Now processing ... 
 Now searching ... 
 Now loading ... 

Patrick (FABER) test

出典
img
1: 「神野哲也:問診,身体所見,変形性股関節症―基本とUP TO DATE(久保俊一,杉山 肇編),p.77,2010,南江堂」より許諾を得て転載.

Anterior impingement test、FADIR (Flexion Adduction Internal Rotation) test

出典
img
1: 「神野哲也:問診,身体所見,変形性股関節症―基本とUP TO DATE(久保俊一,杉山 肇編),p.77,2010,南江堂」より許諾を得て転載.

Drehmann sign

出典
img
1: 長谷川幸治:徒手検査のコツ. 整形外科Knack & Pitfalls 股関節外科の要点と盲点. 久保俊一編. 文光堂, 2005: 31. 図4.

Thomas test

出典
img
1: 「帖佐悦男:成人の診察,運動器の痛み プライマリケア 股関節の痛み(菊地臣一編),p.62,2011,南江堂」より許諾を得て転載.

Trendelenburg sign

a:健側での片脚起立  b:患側での片脚起立
出典
img
1: 長谷川幸治:徒手検査のコツ. 整形外科Knack & Pitfalls 股関節外科の要点と盲点. 久保俊一編. 文光堂, 2005;p30. 図1.

変形性股関節症のX線病期分類

a:前股関節症
b:初期股関節症
c:進行期股関節症
d:末期股関節症
出典
img
1: 著者提供

特発性大腿骨頭壊死症診断基準

出典
img
1: 「日本整形外科学会診療ガイドライン委員会, 特発性大腿骨頭壊死症診療ガイドライン策定委員会編:特発性大腿骨頭壊死症診療ガイドライン 2019, p.39, 2019, 南江堂」より許諾を得て転載
img
2: Sugano N, Atsumi T, Ohzono K, et al: The 2001 revised criteria for diagnosis, classification, and staging of idiopathic osteonecrosis of the femoral head. J Orthop Sci 2002; 7(5): 601–605.

特発性大腿骨頭壊死症

a:帯状硬化像
b:MRI T1強調像 Band pattern
出典
img
1: 著者提供

大腿骨頭軟骨下脆弱性骨折の症例

MRI T1強調像(冠状断像)では関節面近傍に中枢に凸の線状低信号像(矢印)や骨頭から頚部に広がる低信号の骨髄浮腫像を認める。
出典
img
1: 著者提供

急速破壊型股関節症例

発症後、比較的短期間での急速な骨頭の骨破壊が認められる。
a:発症時
b:6カ月後
出典
img
1: 著者提供

FAIの画像指標

a:cross-over sign(pincer type)
b:pistol grip deformity 骨頭直下の前方骨突出(cam type)
c:pistol grip deformity 前方骨突出:側面像(cam type)
出典
img
1: 著者提供

強直性脊椎炎の画像所見

a:単純X線像:脊椎正面
b:単純X線像:脊椎側面
c:単純X線像:股関節正面
出典
img
1: 著者提供

肺癌の転移性骨腫瘍例

a:単純X線像では、左大腿骨近位大転子部に骨折線様陰影を認める(矢印)。
b:MRI T1強調像で、左大腿骨転子部に低輝度領域を認める(矢印)。
c:胸部単純X線像では右肺に異常陰影を認める(矢印)。
出典
img
1: 著者提供

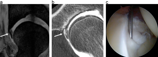
股関節唇損傷の画像診断

a、b:放射状MRIや関節造影後CTの放射状再構成像では、関節唇断裂部に信号変化や造影剤の流入がみられる(矢印)。
出典
img
1: 西井孝先生ご提供

学童期の化膿性股関節炎例

a:MRI T2強調脂肪抑制像で右股関節に関節液の貯留が確認された。
b:関節液は混濁していた。
出典
img
1: 著者提供

大腿骨寛骨臼インピンジメント(FAI)*の診断指針 (日本股関節学会指針)

* 狭義の診断指針:明らかな股関節疾患に続発する骨形態異常を除いた大腿骨-寛骨臼間のインピンジメント
出典
img
1: 日本股関節学会FAIワーキンググループ:大腿骨寛骨臼インピンジメント(FAI)の診断について(日本股関節学会指針). Hip Joint. 2015: 41: 1-6. より一部改変

変形性股関節症

a:単純X線像
b:単純X線像 左人工股関節置換術後
出典
img
1: 著者提供

一過性大腿骨頭萎縮症

a:単純X線像
b:発症時 MRI T1強調像
c:4カ月後 MRI T1強調像
出典
img
1: 著者提供

股関節の画像診断の進め方

出典
img
1: 「帖佐悦男:成人の診察,運動器の痛み プライマリケア 股関節の痛み(菊地臣一編),p.61,2011,南江堂」より許諾を得て転載.

股関節疾患と他領域疾患との鑑別の進め方

出典
img
1: 「大橋寛憲,菊池臣一,青田恵郎,紺野愼一:股関節疾患と間違いやすい痛み,運動器の痛み プライマリケア 股関節の痛み(菊地臣一編),p.97,2011,南江堂」より許諾を得て転載.