Now processing ... 
 Now searching ... 
 Now loading ... 

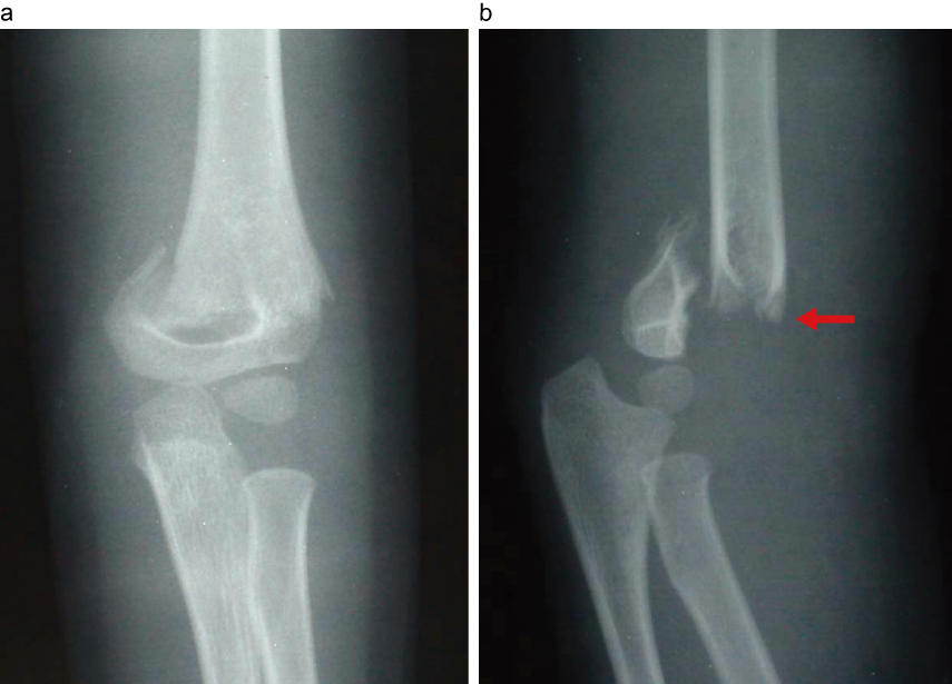
7歳男児、右上腕骨外側顆骨折

a:右上腕骨外側顆骨折。(→)上腕骨外側顆骨片が外側に90°回転している。 
b:左。反対側と比較すると転位が明らか。
雲梯から転落受傷、小児は骨端核があるため骨折の診断が難しい。必ず対側のX線写真と比較する。
出典
img
1: 著者提供

4歳男児 左上腕骨顆上骨折 机から転落して受傷

左上腕骨顆上骨折
a:正面像。遠位骨片は尺側に転位。
b:側面像。遠位骨片が背側に転位(伸展型)。
4歳男児 小児の骨折は、正確なX線写真撮影が困難で見逃しやすい。必ず正側2方向撮影を行う。疼痛のため通常の側面撮影は困難なため側面撮影の際はカセッテを体幹に挟み撮影するとよい。
出典
img
1: 著者提供

Thomsen test(手関節抵抗伸展テスト、上腕骨外側上顆炎)

前腕回内位、肘関節伸展位で手関節を背屈させ検者が手関節掌屈を強制すると、上腕骨外側上顆周辺に疼痛を生じる。なお第3中手骨(基部に短橈側手根伸筋が停止)を押し下げると第2中手骨(基部に長橈側手根伸筋が停止)を押し下げるより疼痛が強い。
出典
img
1: 著者提供

中指伸展テスト(上腕骨外側上顆炎)

前腕回内位、肘関節伸展位で中指を背屈させ検者が中指屈曲を強制すると上腕骨外側上顆周辺に疼痛を生じる。
出典
img
1: 著者提供

手関節抵抗屈曲テスト(手関節抵抗屈曲テスト、上腕骨内側上顆炎)

前腕回外位、肘関節伸展位で手関節を屈曲させ検者が手関節背屈を強制すると上腕骨内側上顆周辺に疼痛を生じる。
出典
img
1: 著者提供

Moving valgus stress test(肘関節内側側副靱帯損傷)

肩関節外転し外反ストレスを加えながら屈曲30〜120°の範囲で他動的に動かす。70~120°で疼痛を誘発すれば陽性。
 
参考文献:
O''Driscoll SW, Lawton RL, Smith AM. The "moving valgus stress test" for the medial collateral ligament tears of the elbow. Am J Sports Med. 2005 Feb;33(2):231-9. PubMed PMID: 15701609.
出典
img
1: 著者提供

肘関節痛アルゴリズム 幼児(6歳以下)

出典
img
1: 著者提供

肘関節痛アルゴリズム 小児(15歳以下) 

出典
img
1: 著者提供

肘関節痛アルゴリズム 青壮年(25歳以上)

出典
img
1: 著者提供