Now processing ... 
 Now searching ... 
 Now loading ... 

他の損傷との鑑別点

a.正常
b.上腕骨外側顆骨折(外側顆は外側に移動し、橈骨の長軸の延長
が外側顆の中心を通らない)
c.肘関節脱臼(外側顆の位置は骨幹端部に対して正常で、橈骨長軸
の延長が外側顆中心を通らない)
d.骨端離開
 
出典
img
1: 井上博:小児四肢骨折治療の実際 改訂第2版. 金原出版, 2001:87

関節軟骨sleeve骨折

X線では外側上顆の小さい骨片としてしか写らないが、実際の骨片は上腕骨小頭の関節軟骨の75%を含んでいる、とAginsらが報告している。観血的整復の絶対的適応である。(イラストは一部改変)
出典
img
1: 井上博:小児四肢骨折治療の実際 改定第2版. 金原出版, 2001:99

上腕骨外側顆骨折の模式図

出典
img
1: 高木岳彦,関敦仁,高山真一郎:上腕骨外側顆骨折. 整形・災害外科.金原出版,2012;55:539.

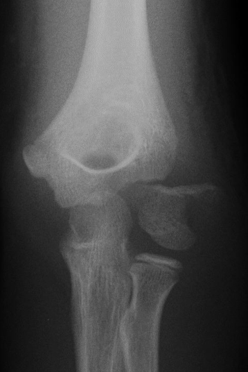
上腕骨外側顆骨折のX線像(典型例)

Jakob分類Ⅲ型
出典
img
1: 著者提供

上腕骨外側顆骨折のCT画像

遷延治癒例
出典
img
1: 著者提供

症例1. 単純X線撮影

a:受傷時
b:術直後
c:術後5週
d:術後3年
出典
img
1: 著者提供

症例2. 単純X線撮影

a:受傷時
b:術直後
c:術後3カ月
出典
img
1: 著者提供

病型分類

a:Milch分類
MilchⅠ型
MilchⅡ型
b:Wadsworth分類
Ⅰ型:転位はほとんどなし
Ⅱ型:側方転位を伴うもの
Ⅲ型:回転転位を伴うもの
Ⅳ型:繰り返しの外力により、骨端核の無腐性壊死を起こしたもの
c:Jakob分類
Ⅰ型:関節面には関節軟骨の一部が断裂せずに連続性が絶たれているもの(転位はほとんどなし)
Ⅱ型:側方転位を伴うもの
Ⅲ型:回転転位を伴うもの
出典
img
1: 薄井正道,石井清一:上腕骨外顆骨折. OS NOW No17,メディカルビュー社,1995;14-21.
img
2: 伊藤恵康:小児上腕骨外顆骨折.骨折・脱臼 改訂4版(富山恭輔ほか編),468,南山堂,2018

分類法

a:シェーマ
b:MRI T2強調画像
c:関節造影像
出典
img
1: 瀬戸洋一,柏木直也,鈴木茂夫ほか:小児上腕骨外顆骨折の治療方針. 別冊整形外科. 南江堂,2000;37:12.
img
2: 瀬戸洋一,柏木直也,鈴木茂夫ほか:小児上腕骨外顆骨折の治療方針. 別冊整形外科. 南江堂,2000;37:16.

単純X線撮影のピットフォールとコツ

a-1:特殊X線撮影法・フィルムに対して上腕を約20°挙上させることで骨折線にほぼ平行に撮影できる。
a-2:特殊X線撮影法・撮影の実際
b-1:fat pad sign 正常像(左:屈曲位、右:伸展位)
b-2:fat pad sign陽性
出典
img
1: 今田英明,田中隆治,高田剛志ほか:小児上腕骨外顆骨折の3次元的形態および上腕骨20°挙上位撮影法の有用性に関する検討. 骨折2010;l32:7. 
img
2: 平地一彦:c.上腕骨外顆骨折.カラーアトラス手・肘の外科. 三浪明男編. 中外医学社, 2007;32.

整復位保持のメカニズム

a:屈曲位
b:回内位
出典
img
1: 著者提供

手術侵入法

a-1:外側侵入法(皮切)
a-2:外側侵入法(展開)
b-1:後外側侵入法(皮切)
b-2:後外側侵入法(展開)
出典
img
1: 著者提供

症例3

a:受傷時X線
b:外観上、上肢(肘関節中心に)がやや軽度内反しているのがわかる。
c:手術時の皮切の部位。
d~h:手術中の写真撮影
出典
img
1: 著者提供

上腕骨外顆の栄養血管(外顆骨端核の栄養血管)

a:後面
b:外側面
出典
img
1: 著者提供

fishtail deformityの計測法

出典
img
1: 井上博:小児四肢骨折の治療の実際 改訂第2版. 金原出版, 2001.108

上腕骨外側顆骨折のアルゴリズム

小児上腕骨外顆骨折では、基本的には転位が2mm未満なら保存的、2mm以上になったら手術が必要となる。
出典
img
1: 川崎恵吉、久保和俊、稲垣克記ほか:小児上腕骨外顆骨折に対する手術成績の比較―Kirschner鋼線固定法とTension Band Wiring法―.日肘会誌 2013;20:163-166. (一部改変)

アルゴリズム

彼らはX線写真の転位の判定以外に、MRIで骨折線が関節面まで達しているかどうかで治療法を選択している。
出典
img
1: 瀬戸洋一,柏木直也,鈴木茂夫ほか:小児上腕骨外顆骨折の治療方針. 別冊整形外科 2000:37:11-17. (一部改変)