Now processing ... 
 Now searching ... 
 Now loading ... 

Hinchey分類

Stage I:結腸周囲、腸間膜に限局した小さな膿瘍を認める。
Stage II:骨盤にまで及ぶ大きな膿瘍を認める
Stage III:憩室が穿孔するが、膿瘍は憩室周囲に限局している。
Stage IV:憩室が穿孔し、膿瘍が腹腔内や腸管内容物が腹腔内にまで及び、重篤な腹膜炎の状態である。
出典
imgimg
1: Clinical practice. Diverticulitis.
N Engl J Med. 2007 Nov 15;357(20):2057-66. doi: 10.1056/NEJMcp073228.

下部消化管出血に対する各検査の診断精度

下部消化管出血の診断には、さまざまな検査法がある。なかでも下部消化管内視鏡は診断精度が高く、診断と同時に治療も行うことができる。
 
参考文献:
  1. Lhewa,D.Y.World J.Gastroenterol2012;18:1185-90 PMID: 22468081
  1. Angtuaco,T.L.Am.J.Gastroenterol 2001;96:1782-5 PMID: 11419829
  1. Jensen,D.MN.Engl.J.Med 2000:342;78-82 PMID: 10631275
  1. Green,B.T.Am.J.Gastroenterol2005;100:2395-2402 PMID: 16279891
  1. Bloomfeld,R.S.;Am.J.Gastroenterol2001:96:2367-2372 PMID: 11513176
  1. Richter,J.M.Gastrointest.Endosc1995;41:93-8 PMID: 7721024
  1. Colacchio,T.A.Am.J.Surg1982;143:607-10 PMID: 6979266
  1. l Qahtani,A.R.World J.Surg2002;26:620-5 PMID: 12098057
  1. Browder,W.Ann.Surg1986;204:530-6 PMID: 3094466
  1. Cohn,S.M.Arch.Surg1998; 133:50-55 PMID: 9438759
  1. Silver,A.Am.J.Surg2005;189:361-3 PMID: 15792770
  1. Kuo,W.T.J.Vasc.Interv.Radiol2003;14:1503-9 PMID: 14654483
  1. Burgess,A.N.ANZ J.Surg2004;74:635-8 PMID: 15315561
  1. Funaki,B.AJR Am.J.Roentgenol2001;177:829-36 PMID: 11566683
  1. Alavi,AAJR Am.J.Roentgenol 1981;137:741-8 PMID: 6974970
  1. Czymek,R.J.Gastrointest.Surg 2008;12:2212-20 PMID: 18636299
  1. Brunnler,T.World J.Gastroenterol 2008;14:5015-19 PMID: 18763283
  1. Zink,S.I.;AJR Am.J.Roentgenol 2008;191:1107-1114 PMID: 18806152
  1. Jaeckle,T.Eur.Radiol 2008;18:1406-1413 PMID: 18351347
  1. Yoon,W.Radiology 2006;239:160-7 PMID: 16484350
出典
img
1: 著者提供

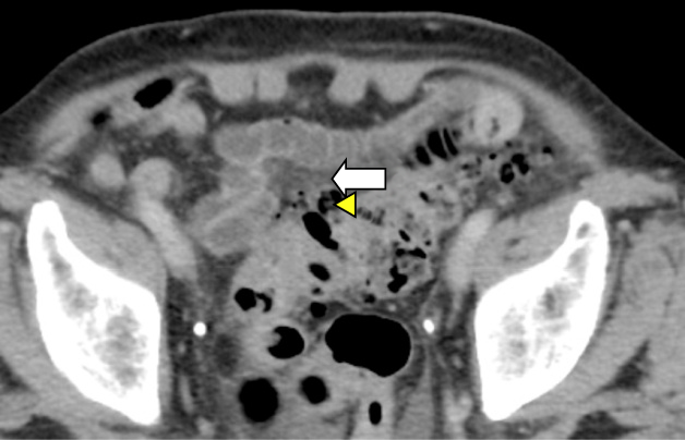
大腸憩室炎のCT画像

S状結腸に多発する憩室(矢頭)と、結腸周囲の壁肥厚と脂肪織の炎症を認める。憩室炎の炎症が近傍の小腸にまで及んでいる(矢印)(Hinchey Stage I)。
出典
img
1: 著者提供

大腸憩室出血の内視鏡画像

憩室内のdomeとneckの解剖(a)、neckの血管からの活動性出血(b)、domeの血管からの活動性出血(c)。
憩室内のneckに活動性出血を認め(d)、neckの血管に対して直接クリップ法にて止血処置を行った(e、f)。止血後(g)。
憩室内のdomeに活動性出血を認め(h)、domeの血管に対して間接クリップ法にて止血処置を行った(i、j)、止血後(k)。
憩室内のdomeに活動性出血を認め(l)、出血している憩室の近傍にマーキングのためのクリップをうち(m)、出血憩室に対してband ligationにて止血処置を行った(n)、止血後、反転した隆起した憩室に露出血管が同定された(o、矢印)。
出典
imgimg
1: A multicenter, randomized controlled trial comparing the identification rate of stigmata of recent hemorrhage and rebleeding rate between early and elective colonoscopy in outpatient-onset acute lower gastrointestinal bleeding: study protocol for a randomized controlled trial.
著者: Niikura R, Nagata N, Yamada A, Doyama H, Shiratori Y, Nishida T, Kiyotoki S, Yada T, Fujita T, Sumiyoshi T, Hasatani K, Mikami T, Honda T, Mabe K, Hara K, Yamamoto K, Takeda M, Takata M, Tanaka M, Shinozaki T, Fujishiro M, Koike K.
雑誌名: Trials. 2018 Apr 3;19(1):214. doi: 10.1186/s13063-018-2558-y. Epub 2018 Apr 3.
Abstract/Text: BACKGROUND: The clinical benefit of early colonoscopy within 24 h of arrival in patients with severe acute lower gastrointestinal bleeding (ALGIB) remains controversial. This trial will compare early colonoscopy (performed within 24 h) versus elective colonoscopy (performed between 24 and 96 h) to examine the identification rate of stigmata of recent hemorrhage (SRH) in ALGIB patients. We hypothesize that, compared with elective colonoscopy, early colonoscopy increases the identification of SRH and subsequently improves clinical outcomes.
METHODS: This trial is an investigator-initiated, multicenter, randomized, open-label, parallel-group trial examining the superiority of early colonoscopy over elective colonoscopy (standard therapy) in ALGIB patients. The primary outcome measure is the identification of SRH. Secondary outcomes include 30-day rebleeding, success of endoscopic treatment, need for additional endoscopic examination, need for interventional radiology, need for surgery, need for transfusion during hospitalization, length of stay, 30-day thrombotic events, 30-day mortality, preparation-related adverse events, and colonoscopy-related adverse events. The sample size will enable detection of a 9% SRH rate in elective colonoscopy patients and a SRH rate of ≥ 26% in early colonoscopy patients with a risk of type I error of 5% and a power of 80%.
DISCUSSION: This trial will provide high-quality data on the benefits and risks of early colonoscopy in ALGIB patients.
TRIAL REGISTRATION: UMIN-CTR Identifier, UMIN000021129 . Registered on 21 February 2016; ClinicalTrials.gov Identifier, NCT03098173 . Registered on 24 March 2017.
Trials. 2018 Apr 3;19(1):214. doi: 10.1186/s13063-018-2558-y. Epub 201...

大腸憩室出血と下部消化管出血の治療に関する臨床研究

各治療法における再出血率と死亡率を示す。
 
参考文献:
  1. W. Browder, E.J. Cerise, M.S. Litwin, Impact of emergency angiography in massive lower gastrointestinal bleeding, Ann. Surg. 204 (1986) 530-536. PMID:3094466
  1. V. Setya, J.A. Singer, S.L. Minken, Subtotal colectomy as a last resort for unrelenting, unlocalized, lower gastrointestinal hemorrhage: experience with 12 cases, Am. Surg. 58 (1992) 295-299. PMID: 1622010
  1. H.H. McGuire Jr, Bleeding colonic diverticula. A reappraisal of natural history and management, Ann. Surg. 220 (1994) 653-656. PMID: 7979613.
  1. D.M. Jensen, G.A. Machicado, R. Jutabha, T.O. Kovacs, Urgent colonoscopy for the diagnosis and treatment of severe diverticular hemorrhage, N. Engl. J. Med. 342 (2000) 78-82. PMID: 10631275
  1. A. Khanna, S.J. Ognibene, L.G. Koniaris, Embolization as first-line therapy for diverticulosis-related massive lower gastrointestinal bleeding: evidence from a meta-analysis, J. Gastrointest. Surg. 9 (2005) 343-352. PMID:15749594
  1. T. Kaltenbach, R. Watson, J. Shah, S. Friedland, T. Sato, A. Shergill, K. McQuaid, R. Soetikno, Colonoscopy with clipping is useful in the diagnosis and treatment of diverticular bleeding, Clin. Gastroenterol. Hepatol. 10 (2012) 131-137. PMID: 22056302.
  1. N. Ishii, T. Setoyama, G.A. Deshpande, F. Omata, M. Matsuda, S. Suzuki, M. Uemura, Y. Iizuka, K. Fukuda, K. Suzuki, Y. Fujita, Endoscopic band ligation for colonic diverticular hemorrhage, Gastrointest. Endosc. 75 (2012) 382-387. PMID: 21944311
出典
img
1: 著者提供

大腸憩室出血における累積再出血率

大腸憩室出血の再出血率は6カ月で18%、1年で23%にも及ぶ。
出典
imgimg
1: Recurrence of colonic diverticular bleeding and associated risk factors.
著者: Niikura R, Nagata N, Yamada A, Akiyama J, Shimbo T, Uemura N.
雑誌名: Colorectal Dis. 2012 Mar;14(3):302-5. doi: 10.1111/j.1463-1318.2011.02611.x.
Abstract/Text: AIM: Colonic diverticular bleeding often recurs, but the risk factors remain unclear. Our aim was to identify risk factors for recurrence in patients with diverticular bleeding.
METHOD: Seventy-two hospitalized patients who were diagnosed with diverticular bleeding between 2004 and 2008 were analyzed. Rebleeding was considered as the main outcome measure, with the duration until recurrence identified from medical records. Potential risk factors for rebleeding, such as underlying pathologies, medication and smoking and drinking habits, were investigated from the medical records on initial admission.
RESULTS: Of the 72 patients, 19 had a diverticular disease on the right, 16 on the left side and 37 on both sides of the colon. Recurrence was identified in 27 (38%) patients at a median interval of 1535 days. The cumulative incidence of rebleeding at 6, 12 and 24 months was 15%, 20% and 33%. Multivariate analysis revealed nonsteroid anti-inflammatory drugs (NSAIDs) (hazard ratio (HR), 2.57; 95% confidence interval (CI), 0.89-7.46; P=0.08), antiplatelet drugs (HR, 2.39; 95% CI, 1.01-5.67; P=0.05) and hypertension (HR, 4.16; 95% CI, 1.22-14.2; P=0.02) to be risk factors for rebleeding.
CONCLUSION: Patients with colonic diverticular bleeding show high recurrence rates within a short period. Risk factors for recurrence have been identified as the use of NSAIDs or antiplatelet drugs and hypertension.

© 2011 The Authors. Colorectal Disease © 2011 The Association of Coloproctology of Great Britain and Ireland.
Colorectal Dis. 2012 Mar;14(3):302-5. doi: 10.1111/j.1463-1318.2011.02...

大腸憩室炎のCT画像

上行結腸憩室炎、Hinchey Stage I(a)、(a)の冠状断画像(b)
上行結腸憩室炎、Hinchey Stage I(c)、(c)の冠状断画像(d)
S状結腸憩室炎、Hinchey Stage III(e)、(e)の冠状断画像(f)
S状結腸憩室炎、Hinchey Stage II(g)、(g)の冠状断画像(h)
出典
img
1: 著者提供

大腸憩室出血の内視鏡画像:憩室内のneckの血管からの活動性出血

出典
img
1: 著者提供

大腸憩室出血の下部消化管内視鏡画像

上行結腸の憩室内にSRHと多量の凝血塊を認める。
出典
img
1: 著者提供

Oaklandスコア

出典
img
1: Oakland K, et al. Derivation and validation of a novel risk score for safe discharge after acute lower gastrointestinal bleeding: a modelling study. Lancet Gastroenterol Hepatol. 2017 Sep;2(9):635-643. Table2,3.

NOBLADSスコア

出典
img
1: Aoki T, et al. Development and Validation of a Risk Scoring System for Severe Acute Lower Gastrointestinal Bleeding. Clin Gastroenterol Hepatol. 2016 Nov;14(11):1562-1570.e2.

大腸憩室出血の症例:バンド結紮術前後の内視鏡画像

出典
img
1: 著者提供

大腸憩室疾患と抗血栓薬との関連

アスピリン、NSAIDsは大腸憩室出血のリスク因子となる可能性が高い。
 
参考文献:
  1. Wilson RG, Smith AN, Macintyre IM. Complications of diverticular disease and non-steroidal anti-inflammatory drugs: a prospective study. Br J Surg 77: 1103-4, 1990.PMID: 2121310
  1. Campbell K, Steele RJ. Non-steroidal anti-inflammatory drugs and complicated diverticular disease: a case-control study. Br J Surg 78: 190-1, 1991.PMID: 2015469
  1. Foutch PG.Diverticular bleeding: are nonsteroidal anti-inflammatory drugs risk factors for hemorrhage and can colonoscopy predict outcome for patients?Am J Gastroenterol. 90:1779-84, 1995.PMID: 7572894
  1. Strate LL, Liu YL, Huang ES, Giovannucci EL, Chan AT.Use of aspirin or nonsteroidal anti-inflammatory drugs increases risk for diverticulitis and diverticular bleeding.Gastroenterology.2011 May;140(5):1427-33. PMID: 21320500
  1. AldooriWH,Giovannucci EL,RimmEB, et al. Use of acetaminophen and nonsteroidal anti-inflammatory drugs: a prospective study and the risk of symptomatic diverticular disease in men. Arch Fam Med 1998: 255–60, 1998.
  1. Jansen A, Harenberg S, Grenda U, et al. Risk factors for colonic diverticular bleeding: a Westernized community based hospital study. World J Gastroenterol. 28: 457-61, 2009.PMID: 9596460
  1. Niikura R, Nagata N, Akiyama J, Shimbo T, Uemura N.Hypertension and concomitant arteriosclerotic diseases are risk factors for colonic diverticular bleeding: a case-control study.Int J Colorectal Dis. 2012 Feb 22. [Epub ahead of print]PMID: 22354135
  1. Yamada A, Sugimoto T, Kondo S, et al. Assessment of the risk factors for colonic diverticular hemorrhage. Dis Colon Rectum. 51:116-20, 2008.MID: 18085336
出典
img
1: 著者提供

大腸憩室炎の診断アルゴリズム

出典
img
1: 著者提供

大腸憩室出血の診断アルゴリズム

出典
img
1: 著者提供

大腸憩室出血の治療アルゴリズム

大腸憩室出血の内視鏡治療を行うためには、SRHの同定が重要である。
出典
img
1: 日本消化管学会雑誌1(suppl):1-52、2017、p4 Fig1