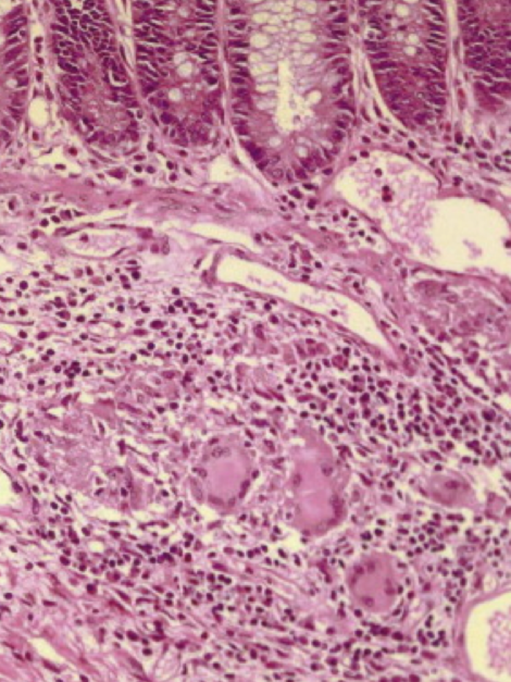
非乾酪性類上皮細胞肉芽腫
内視鏡生検検体にて観察された類上皮細胞肉芽腫。分葉した巨核細胞を認めるが、中心壊死は認めない。
出典
1:
Feldman M, et al.: Sleisenger and Fordtran's Gastrointestinal and Liver Disease,10th ed.Saunders, 2016; Chapter 115 FIGURE 115-2
大腸内視鏡検査における縦走潰瘍および敷石像
大腸型クローン病患者の結腸において、数条の縦走潰瘍と、その周りに敷石像を認める。
出典
1:
著者提供
小腸造影検査における回腸の縦走潰瘍および偏側性の壁硬化像
併せて終末回腸に強い狭窄を認める。
出典
1:
著者提供
痔瘻および肛門周囲膿瘍
a:クローン病男性患者の複雑性痔瘻
b:クローン病女性患者の単純性痔瘻。痔瘻の周囲の皮膚は変色しており、自壊した膿瘍の所見である。
出典
1:
Feldman M, et al.: Sleisenger and Fordtran's Gastrointestinal and Liver Disease,10th ed, Saunders, 2016; Chapter 115 FIGURE 115-3
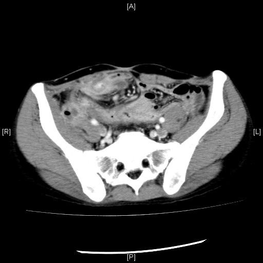
右腸腰筋膿瘍
右腸腰筋に膿瘍形成を認める。膿瘍内のガスは腸管との瘻孔またはガス産生菌の関与を疑う。
出典
1:
著者提供
クローン病の重症度分類
クローン病の臨床的活動度分類
出典
1:
厚生労働科学研究費補助金 難治性疾患政策研究事業「難治性炎症性腸管障害に関する調査研究」(久松班):潰瘍性大腸炎・クローン病 診断基準・治療指針(令和6年度 改訂版)(令和7年3月31日)p36([http://ibdjapan.org/] を加工して利用)
胃十二指腸病変
a:胃体部小弯の竹の節状外観
b:十二指腸のノッチ様陥凹
出典
1:
難治性炎症性腸管障害に関する調査研究(久松班):一目でわかるIBD 炎症性腸疾患を診察されている先生方へ(第四版) 「令和4年度において、厚生労働科学研究費補助(難治性疾患等政策研究事業(難治性疾患政策研究事業)を受け、実施した研究の成果」2023年、p28
食道病変
食道に類円形の潰瘍が多発する。必ずしも縦走には配列しない。本症例では、嚥下時の疼痛が、クローン病診断の契機となった。
出典
1:
著者提供
クローン病診断基準
病変部位の肉眼的および病理学的所見をもとに診断する。「疑診例」やinflammatory bowel disease unclassified(IBDU)でも経過観察中に確診に至ることも少なくない。
肛門病変については、「クローン病 肛門部病変のすべて 診断から治療まで(第二版)」参照。
出典
1:
厚生労働科学研究費補助金 難治性疾患政策研究事業「難治性炎症性腸管障害に関する調査研究」(久松班):潰瘍性大腸炎・クローン病 診断基準・治療指針(令和6年度 改訂版)(令和7年3月31日)、p35-36([http://ibdjapan.org/] を加工して利用)
クローン病の術後再手術率
特に“perforating type”(穿孔、膿瘍例)において再手術率が高い。
出典
1:
難治性炎症性腸管障害に関する調査研究(久松班):一目でわかるIBD 炎症性腸疾患を診察されている先生方へ(第四版) 「令和4年度において、厚生労働科学研究費補助(難治性疾患等政策研究事業(難治性疾患政策研究事業)を受け、実施した研究の成果」、2023年、p47
クローン病に対する狭窄形成術(Heineke-Mikulicz strictureplasty)
腸管切除を行うことなく、狭窄が解除される。
出典
1:
厚生労働科学研究費補助金 難治性疾患政策研究事業「難治性炎症性腸管障害に関する調査研究」(久松班):潰瘍性大腸炎・クローン病 診断基準・治療指針(令和6年度 改訂版)(令和7年3月31日)、p50([http://ibdjapan.org/] を加工して利用)
Seton法(drainage seton)の基本的な手技
a:肛門管内にprimary lesion(クローン病による原発性病変)をもつ低位筋間、坐骨直腸窩痔瘻
b:瘻管、膿瘍腔を掻爬後にprimary lesionと2次口間、および2次口と2次口間にseton(シートン)をゆるく挿入する。
<注>Primary lesion(クローン病による原発性病変)が明らかでない痔瘻症例では2次口間のみにseton(シートン)を挿入する。
出典
1:
厚生労働科学研究費補助金 難治性疾患政策研究事業「難治性炎症性腸管障害に関する調査研究」(久松班):潰瘍性大腸炎・クローン病 診断基準・治療指針(令和6年度 改訂版)(令和7年3月31日)、p53([http://ibdjapan.org/] を加工して利用)
IOIBDスコア
1項目1点とする。
出典
1:
難病情報センター:クローン病(指定難病96)(平成29年4月24日), 重症度分類. [http://www.nanbyou.or.jp/entry/219 クローン病(指定難病96)]
バルーン内視鏡検査における小腸病変
回腸に縦走配列するアフタ様潰瘍を認める。
出典
1:
東京医科歯科大学 消化器内科 竹中健人 先生よりご提供
CTエンテログラフィーによる小腸病変
小腸・大腸型クローン病。
A. CT enterography(CTE)冠状断像。
B. CTE横断像。回腸末端部~上行結腸にかけて縦走潰瘍が形成され、同部位は腸管壁は強く造影され、直線化と層状化が認められる(黄矢頭)。さらに、口側の回腸に強い炎症部位では腸間膜直細動脈の拡張像(comb sign、白矢頭)とtarget sign(黄矢印)を認める。
C. 回腸末端部内視鏡像。縦走潰瘍を認める。
出典
1:
難治性炎症性腸管障害に関する調査研究(久松班):一目でわかるIBD 炎症性腸疾患を診察されている先生方へ(第四版) 「令和4年度において、厚生労働科学研究費補助(難治性疾患等政策研究事業(難治性疾患政策研究事業)を受け、実施した研究の成果」、2023年、P29
免疫抑制・化学療法により発症するB型肝炎対策ガイドライン
補足:血液悪性疾患に対する強力な化学療法中あるいは終了後に、HBs抗原陽性あるいはHBs抗原陰性例の一部においてHBV再活性化によりB型肝炎が発症し、その中には劇症化する症例があり、注意が必要である。また、血液悪性疾患または固形癌に対する通常の化学療法およびリウマチ性疾患・膠原病などの自己免疫疾患に対する免疫抑制療法においてもHBV再活性化のリスクを考慮して対応する必要がある。通常の化学療法および免疫抑制療法においては、HBV再活性化、肝炎の発症、劇症化の頻度は明らかでなく、ガイドラインに関するエビデンスは十分ではない。また、核酸アナログ投与による劇症化予防効果を完全に保証するものではない。
注1)免疫抑制・化学療法前に、HBVキャリアおよび既往感染者をスクリーニングする。HBs抗原、HBc抗体およびHBs抗体を測定し、HBs抗原が陽性のキャリアか、HBs抗原が陰性でHBs抗体、HBc抗体のいずれか、あるいは両者が陽性の既往感染かを判断する。HBs抗原・HBc抗体およびHBs抗体の測定は、高感度の測定法を用いて検査することが望ましい。また、HBs抗体単独陽性(HBs抗原陰性かつHBc抗体陰性)例においても、HBV再活性化は報告されており、ワクチン接種歴が明らかである場合を除き、ガイドラインに従った対応が望ましい。
注2)HBs抗原陽性例は肝臓専門医にコンサルトすること。また、すべての症例において核酸アナログの投与開始ならびに終了にあたって肝臓専門医にコンサルトするのが望ましい。
注3)初回化学療法開始時にHBc抗体、HBs抗体未測定の再治療例およびすでに免疫抑制療法が開始されている例では、抗体価が低下している場合があり、HBV DNA定量検査などによる精査が望ましい。
注4)既往感染者の場合は、リアルタイムPCR法によりHBV DNAをスクリーニングする。
注5)
a.リツキシマブ・オビヌツズマブ(±ステロイド)、フルダラビンを用いる化学療法および造血幹細胞移植:既往感染者からのHBV再活性化の高リスクであり、注意が必要である。治療中および治 療終了後少なくとも12カ月の間、HBV DNAを月1回モニタリングする。造血幹細胞移植例は、移植後長期間のモニタリングが必要である。
b.通常の化学療法および免疫作用を有する分子標的治療薬を併用する場合:頻度は少ないながら、HBV再活性化のリスクがある。HBV DNA量のモニタリングは1~3カ月ごとを目安とし、治療内容を考慮して間隔および期間を検討する。血液悪性疾患においては慎重な対応が望ましい。
c.副腎皮質ステロイド薬、免疫抑制薬、免疫抑制作用あるいは免疫修飾作用を有する分子標的治療薬による免疫抑制療法:HBV再活性化のリスクがある。免疫抑制療法では、治療開始後および治療内容の変更後(中止を含む)少なくとも6カ月間は、月1回のHBV DNA量のモニタリングが望ましい。なお、6カ月以降は3カ月ごとのHBV DNA量測定を推奨するが、治療内容に応じて迅速診断に対応可能な高感度HBs抗原測定(感度0.005 IU/mL)あるいは高感度 HB コア関連抗原測定(感度 2.1 log U/mL)で代用することは可能である。
注6)免疫抑制・化学療法を開始する前、できるだけ早期に核酸アナログ投与を開始する。ことに、ウイルス量が多いHBs抗原陽性例においては、核酸アナログ予防投与中であっても劇症肝炎による死亡例が報告されており、免疫抑制・化学療法を開始する前にウイルス量を低下させておくことが望ましい。
注7)免疫抑制・化学療法中あるいは治療終了後に、HBV DNA量が20 IU/mL(1.3 LogIU/mL)以上になった時点でただちに核酸アナログ投与を開始する(20 IU/mL未満陽性の場合は、別のポイントでの再検査を推奨する)。また、高感度HBs抗原モニタリングにおいて1 IU/mL未満陽性(低値陽性)あるいは高感度 HB コア関連抗原陽性の場合は、HBV DNAを追加測定して20 IU/mL以上であることを確認したうえで核酸アナログ投与を開始する。免疫抑制・化学療法中の場合、免疫抑制薬や免疫抑制作用のある抗腫瘍薬はただちに投与を中止するのではなく、対応を肝臓専門医と相談する。
注8)核酸アナログは薬剤耐性の少ないETV、TDF、TAFの使用を推奨する。
注9)下記の①か②の条件を満たす場合には核酸アナログ投与の終了が可能であるが、その決定については肝臓専門医と相談したうえで行う。
①スクリーニング時にHBs抗原陽性だった症例では、B型慢性肝炎における核酸アナログ投与終了基準を満たしていること。
②スクリーニング時にHBc抗体陽性またはHBs抗体陽性だった症例では、(1)免疫抑制・化学療法終了後、少なくとも12カ月間は投与を継続すること。(2)この継続期間中にALT(GPT)が正常化していること(ただしHBV以外にALT異常の原因がある場合は除く)。(3)この継続期間中にHBV DNA が持続陰性化していること。(4)HBs抗原およびHBコア関連抗原も持続陰性化することが望ましい。
注10)核酸アナログ投与終了後少なくとも12カ月間は、HBV DNAモニタリングを含めて厳重に経過観察する。経過観察方法は各核酸アナログの使用上の注意に基づく。経過観察中にHBV DNA量が20 IU/mL(1.3 LogIU/mL)以上になった時点でただちに投与を再開する。
出典
1:
日本肝臓学会 肝炎診療ガイドライン作成委員会 編「B型肝炎治療ガイドライン(第4版)」2022年6月,P98-100 https://www.jsh.or.jp/medical/guidelines/jsh_guidlines/hepatitis_b.html(2023年6月参照)
ステロイド性骨粗鬆症の管理と治療ガイドライン:2014年改訂版
出典
1:
日本骨代謝学会:[http://jsbmr.umin.jp/guide/pdf/gioguideline.pdf ステロイド性骨粗鬆症の管理と治療のガイドライン 2014年改訂版]
腸管エコーにおける小腸病変
終末回腸に壁肥厚と狭窄を認める。
出典
1:
難治性炎症性腸管障害に関する調査研究(久松班):一目でわかるIBD 炎症性腸疾患を診察されている先生方へ(第四版) 「令和4年度において、厚生労働科学研究費補助(難治性疾患等政策研究事業(難治性疾患政策研究事業)を受け、実施した研究の成果」、2023年、P30
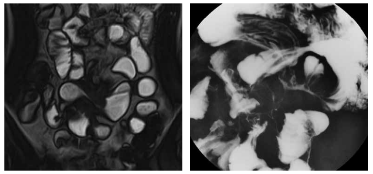
MRエンテログラフィー 1
縦走潰瘍。弧状変形を伴い、腸間膜の脈管は増強されcomb signを呈している。造影では縦走潰瘍部が増強されている。
出典
1:
難治性炎症性腸管障害に関する調査研究(久松班):一目でわかるIBD 炎症性腸疾患を診察されている先生方へ(第四版) 「令和4年度において、厚生労働科学研究費補助(難治性疾患等政策研究事業(難治性疾患政策研究事業)を受け、実施した研究の成果」、2023年、P30
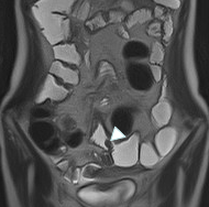
MRエンテログラフィー 2
腸管壁の肥厚と口側拡張を伴った狭窄を認める。
出典
1:
難治性炎症性腸管障害に関する調査研究班編:一目でわかるIBD(第二版)、2015年
MRエンテログラフィー 3
腸管腸管ろう(小腸造影検査との比較)を認める。
出典
1:
難治性炎症性腸管障害に関する調査研究(久松班):一目でわかるIBD 炎症性腸疾患を診察されている先生方へ(第四版) 「令和4年度において、厚生労働科学研究費補助(難治性疾患等政策研究事業(難治性疾患政策研究事業)を受け、実施した研究の成果」、2023年、P29
令和6年度クローン病治療指針(内科)
出典
1:
厚生労働科学研究費補助金 難治性疾患政策研究事業「難治性炎症性腸管障害に関する調査研究」(久松班):潰瘍性大腸炎・クローン病 診断基準・治療指針(令和6年度 改訂版)(令和7年3月31日)、p43([http://ibdjapan.org/] を加工して利用)
クローン病治療フローチャート
出典
1:
厚生労働科学研究費補助金 難治性疾患政策研究事業「難治性炎症性腸管障害に関する調査研究」(久松班):潰瘍性大腸炎・クローン病 診断基準・治療指針(令和6年度 改訂版)(令和7年3月31日)、p44([http://ibdjapan.org/] を加工して利用)
クローン病肛門病変診療フローチャート
出典
1:
厚生労働科学研究費補助金 難治性疾患政策研究事業「難治性炎症性腸管障害に関する調査研究」(久松班):潰瘍性大腸炎・クローン病 診断基準・治療指針(令和6年度 改訂版)(令和7年3月31日)、p45([http://ibdjapan.org/] を加工して利用)