Now processing ... 
 Now searching ... 
 Now loading ... 

サルコイドーシスの肺野病変の高分解能CT像

気管支・血管束に沿って広がる粒状影および線状影束。一部は肉芽腫病変を反映し、ステロイド薬の効果が期待できる。
出典
img
1: 著者提供

サルコイドーシスのリンパ節および肺の画像所見に基づく病期分類と治療の要否

両側肺門リンパ節腫脹(BHL)はサルコイドーシスの代表的な胸部画像所見で、これに肺野病変を組み合わせた病期分類がある。
 
参考文献:
1) Hunninghake GW, Costabel U, Ando M, et al. ATS/ERS/World Association of Sarcoidosis and other Granulomatous Disorders. Sarcoidosis Vasc Diffuse Lung Dis, 1999; 16: 149-73. PMID:10560120
2) Statement on sarcoidosis. Joint Statement of the American Thoracic Society (ATS), the European Respiratory Society (ERS) and the World Association of Sarcoidosis and Other Granulomatous Disorders (WASOG) adopted by the ATS Board of Directors and by the ERS Executive Committee, February 1999. Am J Respir Crit Care Med, 1999; 160(2): 736-55. PMID: 10430755
3) Baughman RP, Culver DA, Judson MA. A concise review of pulmonary sarcoidosis. Am J Respir Crit Care Med, 2011; 183(5): 573-81. PMID: 21037016
4) Sawahata M, Sugiyama Y, Nakamura Y, et al. Age-related differences in chest radiographic staging of sarcoidosis in Japan. Eur Respir J, 2014; 43(6): 1810-2. PMID: 24627539.
出典
img
1: 著者提供

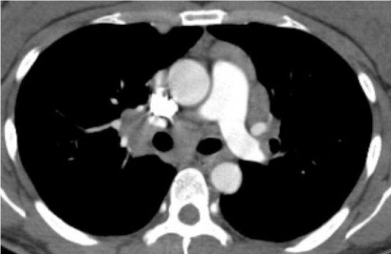
サルコイドーシスの両側肺門リンパ節腫脹(BHL)

両側縦隔・リンパ節腫脹(BHL)を発見された54歳の女性。典型的な両側肺門リンパ節腫大で、BHLは健康診断などで偶然発見されることが多い。そのような場合は無症状のことが多く、無治療で自然経過を観察する。
出典
img
1: 著者提供

両側肺門リンパ節腫脹(BHL)と肺野病変

乾性咳があり、胸部画像で両側肺門リンパ節腫脹とともに肺野の異常がみられた25歳、男性。CTで両側肺のさまざまな部位に小粒状影が集族して円形様の広がる像を呈した。綿花状陰影と呼ばれる。
出典
img
1: 著者提供

出典
img
1: 著者提供

出典
img
1: 著者提供

肺サルコイドーシスの治療手順と治療困難時の二次選択薬の使い方

ステロイド薬による治療を行っているときは糖尿病の発病と骨粗鬆症にも注意。
ステロイド薬で十分な効果が得られない下記1~5の重症例では、メトトレキサートなどを用いる。
1. 新しい肺陰影の出現
2. 画像所見の悪化:CTで気管支・血管周囲影の不整、気管支の変形拡張、無気肺の進行を認めたとき
3. 呼吸機能の障害が進行したとき
4. 呼吸器症状の悪化:息切れなどの自覚症状が増悪したとき
5. 他薬剤への変更:ステロイド薬による治療にかかわらず進行する症例ではメトトレキサートの使用を検討する。
 
出典
img
1: 日本サルコイドーシス/肉芽腫性疾患学会. サルコイドーシス診療の手引き2023.

サルコイドーシス診断の流れ図

呼吸器系症状の「あり・なし」群に分けて、サルコイドーシスの診断の進め方の概略を示す。病理組織学的検査で肉芽腫病変を証明できたものを「組織診断群」、BHLなどの典型的所見を呈するものの組織診断が得られていないものを「臨床診断群」とする。一方、単独臓器にサルコイドーシスに典型的な所見を認めるが診断に至らないものを「疑診群」とする。
出典
img
1: 四十坊典晴, 山口哲生. わが国におけるサルコイドーシスの診断基準と重症度分類. 日サ会誌, 2015; 35(1): 3-8.
img
2: 日本サルコイドーシス/肉芽腫性疾患学会. サルコイドーシス診療の手引き2020.
img
3: 日本サルコイドーシス/肉芽腫性疾患学会. サルコイドーシス診療の手引き2023.