Now processing ... 
 Now searching ... 
 Now loading ... 

ALアミロイドーシス患者の左心耳内にできた血栓像

左心耳は血栓の好発部位で、経食道エコー以外に経胸壁心エコーでも血栓を検出できる場合がある。

アミロイドーシスに特徴的な身体所見

眼窩の皮下出血、巨舌、顎下腺腫脹、爪の萎縮、全頭脱毛、肩バッドサインはALアミロイドーシスに特徴的な所見である。
出典
imgimg
1: The systemic amyloidoses.
N Engl J Med. 1997 Sep 25;337(13):898-909. doi: 10.1056/NEJM199709253371306.

ALアミロイドーシスの心内膜生検

上段よりHE染色、アルシアンブルー染色、anti-λ抗体による免疫染色
出典
imgimg
1: Cardiac amyloidosis: a treatable disease, often overlooked.
Circulation. 2011 Aug 30;124(9):1079-85. doi: 10.1161/CIRCULATIONAHA.110.010447.

大量のアミロイド沈着を来した原発性心アミロイドーシスの剖検所見

心室内腔の拡大はなく、両室肥大と心房中隔の肥厚を伴う両心房拡大を認める。心房へのアミロイドの浸潤は心房不全を引き起こし、心房内血栓を生じさせ得る。
出典
imgimg
1: Diagnosis and management of the cardiac amyloidoses.
Circulation. 2005 Sep 27;112(13):2047-60. doi: 10.1161/CIRCULATIONAHA.104.489187.

ALアミロイドーシスにおける偽前壁心筋梗塞パターン

出典
img
1: 著者提供

アミロイドーシスの原因、標的臓器、治療

アミロイドーシスの原因により、アミロイド沈着が生ずる標的臓器が異なるが、免疫グロブリン重鎖以外のタイプでは心病変を起こしてくる。
 
参考文献:
  1. Falk RH. Diagnosis and management of the cardiac amyloidoses. Circulation 2005;112:2047-2060
  1. Falk RH. Cardiac amyloidosis: a treatable disease, often overlooked. Circulation 2011;124:1079-1085.
出典
img
1: 著者提供

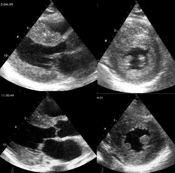
心アミロイドーシスの心エコー所見

上段はALアミロイドーシス、下段はATTRvアミロイドーシス
心エコー上は、両者の区別はできない。
出典
img
1: 著者提供

ATTRwtの心エコー

ALアミロイドーシスと比べ、左室壁厚は厚く、左室駆出率は低下しているのが特徴である。
出典
img
1: 著者提供

apical sparingの特徴的パターン

出典
img
1: 著者提供

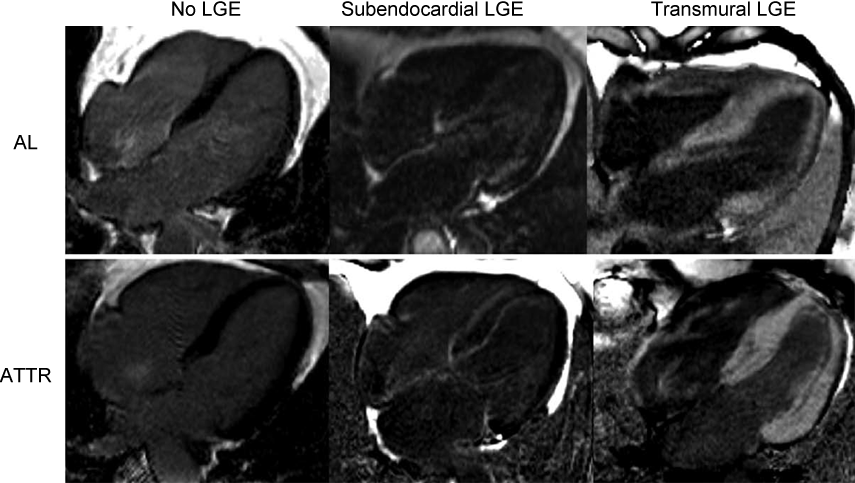
心アミロイドーシスのMRI(ガドリニウム遅延造影)

心アミロイドーシスのMRI(ガドリニウム遅延造影)は予後推定因子となる。
ALアミロイドーシス(上段)とATTRアミロイドーシス(下段)
左:遅延造影なし、中:心内膜への遅延造影、右:貫壁性遅延造影
出典
imgimg
1: Prognostic Value of Late Gadolinium Enhancement Cardiovascular Magnetic Resonance in Cardiac Amyloidosis.
著者: Fontana M, Pica S, Reant P, Abdel-Gadir A, Treibel TA, Banypersad SM, Maestrini V, Barcella W, Rosmini S, Bulluck H, Sayed RH, Patel K, Mamhood S, Bucciarelli-Ducci C, Whelan CJ, Herrey AS, Lachmann HJ, Wechalekar AD, Manisty CH, Schelbert EB, Kellman P, Gillmore JD, Hawkins PN, Moon JC.
雑誌名: Circulation. 2015 Oct 20;132(16):1570-9. doi: 10.1161/CIRCULATIONAHA.115.016567. Epub 2015 Sep 11.
Abstract/Text: BACKGROUND: The prognosis and treatment of the 2 main types of cardiac amyloidosis, immunoglobulin light chain (AL) and transthyretin (ATTR) amyloidosis, are substantially influenced by cardiac involvement. Cardiovascular magnetic resonance with late gadolinium enhancement (LGE) is a reference standard for the diagnosis of cardiac amyloidosis, but its potential for stratifying risk is unknown.
METHODS AND RESULTS: Two hundred fifty prospectively recruited subjects, 122 patients with ATTR amyloid, 9 asymptomatic mutation carriers, and 119 patients with AL amyloidosis, underwent LGE cardiovascular magnetic resonance. Subjects were followed up for a mean of 24±13 months. LGE was performed with phase-sensitive inversion recovery (PSIR) and without (magnitude only). These were compared with extracellular volume measured with T1 mapping. PSIR was superior to magnitude-only inversion recovery LGE because PSIR always nulled the tissue (blood or myocardium) with the longest T1 (least gadolinium). LGE was classified into 3 patterns: none, subendocardial, and transmural, which were associated with increasing amyloid burden as defined by extracellular volume (P<0.0001), with transitions from none to subendocardial LGE at an extracellular volume of 0.40 to 0.43 (AL) and 0.39 to 0.40 (ATTR) and to transmural at 0.48 to 0.55 (AL) and 0.47 to 0.59 (ATTR). Sixty-seven patients (27%) died. Transmural LGE predicted death (hazard ratio, 5.4; 95% confidence interval, 2.1-13.7; P<0.0001) and remained independent after adjustment for N-terminal pro-brain natriuretic peptide, ejection fraction, stroke volume index, E/E', and left ventricular mass index (hazard ratio, 4.1; 95% confidence interval, 1.3-13.1; P<0.05).
CONCLUSIONS: There is a continuum of cardiac involvement in systemic AL and ATTR amyloidosis. Transmural LGE is determined reliably by PSIR and represents advanced cardiac amyloidosis. The PSIR technique provides incremental information on outcome even after adjustment for known prognostic factors.

© 2015 The Authors.
Circulation. 2015 Oct 20;132(16):1570-9. doi: 10.1161/CIRCULATIONAHA.1...

ALアミロイドーシスの心病変の頻度と、生命予後

390人の患者のうち正常な心電図、心エコー所見を示した患者は158人(40.5%)であったのに対し、異常所見を呈する患者は232人(59.5%)であった。心不全を呈する患者(○)は心不全を呈さない患者(□)より有意に予後不良であった。
出典
imgimg
1: The clinical features of immunoglobulin light-chain (AL) amyloidosis with heart involvement.
著者: Dubrey SW, Cha K, Anderson J, Chamarthi B, Reisinger J, Skinner M, Falk RH.
雑誌名: QJM. 1998 Feb;91(2):141-57. doi: 10.1093/qjmed/91.2.141.
Abstract/Text: We reviewed clinical presentation, investigations, therapy, prognosis and outcome of 232 patients with primary (AL) cardiac amyloidosis. There were 142 men and 90 women. Median age at presentation was 59 years (range 29-85). AL heart disease was unusual both in patients under the age of 40 (3.0%) and in non-Caucasians (6.5%). Fatigue and weakness were the commonest presenting symptoms. Hallmark features of periorbital ecchymoses and macroglossia were present in 12.5% and 27.2%, respectively. AL cardiac amyloidosis was unusual in isolation (3.9%), and most frequently patients had features of multiorgan dysfunction; heavy proteinuria and features of malabsorption predominating in this respect. Heart involvement represents the worst prognostic indicator, with a median survival from diagnosis of 1.08 years, falling to 0.75 years with the onset of heart failure. Current therapeutic procedures appear to prolong survival, with left ventricular wall thickness, mass and ejection fraction on echocardiography and late potentials on signal averaged electrocardiography of use in prognostic stratification. Cardiac involvement from AL amyloidosis is rapidly fatal. It should be suspected in all patients with heart failure who have wall thickening on echo, normal chamber sizes, low EKG voltages and evidence suggesting a multisystem disease.
QJM. 1998 Feb;91(2):141-57. doi: 10.1093/qjmed/91.2.141.

左室長軸方向のストレイン値と、生存曲線

左室長軸方向のストレイン値低下は、ALアミロイドーシスの生命予後の独立規定因子である。
出典
imgimg
1: Prognostic significance of strain Doppler imaging in light-chain amyloidosis.
著者: Koyama J, Falk RH.
雑誌名: JACC Cardiovasc Imaging. 2010 Apr;3(4):333-42. doi: 10.1016/j.jcmg.2009.11.013.
Abstract/Text: OBJECTIVES: To clarify the prognostic value of strain and strain rate imaging in light-chain (AL) amyloidosis.
BACKGROUND: Myocardial strain and strain rate Doppler imaging are objective measurements that may detect regional subtle myocardial functional abnormalities in patients with amyloidosis.
METHODS: We prospectively examined 119 consecutive, untreated patients with biopsy-proven AL amyloidosis. The mean values of tissue velocity, strain, and strain rate were calculated from the basal, mid, and apical left ventricular (LV) multiple walls in apical 2- and 4-chamber views. The prognostic value of these parameters was compared with standard 2-dimensional echocardiographic and Doppler measurements of transmitral and pulmonary venous flow.
RESULTS: Seventy patients had cardiac involvement defined as the mean value of LV wall thickness greater than 12 mm. Thirty-two patients (27%) (including 22 proven cardiac deaths) died during a mean follow-up period of 285 +/- 136 days. No echocardiographic or Doppler features differentiated patients with cardiac involvement without congestive heart failure (CHF) from noncardiac amyloid group other than the pre-defined wall thickness and LV end-diastolic and end-systolic diameters. On the other hand, strain rate and strain imaging clearly detected differences of longitudinal LV myocardial deformation among 3 groups (noncardiac involvement group, cardiac amyloidosis without CHF group, and cardiac amyloidosis with CHF group). Univariate analysis showed that strain rate, strain, and tissue velocity values were statistically significant predictors of outcome at most of the sites. Multivariate analysis showed that the mean LV basal strain was the only independent predictor of both cardiac and overall deaths.
CONCLUSIONS: Among patients with AL amyloidosis, the mean basal strain, a measure of longitudinal LV function, was a powerful predictor of clinical outcome and was superior to standard 2-dimensional echocardiographic, Doppler flow measurements, and simple tissue velocity indexes.

Copyright 2010 American College of Cardiology Foundation. Published by Elsevier Inc. All rights reserved.
JACC Cardiovasc Imaging. 2010 Apr;3(4):333-42. doi: 10.1016/j.jcmg.200...

左室壁厚、BNP、左室駆出時間、左室基部前壁中隔の長軸方向ドプラストレインと生存曲線

左室基部前壁中隔長軸方向のストレイン値はほかのエコー指標と比べ、強力な予後規定因子である。
出典
imgimg
1: Independent predictors of survival in primary systemic (Al) amyloidosis, including cardiac biomarkers and left ventricular strain imaging: an observational cohort study.
著者: Bellavia D, Pellikka PA, Al-Zahrani GB, Abraham TP, Dispenzieri A, Miyazaki C, Lacy M, Scott CG, Oh JK, Miller FA Jr.
雑誌名: J Am Soc Echocardiogr. 2010 Jun;23(6):643-52. doi: 10.1016/j.echo.2010.03.027.
Abstract/Text: BACKGROUND: The prognostic value of Doppler myocardial imaging, including myocardial velocity imaging, strain, and strain rate imaging, in patients with primary (AL) amyloidosis is uncertain. The aim of this longitudinal study was to identify independent predictors of survival, comparing clinical data, hematologic and cardiac biomarkers, and standard echocardiographic and Doppler myocardial imaging measures in a cohort of patients with AL amyloidosis.
METHODS: A total of 249 consecutive patients with AL amyloidosis were prospectively enrolled. The primary end point was all-cause mortality, and during a median follow-up period of 18 months, 75 patients (30%) died. Clinical and electrocardiographic data, biomarkers (brain natriuretic peptide and cardiac troponin T) and standard echocardiographic and longitudinal systolic and diastolic Doppler myocardial imaging measurements for 16 left ventricular segments were tested as potential independent predictors of survival.
RESULTS: Age (hazard ratio [HR], 1.03; P = .03), New York Heart Association class III or IV (HR, 2.47; P = .01), the presence of pleural effusion (HR, 1.79; P = .08), brain natriuretic peptide level (HR, 1.29; P = .01), ejection time (HR, 0.99; P = .13), and peak longitudinal systolic strain of the basal anteroseptal segment (HR, 1.05; P = .02) were independent predictors in the final model.
CONCLUSIONS: Multivariate survival analysis identified independent predictors of clinical outcome in patients with AL amyloidosis: New York Heart Association class III or IV, presence of pleural effusion, brain natriuretic peptide level > 493 pg/mL, ejection time < 273 ms, and peak longitudinal systolic basal anteroseptal strain less negative than or equal to -7.5% defined a high-risk group of patients.

Copyright 2010 American Society of Echocardiography. Published by Mosby, Inc. All rights reserved.
J Am Soc Echocardiogr. 2010 Jun;23(6):643-52. doi: 10.1016/j.echo.2010...

ALアミロイドーシスにおける平均longitudinal strain, Global longitudinal strain(GLS)、NT-Pro BNP、Troponin Tによる生存曲線

心エコー指標の中ではGLSが独立予後規定因子として唯一残る指標であった。
出典
imgimg
1: Longitudinal left ventricular function for prediction of survival in systemic light-chain amyloidosis: incremental value compared with clinical and biochemical markers.
著者: Buss SJ, Emami M, Mereles D, Korosoglou G, Kristen AV, Voss A, Schellberg D, Zugck C, Galuschky C, Giannitsis E, Hegenbart U, Ho AD, Katus HA, Schonland SO, Hardt SE.
雑誌名: J Am Coll Cardiol. 2012 Sep 18;60(12):1067-76. doi: 10.1016/j.jacc.2012.04.043. Epub 2012 Aug 8.
Abstract/Text: OBJECTIVES: The aim of the study was to determine whether longitudinal left ventricular (LV) function provides prognostic information in a large cohort of patients with systemic light-chain (AL) amyloidosis.
BACKGROUND: AL amyloidosis is associated with a high incidence of cardiovascular events. Reduced myocardial longitudinal function is one of the hallmarks of myocardial involvement in this rare disease.
METHODS: Two hundred six consecutive patients with biopsy-proven AL amyloidosis were investigated in this prospective observational study. Echocardiographic imaging parameters, mean tissue Doppler-derived longitudinal strain (LS), and two-dimensional global longitudinal strain (2D-GLS) of the LV, cardiac serological biomarkers, and comprehensive clinical disease characteristics were assessed. The primary endpoint was all-cause mortality or heart transplantation.
RESULTS: After a median follow-up of 1207 days, LS and 2D-GLS were significant predictors of survival in AL amyloidosis. The cutoff values discriminating survivors from nonsurvivors were -10.65% for LS and -11.78% for 2D-GLS. In a multivariable echocardiographic Cox model, only diastolic dysfunction and 2D-GLS remained as independent predictors of survival. In comprehensive clinical models, 2D-GLS (p < 0.0001), diastolic dysfunction (p < 0.01), the pathologic free light chains (p < 0.05), cardiac troponin-T (cTnT) (p < 0.01), and the Karnofsky index (p < 0.001) remained as independent predictors. 2D-GLS delineated a superior prognostic value compared with that derived from pathologic free light chains or cTnT in patients evaluated before firstline chemotherapy (n = 113; p < 0.0001), and remained the only independent predictor besides the Karnofsky index in subjects with preserved LV ejection fraction (≥50%; n = 127; p < 0.01). LS and 2D-GLS both offered significant incremental information (p < 0.001) for the assessment of outcome compared with clinical variables (age, Karnofsky index, and New York Heart Association functional class) and serological biomarkers.
CONCLUSIONS: In the largest serial investigation reported so far, reduced LV longitudinal function served as an independent predictor of survival in AL amyloidosis and offered incremental information beyond standard clinical and serological parameters.

Copyright © 2012 American College of Cardiology Foundation. Published by Elsevier Inc. All rights reserved.
J Am Coll Cardiol. 2012 Sep 18;60(12):1067-76. doi: 10.1016/j.jacc.201...

心筋生検で心アミロイドーシスと診断された患者の典型的な造影心臓MRI像

両者とも全心内膜側を含む広範な遅延造影を認める。乳頭筋にも造影を認める。
出典
imgimg
1: Cardiovascular magnetic resonance in clinically suspected cardiac amyloidosis: noninvasive imaging compared to endomyocardial biopsy.
著者: Vogelsberg H, Mahrholdt H, Deluigi CC, Yilmaz A, Kispert EM, Greulich S, Klingel K, Kandolf R, Sechtem U.
雑誌名: J Am Coll Cardiol. 2008 Mar 11;51(10):1022-30. doi: 10.1016/j.jacc.2007.10.049.
Abstract/Text: OBJECTIVES: We sought to evaluate the diagnostic performance of cardiovascular magnetic resonance imaging (CMRI) for detection of cardiac amyloidosis compared with endomyocardial biopsy (EMB) in a clinical routine setting.
BACKGROUND: For the clinical workup of heart failure with restrictive filling, pattern cardiac amyloidosis is an important differential diagnosis that is difficult to verify with current noninvasive techniques, especially in the presence of myocardial hypertrophy.
METHODS: A total of 33 consecutive patients underwent both CMRI and EMB for workup of heart failure with restrictive filling pattern in combination with myocardial hypertrophy (n = 24) and/or clinical conditions often associated with cardiac amyloidosis (n = 18).
RESULTS: Cardiac amyloidosis was detected by EMB in 15 of the 33 patients. In patients with biopsy-proven cardiac amyloidosis, CMRI revealed a distinct pattern of late gadolinium enhancement, which was distributed over the entire subendocardial circumference, extending in various degrees into the neighboring myocardium. This pattern was found in 12 of the 15 patients diagnosed with cardiac amyloidosis by EMB, compared with only 1 individual in the group of 18 patients diagnosed with other myocardial diseases. Consequently, using this pattern as a diagnostic criterion, the sensitivity of CMRI for diagnosing cardiac amyloidosis was 80%, yielding a specificity of 94%. The positive predictive value was 92%, and the negative predictive value was 85%.
CONCLUSIONS: In patients with biopsy-proven cardiac amyloidosis, late gadolinium enhancement frequently occurs in a peculiar pattern. On the basis of the gold standard, EMB, noninvasive CMRI can be used to diagnose or rule out cardiac amyloidosis with good sensitivity and excellent specificity in a clinical routine setting.
J Am Coll Cardiol. 2008 Mar 11;51(10):1022-30. doi: 10.1016/j.jacc.200...

3患者における特徴的なガドリニウム遅延造影(LGE)

上段:ALアミロイドーシス、下段:ATTRアミロイドーシス
左:LGE(-)、中:心内膜LGE(+)、右:貫壁性LGE(+)
AL、ATTRともにLGE(-)、心内膜LGE(+)、貫壁性LGE(+)パターンを認める。
出典
imgimg
1: Prognostic Value of Late Gadolinium Enhancement Cardiovascular Magnetic Resonance in Cardiac Amyloidosis.
著者: Fontana M, Pica S, Reant P, Abdel-Gadir A, Treibel TA, Banypersad SM, Maestrini V, Barcella W, Rosmini S, Bulluck H, Sayed RH, Patel K, Mamhood S, Bucciarelli-Ducci C, Whelan CJ, Herrey AS, Lachmann HJ, Wechalekar AD, Manisty CH, Schelbert EB, Kellman P, Gillmore JD, Hawkins PN, Moon JC.
雑誌名: Circulation. 2015 Oct 20;132(16):1570-9. doi: 10.1161/CIRCULATIONAHA.115.016567. Epub 2015 Sep 11.
Abstract/Text: BACKGROUND: The prognosis and treatment of the 2 main types of cardiac amyloidosis, immunoglobulin light chain (AL) and transthyretin (ATTR) amyloidosis, are substantially influenced by cardiac involvement. Cardiovascular magnetic resonance with late gadolinium enhancement (LGE) is a reference standard for the diagnosis of cardiac amyloidosis, but its potential for stratifying risk is unknown.
METHODS AND RESULTS: Two hundred fifty prospectively recruited subjects, 122 patients with ATTR amyloid, 9 asymptomatic mutation carriers, and 119 patients with AL amyloidosis, underwent LGE cardiovascular magnetic resonance. Subjects were followed up for a mean of 24±13 months. LGE was performed with phase-sensitive inversion recovery (PSIR) and without (magnitude only). These were compared with extracellular volume measured with T1 mapping. PSIR was superior to magnitude-only inversion recovery LGE because PSIR always nulled the tissue (blood or myocardium) with the longest T1 (least gadolinium). LGE was classified into 3 patterns: none, subendocardial, and transmural, which were associated with increasing amyloid burden as defined by extracellular volume (P<0.0001), with transitions from none to subendocardial LGE at an extracellular volume of 0.40 to 0.43 (AL) and 0.39 to 0.40 (ATTR) and to transmural at 0.48 to 0.55 (AL) and 0.47 to 0.59 (ATTR). Sixty-seven patients (27%) died. Transmural LGE predicted death (hazard ratio, 5.4; 95% confidence interval, 2.1-13.7; P<0.0001) and remained independent after adjustment for N-terminal pro-brain natriuretic peptide, ejection fraction, stroke volume index, E/E', and left ventricular mass index (hazard ratio, 4.1; 95% confidence interval, 1.3-13.1; P<0.05).
CONCLUSIONS: There is a continuum of cardiac involvement in systemic AL and ATTR amyloidosis. Transmural LGE is determined reliably by PSIR and represents advanced cardiac amyloidosis. The PSIR technique provides incremental information on outcome even after adjustment for known prognostic factors.

© 2015 The Authors.
Circulation. 2015 Oct 20;132(16):1570-9. doi: 10.1161/CIRCULATIONAHA.1...

遅延造影(LGE)パターンによる生存曲線

上段は全患者の生存曲線、左下はALアミロイドーシス、右下はATTRアミロイドーシスの生存曲線を示す。いずれのアミロイドーシスも、貫壁性LGEパターンを示すと、心病変の進行が示唆され、予後不良である。
出典
imgimg
1: Prognostic Value of Late Gadolinium Enhancement Cardiovascular Magnetic Resonance in Cardiac Amyloidosis.
著者: Fontana M, Pica S, Reant P, Abdel-Gadir A, Treibel TA, Banypersad SM, Maestrini V, Barcella W, Rosmini S, Bulluck H, Sayed RH, Patel K, Mamhood S, Bucciarelli-Ducci C, Whelan CJ, Herrey AS, Lachmann HJ, Wechalekar AD, Manisty CH, Schelbert EB, Kellman P, Gillmore JD, Hawkins PN, Moon JC.
雑誌名: Circulation. 2015 Oct 20;132(16):1570-9. doi: 10.1161/CIRCULATIONAHA.115.016567. Epub 2015 Sep 11.
Abstract/Text: BACKGROUND: The prognosis and treatment of the 2 main types of cardiac amyloidosis, immunoglobulin light chain (AL) and transthyretin (ATTR) amyloidosis, are substantially influenced by cardiac involvement. Cardiovascular magnetic resonance with late gadolinium enhancement (LGE) is a reference standard for the diagnosis of cardiac amyloidosis, but its potential for stratifying risk is unknown.
METHODS AND RESULTS: Two hundred fifty prospectively recruited subjects, 122 patients with ATTR amyloid, 9 asymptomatic mutation carriers, and 119 patients with AL amyloidosis, underwent LGE cardiovascular magnetic resonance. Subjects were followed up for a mean of 24±13 months. LGE was performed with phase-sensitive inversion recovery (PSIR) and without (magnitude only). These were compared with extracellular volume measured with T1 mapping. PSIR was superior to magnitude-only inversion recovery LGE because PSIR always nulled the tissue (blood or myocardium) with the longest T1 (least gadolinium). LGE was classified into 3 patterns: none, subendocardial, and transmural, which were associated with increasing amyloid burden as defined by extracellular volume (P<0.0001), with transitions from none to subendocardial LGE at an extracellular volume of 0.40 to 0.43 (AL) and 0.39 to 0.40 (ATTR) and to transmural at 0.48 to 0.55 (AL) and 0.47 to 0.59 (ATTR). Sixty-seven patients (27%) died. Transmural LGE predicted death (hazard ratio, 5.4; 95% confidence interval, 2.1-13.7; P<0.0001) and remained independent after adjustment for N-terminal pro-brain natriuretic peptide, ejection fraction, stroke volume index, E/E', and left ventricular mass index (hazard ratio, 4.1; 95% confidence interval, 1.3-13.1; P<0.05).
CONCLUSIONS: There is a continuum of cardiac involvement in systemic AL and ATTR amyloidosis. Transmural LGE is determined reliably by PSIR and represents advanced cardiac amyloidosis. The PSIR technique provides incremental information on outcome even after adjustment for known prognostic factors.

© 2015 The Authors.
Circulation. 2015 Oct 20;132(16):1570-9. doi: 10.1161/CIRCULATIONAHA.1...

99mTc-ピロリン酸取り込みの分布の半定量的計算法

右肺野の濃度を基準値として心臓に集積した陰影濃度を半定量的に数値化する。
出典
imgimg
1: Cardiac Amyloidosis Presenting as Severe Mitral Regurgitation.
JACC Cardiovasc Imaging. 2016 Aug;9(8):1003-6. doi: 10.1016/j.jcmg.2016.03.011. Epub 2016 Jun 22.

ATTRアミロイドーシスにおけるリスクスコア別肝移植後の生存率

ハイリスク患者(Score<50%)の1年生存率は70%、5年生存率は31%と不良である。
出典
imgimg
1: Prediction of long-term survival after liver transplantation for familial transthyretin amyloidosis.
J Am Coll Cardiol. 2015 Nov 10;66(19):2154-2156. doi: 10.1016/j.jacc.2015.08.870.

1年ごとのFAP score、BMI、心室中隔壁+左室後壁厚、左室駆出率の変化

治療開始2年目以降の神経障害スコア、BMI、左室壁厚、左室駆出率に有意な変化は認めなかった(FAPは病変が進行すると、有意な体重減少を生ずる疾患である)。
出典
imgimg
1: Safety and efficacy of long-term diflunisal administration in hereditary transthyretin (ATTR) amyloidosis.
著者: Sekijima Y, Tojo K, Morita H, Koyama J, Ikeda S.
雑誌名: Amyloid. 2015;22(2):79-83. doi: 10.3109/13506129.2014.997872. Epub 2015 May 27.
Abstract/Text: BACKGROUND: A recent 2-year randomized controlled trial indicated that the transthyretin (TTR) tetramer stabilizer, diflunisal, inhibits polyneuropathy progression and preserves quality of life in hereditary ATTR amyloidosis. However, its long-term outcomes are unknown. Here, we report tolerance and efficacy of long-term diflunisal administration in hereditary ATTR amyloidosis.
METHODS: Diflunisal was administered orally at 500 mg/day to 40 Japanese hereditary ATTR amyloidosis patents who were not candidates for liver transplantation. The observation period ranged from 2 to 116 months (mean ± SD: 38.0 ± 31.2 months).
RESULTS: Diflunisal-related adverse events included deterioration of renal function and thrombocytopenia resulting in discontinuation of the drug in three patients. Orally administered diflunisal significantly increased serum TTR concentration (p = 0.001) and stabilized TTR tetramer structure in each patient. Longitudinal analyses of data collected at baseline, 24 months, and after 24 months confirmed sustaining effects of diflunisal on both neurological and cardiac functions. Notably, ulnar compound muscle action potential amplitude, cardiac wall thickness, and ejection fraction were not deteriorated after 24 months of treatment.
CONCLUSIONS: Diflunisal was tolerated well by most hereditary ATTR amyloidosis patients, although renal function and blood cell counts must be carefully monitored. Clinical effects of diflunisal were sustained after 2 years of treatment.
Amyloid. 2015;22(2):79-83. doi: 10.3109/13506129.2014.997872. Epub 201...

心アミロイドーシスが疑われた場合の診断アルゴリズム

臨床的な評価が心アミロイドーシスを診断する際の糸口となるが、組織診断は必須である。生検検体の特殊染色は、アミロイドーシスのタイプを確定するのに役立つが、多発性骨髄腫の否定や遊離免疫グロブリン軽鎖の定量がALアミロイドーシスの診断に必要である。生検検体がトランスサイレチン陽性であれば、野生型か変異型かを調べる(質量分析)。
出典
imgimg
1: Diagnosis and management of the cardiac amyloidoses.
Circulation. 2005 Sep 27;112(13):2047-60. doi: 10.1161/CIRCULATIONAHA.104.489187.

心アミロイドーシス診療アルゴリズム(2020年版心アミロイドーシス診療ガイドライン)

出典
img
1: 日本循環器学会.2020年版 心アミロイドーシス診療ガイドライン.https://www.j-circ.or.jp/cms/wp-content/uploads/2020/02/JCS2020_Kitaoka.pdf(2021年7月閲覧)、p62、図32