静脈血酸素分圧)の違い

肺動脈性肺高血圧症の自然経過として肺血管病変の進行は非可逆的Irreversibleである。肺抵抗血管の狭窄(肺血管抵抗PVRの増加)を治療介入により改善することは2020年の段階では認められていない。右室の代償機能が十分であれば、平均肺動脈圧(mPAP)はPVRの増加と並行する。しかし右心機能の低下に伴い心拍出量が低下するとmPAPも低下する。心臓から全身への酸素供給指標が混合静脈血酸素分圧(PvO2)である。PvO2は心拍出量が保たれているとき(心係数cardiac index ≧ 2.5 L/分/m2)には保たれているが、右室不全すなわち心係数低下時にはPvO2は低下する。組織低酸素を回避するためにはPaO2を高い値で維持する必要がある。千葉大学呼吸器内科での肺動脈性肺高血圧症を含むすべての右心カテーテル施行症例1,571例(1983~2017年)を須田理香らが解析し、心拍出量の差異による組織低酸素の差異を示した。
出典
imgimg
1: Pulmonary hypertension with a low cardiac index requires a higher PaO2 level to avoid tissue hypoxia.
著者: Suda R, Tanabe N, Terada J, Naito A, Kasai H, Nishimura R, Sanada TJ, Sugiura T, Sakao S, Tatsumi K.
雑誌名: Respirology. 2020 Jan;25(1):97-103. doi: 10.1111/resp.13574. Epub 2019 May 16.
Abstract/Text: BACKGROUND AND OBJECTIVE: The optimal oxygen supplementation needed to avoid tissue hypoxia in patients with pulmonary hypertension (PH) remains unclear. This study aimed to identify the arterial oxygen tension (PaO2 ) level needed to avoid tissue hypoxia which results in a poor prognosis in patients with PH.
METHODS: We retrospectively analysed the data for 1571 right heart catheterizations in patients suspected of having PH between 1983 and 2017 at our institution. Examinations were classified according to mean pulmonary arterial pressure (mPAP), cardiac index (CI) and the presence of lung disease, pulmonary arterial hypertension (PAH) or chronic thromboembolic PH (CTEPH). The PaO2 levels needed to avoid tissue hypoxia were compared in each subgroup.
RESULTS: The estimated PaO2 equivalent to a mixed venous oxygen tension (PvO2 ) of 35 mm Hg (tissue hypoxia) was 63.2 mm Hg in all patients, 77.0 mm Hg in those with decreased CI (<2.5 L/min/m2 ) and 57.0 mm Hg in those with preserved CI. Multivariate regression analysis identified mPAP, CI and PaO2 to be independent predictors of extremely low PvO2 . Similar results were observed regardless of the severity of PH or the presence of lung disease, PAH or CTEPH. The PaO2 level needed to avoid tissue hypoxia was higher in patients with mild PH and decreased CI than in those with severe PH and preserved CI (70.2 vs 61.5 mm Hg).
CONCLUSION: These findings indicate that a decreased CI rather than increased mPAP induces tissue hypoxia in PH. Patients with PH and decreased CI may need adjustment of oxygen therapy at higher PaO2 levels compared with patients with preserved CI.

© 2019 Asian Pacific Society of Respirology.
Respirology. 2020 Jan;25(1):97-103. doi: 10.1111/resp.13574. Epub 2019...

閉塞性換気障害 vs 酸素分圧の低下

出典
img
1: 著者提供

慢性閉塞性肺疾患(COPD)

出典
img
1: 著者提供

PO2低下は頸動脈体を刺激

出典
img
1: 著者提供

低酸素による換気刺激は双曲線――何を意味しているのか?
 

出典
img
1: 著者提供

COPDを考えるとき、なぜ肺循環も考える必要があるのか?

出典
img
1: 著者提供

「動脈血酸素分圧 PaO2」と「酸素飽和度 SaO2」の関係(S状曲線)

PaO2 60 Torr以下になると心臓の虚血性変化、心拍出量の低下を招くため、呼吸不全に対する酸素投与は PaO2 60 Torr以上を目指す。
PaO2 40 Torr以下になると、組織の細胞障害が生じる。
PaO2 30 Torr以下になると中枢神経系の機能異常である意識障害が生じる。
出典
img
1: 著者提供

「急性呼吸不全」と「慢性呼吸不全」の病態

出典
img
1: 著者提供

呼吸困難を来たす病態と機序

出典
img
1: 著者提供

「呼吸不全」診断の想起

出典
img
1: 著者提供

「呼吸不全」と「呼吸困難」の関係

出典
img
1: 著者提供

出典
img
1: 著者提供

呼吸不全の治療アルゴリズム

呼吸不全は急性と慢性で病態が異なり、低酸素血症と高二酸化炭素血症でも病態が異なるため、病態を把握して治療方針を考慮する。慢性呼吸不全の急性増悪の存在にも注意が必要である。
出典
img
1: 著者提供