Now processing ... 
 Now searching ... 
 Now loading ... 

鼻内所見(鼻腔ファイバー)

中鼻道より膿性鼻汁の漏出と後鼻漏を認め咳嗽の原因となる。
出典
img
1: 著者提供

X線写真:Waters法(後頭おとがい法)

右上顎洞は正常、左上顎洞は軽度の粘膜肥厚を認め、含気もあり、軽症の上顎洞炎と診断される。
出典
img
1: 著者提供

右上顎洞癌(副鼻腔造影Axial CT)

造影Axial CTにて右上顎洞は、腫瘍にて充満し、上顎洞内側壁の破壊あり。
出典
img
1: 著者提供

左副鼻腔真菌症(Coronal CT)

左篩骨洞に不均一な陰影が存在、石灰化も認める。患側の骨肥厚を認めるが、骨破壊はない。
出典
img
1: 著者提供

肺炎球菌の薬剤感受性

第6回サーベイランスよりの検出株88株におけるMIC50とMIC90の比較
出典
img
1: 鈴木賢二, 黒野祐一, 池田勝久ほか. 第6回耳鼻咽喉科領域感染症臨床分離菌全国サーベイランス結果報告. 日耳鼻感染症エアロゾル会誌, 2020; 8(3): 193-211.(改編あり)

インフルエンザ菌の薬剤感受性

第6回サーベイランスよりの検出株147株におけるMIC50とMIC90の比較
出典
img
1: 鈴木賢二, 黒野祐一, 池田勝久ほか. 第6回耳鼻咽喉科領域感染症臨床分離菌全国サーベイランス結果報告. 日耳鼻感染症エアロゾル会誌, 2020; 8(3): 193-211.(改編あり)

モラクセラカタラーリス菌の薬剤感受性

第6回サーベイランスよりの検出株61株におけるMIC50とMIC90の比較
出典
img
1: 鈴木賢二, 黒野祐一, 池田勝久ほか. 第6回耳鼻咽喉科領域感染症臨床分離菌全国サーベイランス結果報告. 日耳鼻感染症エアロゾル会誌, 2020; 8(3): 193-211.(改編あり)

症例:ウイルス感染が原因と考えられる軽症の急性鼻副鼻腔炎

右上顎洞軽症例。右上顎洞に少し陰影あり、周囲骨壁は比較的境界明瞭であるが、洞内に多少びまん性のごく軽い陰影を認める。
出典
img
1: 著者提供

症例:重症の急性鼻副鼻腔炎

Waters法によるX線写真。
右上顎洞重症例。右上顎洞に高度の陰影あり、周囲骨壁との境界が明瞭でなく、洞内陰影も相当著明である。
出典
img
1: 著者提供

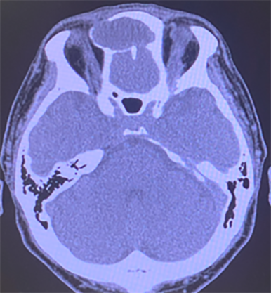
眼窩内合併症(CT)

CTにて眼窩内合併症が疑われる。
出典
img
1: 著者提供

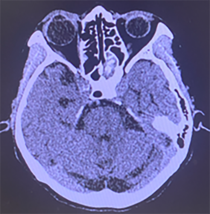
頭蓋内合併症(CT)

CTにて頭蓋内合併症が疑われる。
出典
img
1: 著者提供

蝶形骨洞に陰影と骨欠損を伴う病変あり。
出典
img
1: 著者提供

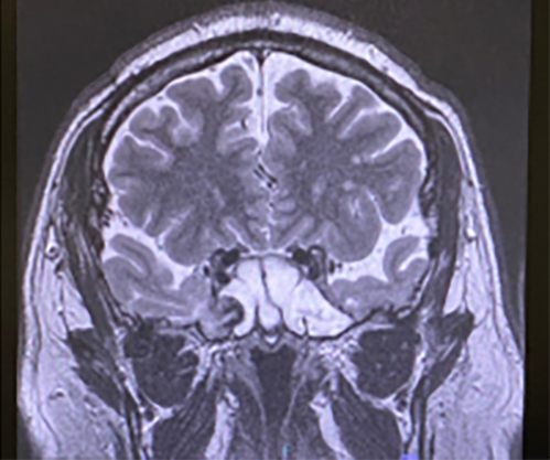
蝶形骨洞内に副鼻腔炎と脳瘤が存在。
出典
img
1: 著者提供

X線Waters法にて左上顎洞に強い陰影を認めた。
出典
img
1: 著者提供

重症度スコア判定:点数表

出典
img
1: 日本鼻科学会編. 急性鼻副鼻腔炎診療ガイドライン2010年版(追補版). 日鼻科会誌, 2014; 53(2): 79-80.(改編あり)

急性鼻副鼻腔炎治療アルゴリズム(小児・軽症)

・発熱(38.5°C以上):アセトアミノフェン 10 mg/kg(頓用)
・鼻汁細菌検査(必要に応じて)
・内服薬投与時には酪酸菌製剤、耐性乳酸菌製剤を加える。
・成人の常用量は超えない。
・ABPC、AMPCの場合には 1,500 mg を超えない。
・経過観察期間は初診時より3週までとする。
・抗菌薬投与時の下痢に対しては、耐性乳酸菌製剤や酪酸菌製剤が有効な場合がある。
・※で経過が思わしくない場合には肺炎球菌迅速診断なども参考のうえ、抗菌薬の変更を考慮する。
・小児に対する抗菌薬投与量は下記の用量を超えない。
  1. MPC:1回 500 mg、1日3回 1,500 mg
  1. CDTR-PI:1回 200 mg、1日3回 600 mg
  1. CFPN-PI:1回150 mg、1日3回 450 mg
  1. CFTM-PI:1回200 mg、1日3回 600 mg
  1. TBPM-PI:1回300 mg、1日2回 600 mg
出典
img
1: 日本鼻科学会編. 急性鼻副鼻腔炎診療ガイドライン2010年版(追補版). 日鼻科会誌, 2014; 53(2): 82.(改編あり)

急性鼻副鼻腔炎治療アルゴリズム(小児・中等症)

・発熱(38.5℃以上):アセトアミノフェン 10 mg/kg(頓用)
・鼻汁細菌検査(可能であれば中鼻道から採取する)
・内服薬投与時には酪酸菌製剤、耐性乳酸菌製剤を加える。
・成人の常用量は超えない。
・ABPC、AMPC の場合には 1,500 mg を超えない。
・経過観察期間は初診時より3週までとする。
・抗菌薬投与時の下痢に対しては、耐性乳酸菌製剤や酪酸菌製剤が有効な場合がある。
・※で経過が思わしくない場合には肺炎球菌迅速診断なども参考のうえ、抗菌薬の変更を考慮する。
・小児に対する抗菌薬投与量は下記の用量を超えない。
  1. MPC:1回 500 mg、1日3回 1,500 mg
  1. CDTR-PI:1回 200 mg、1日3回 600 mg
  1. CFPN-PI:1回150 mg、1日3回 450 mg
  1. CFTM-PI:1回200 mg、1日3回 600 mg
  1. TBPM-PI:1回300 mg、1日2回 600 mg
出典
img
1: 日本鼻科学会編. 急性鼻副鼻腔炎診療ガイドライン2010年版(追補版). 日鼻科会誌, 2014; 53(2): 82.(改編あり)

急性鼻副鼻腔炎治療アルゴリズム(小児・重症)

・発熱(38.5°C以上):アセトアミノフェン 10mg/kg(頓用)
・鼻汁細菌検査(可能であれば中鼻道から採取する)
・内服薬投与時には酪酸菌製剤、耐性乳酸菌製剤を加える。
・成人の常用量は超えない。
・ABPC、AMPC の場合には 1,500 mg を超えない。
・経過観察期間は初診時より3週までとする。
・合併症が生じた場合には入院治療を行う。
・抗菌薬投与時の下痢に対しては、耐性乳酸菌製剤や酪酸菌製剤が有効な場合がある。
・※で経過が思わしくない場合には肺炎球菌迅速診断なども参考のうえ、抗菌薬の変更を考慮する。
・小児に対する抗菌薬投与量は下記の用量を超えない。
  1. MPC:1回 500 mg、1日3回 1,500 mg
  1. CDTR-PI:1回 200 mg、1日3回 600 mg
  1. CFPN-PI:1回150 mg、1日3回 450 mg
  1. CFTM-PI:1回200 mg、1日3回 600 mg
  1. TBPM-PI:1回300 mg、1日2回 600 mg
出典
img
1: 日本鼻科学会編. 急性鼻副鼻腔炎診療ガイドライン2010年版(追補版). 日鼻科会誌, 2014; 53(2): 83.(改編あり)

急性鼻副鼻腔炎治療アルゴリズム(成人・軽症)

・抗菌薬投与時の下痢に対しては、耐性乳酸菌製剤や酪酸菌製剤が有効な場合がある。
・※で経過が思わしくない場合には肺炎球菌迅速診断なども参考のうえ、抗菌薬の変更を考慮する。
出典
img
1: 日本鼻科学会編. 急性鼻副鼻腔炎診療ガイドライン2010年版(追補版). 日鼻科会誌, 2014; 53(2): 83.(改編あり)

急性鼻副鼻腔炎治療アルゴリズム(成人・中等症)

・抗菌薬投与時の下痢に対しては、耐性乳酸菌製剤や酪酸菌製剤が有効な場合がある。
・※で経過が思わしくない場合には肺炎球菌迅速診断なども参考のうえ、抗菌薬の変更を考慮する。
出典
img
1: 日本鼻科学会編. 急性鼻副鼻腔炎診療ガイドライン2010年版(追補版). 日鼻科会誌, 2014; 53(2): 84.(改編あり)

急性鼻副鼻腔炎治療アルゴリズム(成人・重症)

・抗菌薬投与時の下痢に対しては、耐性乳酸菌製剤や酪酸菌製剤が有効な場合がある。
・※で経過が思わしくない場合には肺炎球菌迅速診断なども参考のうえ、抗菌薬の変更を考慮する。
出典
img
1: 日本鼻科学会編. 急性鼻副鼻腔炎診療ガイドライン2010年版(追補版). 日鼻科会誌, 2014; 53(2): 84.(改編あり)