Now processing ... 
 Now searching ... 
 Now loading ... 

International Parkinson and Movement Disorder Society(MDS)診断基準(2015)

出典
img
1: 「パーキンソン病診療ガイドライン」作成委員会編、日本神経学会監修:パーキンソン病診療ガイドライン2018、医学書院、2018、序章p3, 表1

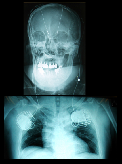
脳深部刺激療法(DBS)

出典
img
1: 著者提供

L-ドパ持続経腸療法(LCIG)

出典
img
1: 大江田知子、高坂雅之:レボドパ・カルビドパ合剤ジェル腸内持続投与療法―難治性運動合併症に対する新規治療のリスクベネフィット.医学のあゆみ:262(6): 671-676, 2017

DBS、LCIG、ホスレボドパ/ホスカルビドパ持続皮下注療法の特徴

出典
img
1: 著者提供

ホスレボドパ/ホスカルビドパ持続皮下投与

出典
img
1: アッヴィ合同会社 https://vyalev.jp/

進行期パーキンソン病治療のアルゴリズム

Wearing off が出現した時の治療のアルゴリズム
出典
img
1: 「パーキンソン病診療ガイドライン」作成委員会編、日本神経学会監:パーキンソン病診療ガイドライン2018、医学書院、2018、p125.

ジスキネジア治療のアルゴリズム

ジスキネジアが出現した時のアルゴリズム
出典
img
1: 「パーキンソン病診療ガイドライン」作成委員会編、日本神経学会監:パーキンソン病診療ガイドライン2018、医学書院、2018、p179.