Now processing ... 
 Now searching ... 
 Now loading ... 

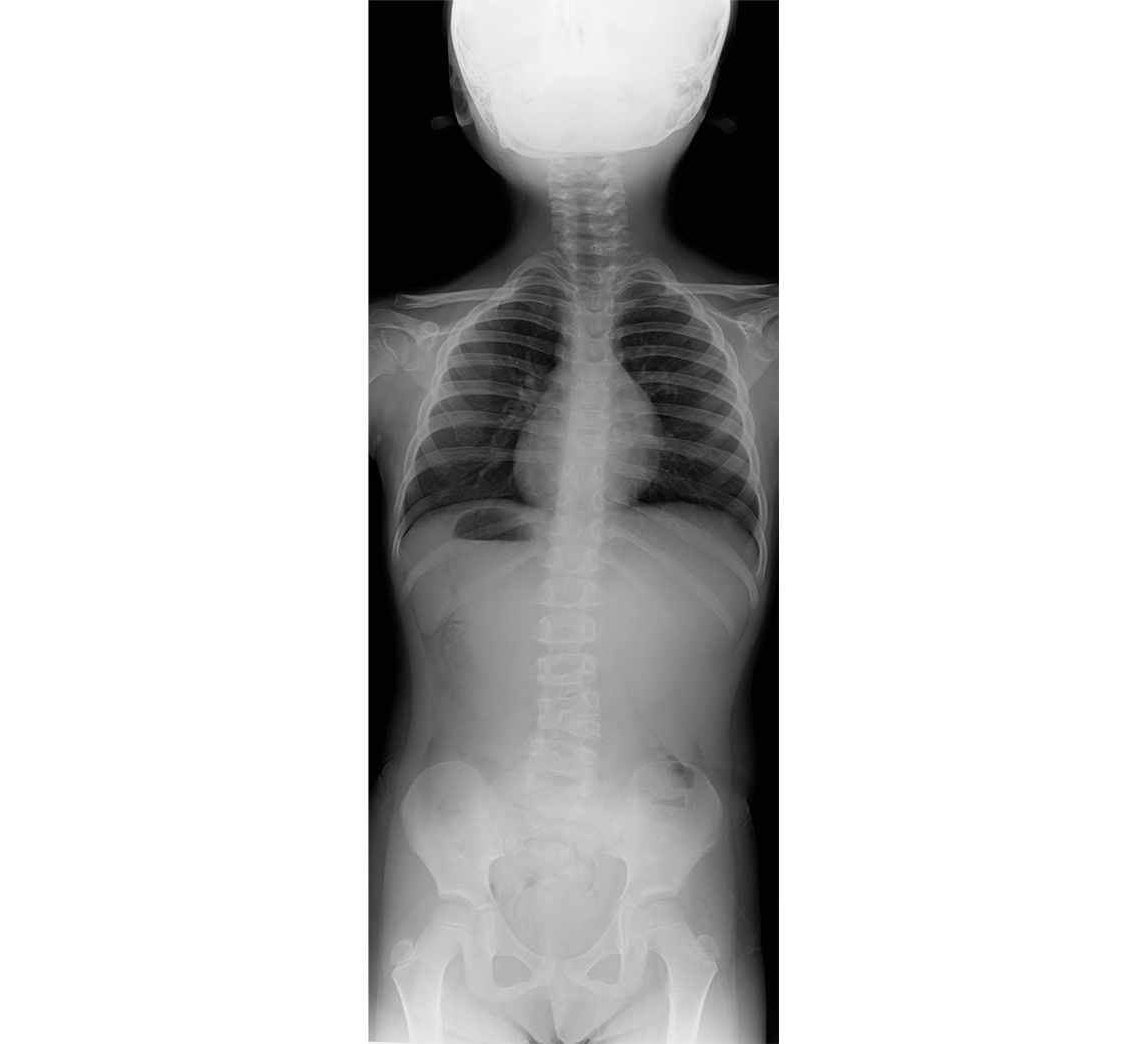
思春期特発性側弯症、立位全脊柱X線正面像

13歳女性、T6-L1でCobb角58°の側弯を認める。
出典
img
1: 稲見聡先生ご提供

先天性側弯症

4歳女児、腹部X線で腰椎の異常を発見され、紹介受診した。L4とL5の間に半椎を認める。受診時は体幹の変形はなく、画像上も脊柱のバランスは良いが、今後の成長に伴う変形の悪化に注意が必要である。
出典
img
1: 稲見聡先生ご提供

視診のチェックポイント

左右の肩の高さを比べる。ウエストラインが左右対称か確認する。
出典
img
1: Ferri’s Clinical Advisor 2013, 1st ed. Figure 1-413

肋骨隆起の観察

胸椎にカーブがある場合には、カーブの凸側に肋骨隆起が生じる。両手を合わせた状態で、体幹を前屈させて観察する。
出典
img
1: Ferri’s Clinical Advisor 2013, 1st ed. Figure 1-413

神経線維腫症の皮膚所見

5歳男児、神経線維腫症の伴う脊柱側弯症の患者。皮膚に多数のcafé au lait spotを認める。
出典
img
1: 稲見聡先生ご提供

特発性側弯症(胸椎カーブ)の立位全脊柱X線正面像

胸椎にカーブを認めT6- T12のcobb角は58°であったが(a)、後方矯正固定術により、T6- T12のcobb角は13°に改善した(b)。
出典
img
1: 著者提供

特発性側弯症(腰椎カーブ)の立位全脊柱X線正面像

T11-L3にCobb角50°の腰椎カーブを認めた(a)。前方矯正固定術により、Cobb角は0°に矯正された(b)。後方固定に比較し多くは固定範囲を少なくすることができる(可動椎間を多く残すことができる)。
出典
img
1: 稲見聡先生ご提供

長年の放置により変形が進行した特発性側弯症の立位全脊柱X線正面像

特発性側弯症は、思春期には痛みなどの自覚症状を伴わない場合が多いが、変形を放置すると、大きなカーブの場合(特に50°以上)は年々進行し、変形や加齢性変化が加わり重大な機能障害を招くことがある。
出典
img
1: 稲見聡先生ご提供

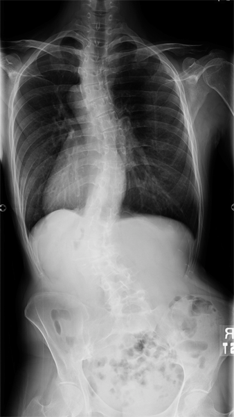
変性後側弯症

59歳女性。徐々に姿勢の悪化と共に腰痛、左下肢痛が増悪してきたため受診。変性後側弯症の診断で手術方針となった。第7頸椎から下ろした垂線と第1仙椎後上縁の距離Sacral Vertical Axis(SVA)は100mmであり矢状面バランス不良を認める。
出典
img
1: 著者提供

矢状面バランス評価の指標

出典
imgimg
1: The Most Significant Factor Affecting Gait and Postural Balance in Patients' Activities of Daily Living Following Corrective Surgery for Deformity of the Adult Spine.
著者: Sakaguchi T, Tanaka M, Sake N, Latka K, Fujiwara Y, Arataki S, Yamauchi T, Takamatsu K, Yasuda Y, Nakagawa M, Takahashi N, Kishimoto T.
雑誌名: Medicina (Kaunas). 2022 Aug 18;58(8). doi: 10.3390/medicina58081118. Epub 2022 Aug 18.
Abstract/Text: Background and Objectives: Gait ability and spinal postural balance affect ADL in patients who underwent adult spinal deformity (ASD) surgery. However, it is still unclear how to determine what the cause is. This study was done to investigate various factors affecting gait, postural balance and activities of daily living (ADL) in patients who were operated on for ASD over a period of one year, following corrective surgery. Materials and Method: A cohort of 42 (2 men, 40 women, mean age, 71.1 years) who were operated on for ASD were included in this study. According to Oswestry Disability Index (ODI), based on their ADL, patients were segregated into satisfied and unsatisfied groups. Gait and postural balance abilities were evaluated before and after the operative procedure. Radiographs of spine and pelvis as well as the rehabilitation data (static balance, standing on single-leg; dynamic postural adaptation, timed up and go test (TUG); Gait Capability, walk velocity for a distance of 10 m) were acquired 12 months after surgery and analyzed. Spinopelvic parameters such as (lumbar lordosis (LL), pelvic tilt (PT), sagittal vertical axis (SVA), pelvic incidence (PI)) were marked and noted. The factors which affect patients' satisfaction with their ADL were evaluated. Results: The ADL satisfied group included 18 patients (1 man, 17 women, mean age 68.6 years) and the unsatisfied group included 24 patients (1 man, 23 women, mean age 73.1 years). One year after the surgery, the two groups were tested. TUG (8.5 s vs. 12.8 s), 10 m walk velocity (1.26 m/s vs. 1.01 m/s), and single leg standing test (25 s vs. 12.8 s) were regarded as notably different. According to logistic regression analysis, only TUG was extracted as a significant factor. The cut-off value was 9.7 s, with sensitivity 75%, specificity 83%, area under the curve 0.824, and a 95% confidence interval of 0.695-0.953. Conclusions: A significant factor among all evaluations in postoperative ASD patients was TUG, for which the cut-off value for ADL satisfaction was 9.7 s.
Medicina (Kaunas). 2022 Aug 18;58(8). doi: 10.3390/medicina58081118. E...

骨粗鬆症性椎体骨折後の後弯症

79歳男性。半年前に転倒し第1、4腰椎の圧迫骨折を受傷。その後、徐々に前かがみの姿勢になり腰痛が増悪したため受診。SVA 110mmであり圧迫骨折後後弯症の診断で手術方針となった。
出典
img
1: 著者提供

姿勢異常の診断アルゴリズム

出典
img
1: 稲見聡先生ご提供