Now processing ... 
 Now searching ... 
 Now loading ... 

症例1:正中頸嚢胞

a:初診時 身体所見、b:術前CT軸位断(舌骨レベル)c:CT軸位断(甲状軟骨レベル)舌骨に近接する嚢胞(矢頭)を認める。
d:術中頸部所見、e:術後頸部所見。
出典
img
1: 著者提供

症例2:側頸嚢胞

a:術前頸部所見、b:術中模式図、c:病理所見 嚢胞壁にリンパ濾胞を認める。
出典
img
1: 峯田周幸先生ご提供

頸部嚢胞性疾患の鑑別診断

参考文献:
尾尻博也. 頭頸部の臨床画像診断学 改訂第4版. 南江堂, 2021; p727, 表1.
出典
img
1: 参考文献を基に著者作成

鰓弓の発生経過

第2鰓弓(II)が下降し、その内側に頸洞を生じるが、閉鎖しないと外頸瘻や側頸嚢胞が生じる。
 
※参考文献と出典を基に著者作成
参考文献:
尾尻博也. 頭頸部の臨床画像診断学 改訂第4版. 南江堂, 2021; p735, 図15.
出典
img
1: 切替一郎. 新耳鼻咽喉科学 改訂12版. 南山堂, 2022; p706, 図VII-15.

症例2:側頸嚢胞

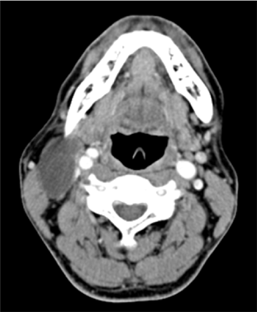
a:術前造影CT画像軸位断、b:術前US画像 境界明瞭な単房性嚢胞を認める。
出典
img
1: 著者提供

症例3:皮様嚢腫

a:術前CT画像 軸位断、b:術前CT画像 冠状断、c:術前口腔底所見、d:摘出途中の画像、
e:摘出標本、f:病理検体断面像、g:HE染色
出典
img
1: 著者提供

症例4:嚢胞性リンパ管腫

a:術前MRI T2強調像、b:術前MRI T1強調像、c:皮膚切開線、
d:摘出途中の画像、e:摘出標本
出典
img
1: 著者提供

症例5:単純性ガマ腫

a:術前口腔底所見、b:開窓術施行後
※ただし、開窓術後は合計3度再燃し、4回目で問題なく半年後の経過で終診となった。
出典
img
1: 著者提供

症例6:潜入性ガマ腫

a:術前MRI T2強調像、b:術前MRI冠状断 T2 STIR像
c:術中所見 ワルトン管および舌神経を同定して損傷しないように保存し、舌下腺を摘出した。また、口腔より頸部へ連続する偽嚢胞を開放した。
出典
img
1: 著者提供

症例7:HPV陽性中咽頭癌、頸部リンパ節転移

頸部造影CT
出典
img
1: 著者提供

診断フローチャート

参考文献:
Mouawad F, Rysman B, Russ G, et al. Cystic form of cervical lymphadenopathy. Guidelines of the French Society of Otorhinolaryngology - Head and Neck Surgery (SFORL). Part 1: Diagnostic procedures for lymphadenopathy in case of cervical mass with cystic aspect. Eur Ann Otorhinolaryngol Head Neck Dis, 2019; 136(6): 493, Fig 3,4.
出典
img
1: 参考文献を基に著者作成