Now processing ... 
 Now searching ... 
 Now loading ... 

ハンセン病で肥厚を来しやすい末梢神経

体表から神経肥厚を視診・触診できる部位(参考文献:第34回ハンセン病夏期大学講座教本 p20. 第34回ハンセン病医学夏期大学講座実行委員会,2012.)
出典
img
1: エルゼビア・ジャパン作成

肥厚した大耳介神経

肥厚した末梢神経
出典
img
1: Tropical Infectious Diseases: Principles, Pathogens and Practice Third Edition. Saunders, p256 Fig 37.6

少菌型(TT型)型患者の⽪疹

下腿の環状紅斑
出典
img
1: Dermatology Secrets Plus, 5th Edition. Mosby, p260 Fig 29-9-B

少菌型(BT型)患者の⽪疹

肘の環状紅斑
出典
img
1: 著者提供

多菌型(BL型)患者の⽪疹

環状紅斑が多発している
出典
img
1: 大平葵:西日本皮膚科, 77巻5号、p497-502.

多菌型(LL型)患者の⽪疹

全身に多発する結節
出典
img
1: 仲村郁心:西日本皮膚科, 75巻4号, p326-330.

多菌型(LL型)患者の⽪疹

左耳介の結節病変
出典
img
1: Jeremy Farrar, Peter J. Hotez, Thomas Junghanss, Gagandeep Kang, David Lalloo, and Nicholas J. White:Manson's Tropical Diseases, Twenty-Second Edition.41, 506-518.e1,p510 Figure 41.8,Saunders, 2008

らい性結節性紅斑

らい性結節性紅斑
出典
img
1: Jonathan Cohen, Steven M. Opal, and William G. Powderly : Chapter 103 Leprosy . Infectious Diseases , Third Editionp, Elsevier, 2010, p1103, Fig. 103. 8, ISBN:978-0-323-04579-7

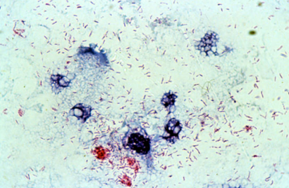
らい菌 皮膚スメア検査(1000倍、油浸)

皮膚スメア検査(1000倍、油浸)
出典
img
1: [http://www.nih.go.jp/niid/ja/leprosy-m/1841-lrc/1707-expert.html 国立感染症研究所HP] 2017現在

2018年の新規患者数が1,000人以上の15カ国(WHO)

新規患者発生の多い国一覧
出典
img
1: [https://www.niid.go.jp/niid/ja/leprosy-m/1841-lrc/1707-expert.html 国⽴感染症研究所HP]より 2021現在

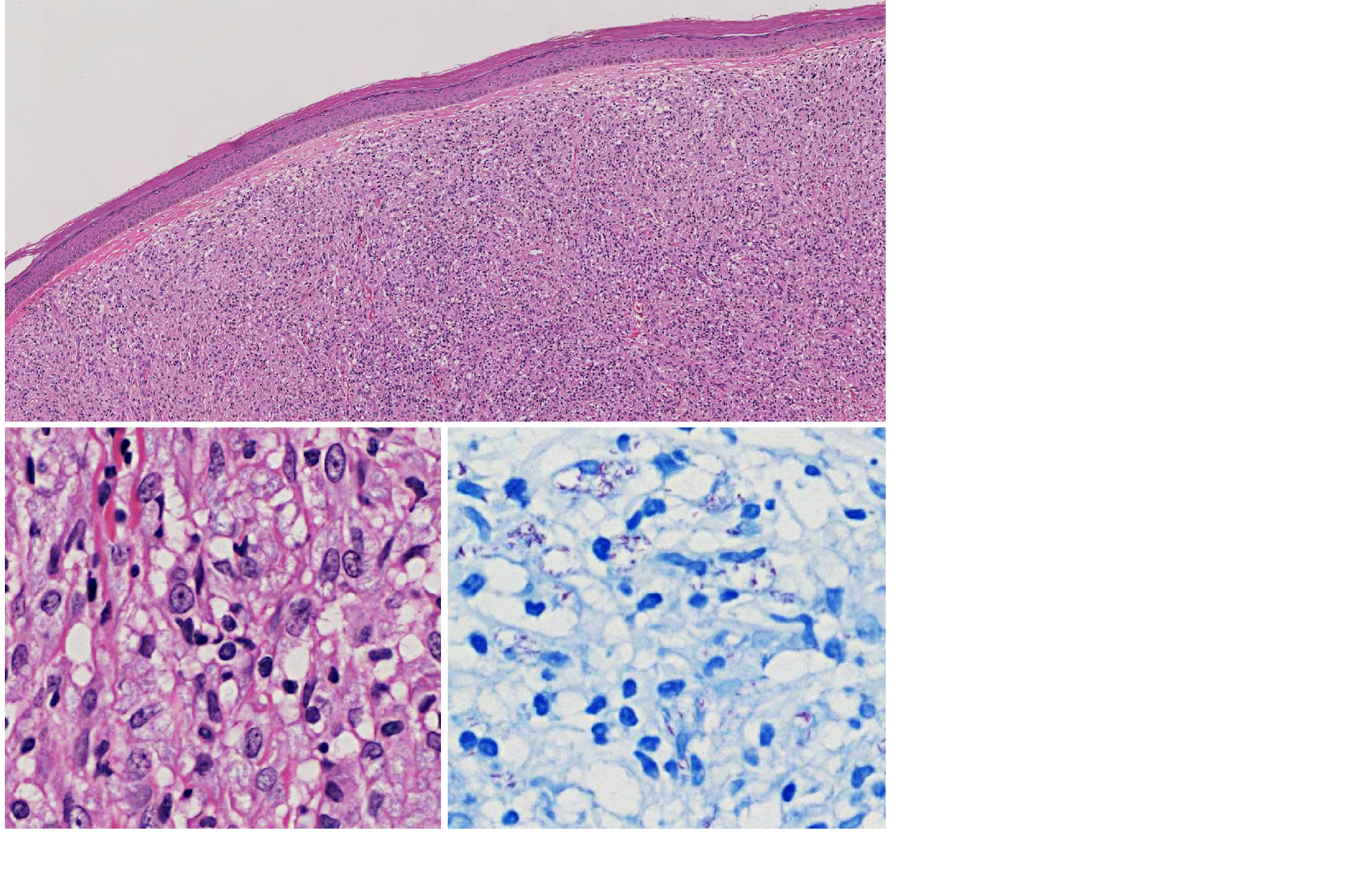
病理組織像:多菌型(LL型)

真皮全層に肉芽腫を形成している(画像上)、肉芽腫は泡沫細胞(画像下左)、泡沫細胞内に多数の赤染したらい菌がみられる(画像下右、Fite法)
出典
img
1: 著者提供

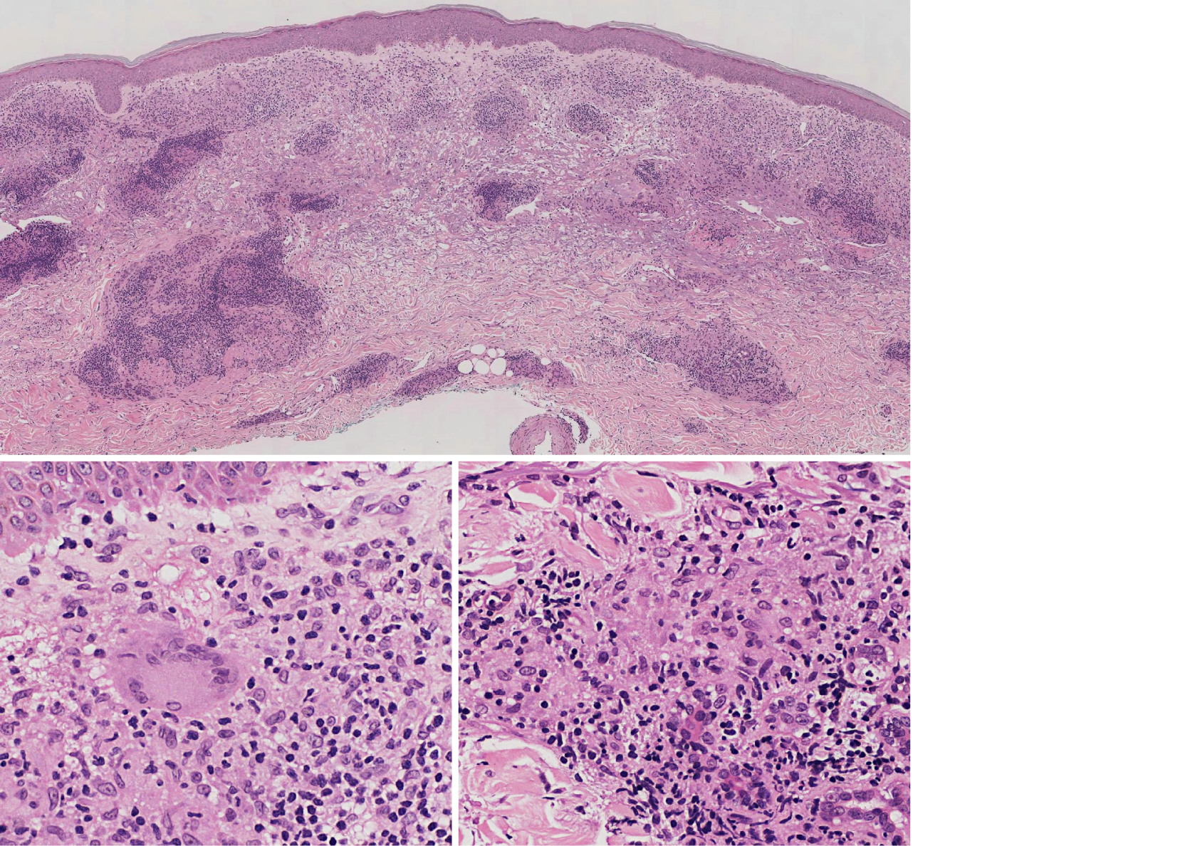
病理組織像:少菌型(BT型)ハンセン病

真皮上層では帯状に、真皮中層から下層にかけて島状の細胞浸潤がある(画像上)。ラングハンス巨細胞が散見され(画像下左)、類上皮細胞性肉芽腫とリンパ球浸潤(画像下右)があり、神経束は確認できず消失している。
出典
img
1: 著者提供

Ridley-Jopling分類と宿主免疫との関係

TT=tuberculoid型
BT=borderline tuberculoid型
BB=mid-borderline型
BL=borderline lepromatous型
LL=lepromatous型
出典
img
1: 著者提供

わが国におけるハンセン病化学療法の標準的方法

日本ハンセン病学会が推奨する化学療法のレジュメ。病変数および菌指数(Bacterial Index、BI)に基づき化学療法のレジュメおよび治療期間の方針を決定し、標準投与終了後の状態に基づき維持療法を検討する。
出典
img
1: 後藤正道ほか:ハンセン病治療指針(第3版). 日本ハンセン病学会雑誌 2013; 82: 141-182, p151.

ハンセン病診断の手順

①治りにくい皮疹
②ステロイドに反応しにくい皮疹
③環状の紅斑
④知覚のない皮疹
⑤繰り返す火傷や外傷
⑥神経肥厚
 
上記キーワードに出会ったらハンセン病を想起し、病歴(感染源になりそうな患者との接触歴や過去のハンセン病の罹患歴、ハンセン病多発国への渡航歴や出生歴、家族歴の聴取など)よりハンセン病が鑑別に上がれば、皮疹、神経(神経肥厚、知覚・運動障害)、らい菌、病理組織の4項目を中心に総合的に評価をすすめ診断する。
出典
img
1: 後藤正道ほか:ハンセン病治療指針(第3版). 日本ハンセン病学会雑誌 2013; 82: 141-182, p169.

日本におけるハンセン病の標準的化学療法 (2013)

日本ハンセン病学会が推奨する化学療法決定のチャート。病変数および菌指数(Bacterial Index、BI)に基づき化学療法のレジュメおよび治療期間の方針を決定する。
出典
img
1: 後藤正道ほか:ハンセン病治療指針(第3版). 日本ハンセン病学会雑誌 2013; 82: 141-182, p168.