Now processing ... 
 Now searching ... 
 Now loading ... 

膝関節伸展機構

膝関節伸展機構は、大腿四頭筋、膝蓋骨、膝蓋腱、脛骨結節で構成される。
出典
img
1: 著者提供

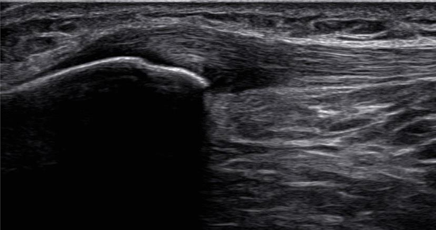
膝蓋腱の超音波画像

aは正常の膝蓋腱長軸像であり、腱実質はfibrillar patternを呈している。bはジャンパー膝例であり、膝蓋腱近位深層でfibrillar patternの消失が観察される。
出典
img
1: 著者提供

ジャンパー膝の超音波画像(ドプラ)

膝蓋腱近位深層に血流の増加が観察される。
出典
img
1: 著者提供

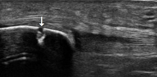
膝蓋骨疲労骨折の超音波像

膝蓋骨遠位部に骨皮質の途絶(矢印)が観察される。
出典
img
1: 著者提供

超音波画像(長軸)

膝蓋腱近位部が腫脹し、深層でfibrillar patternの消失が観察される。
出典
img
1: 著者提供

超音波画像(ドプラ)

膝蓋腱近位深層に血流の増加が観察される。
出典
img
1: 著者提供

ジャンパー膝の診療アルゴリズム

出典
img
1: 著者提供