Now processing ... 
 Now searching ... 
 Now loading ... 

門脈圧亢進症に伴う側副血行路

門脈圧亢進症に伴って形成される側副血行路を示している。食道静脈瘤は奇静脈系短絡路、胃静脈瘤は腎静脈系短絡路において形成される。
出典
img
1: 日本門脈圧亢進症学会編:門脈圧亢進症取扱い規約 改訂第4版.金原出版、2022.

正常な食道と食道静脈瘤の内視鏡所見

a: 正常の下部食道。表面は平滑で、柵状血管を認める。ほかb、c、dの静脈瘤症例と比較していただきたい。
b: F1レベル(軽症)の静脈瘤を認める。
c: 下部食道に数珠状に拡張した血管を認める。
d: 下部食道に数珠状に拡張した血管を認める。高度の食道静脈瘤。
出典
img
1: 著者提供

胃静脈瘤の内視鏡所見

胃噴門部から穹窿部に結節状の血管拡張を認める。
出典
img
1: 著者提供

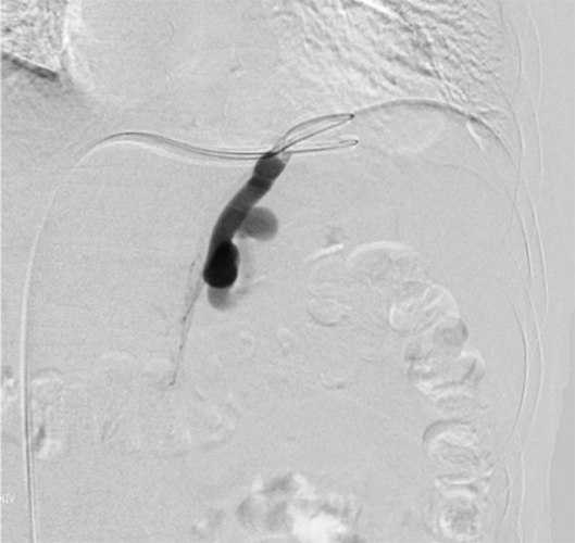
経皮経肝門脈造影

門脈および供血路、食道静脈瘤が描出されている。
出典
img
1: 著者提供

食道・胃静脈瘤内視鏡所見記載基準

食道静脈瘤では占居部位、形態、色調、発赤所見、出血所見、粘膜所見が規定されている。胃静脈瘤も食道静脈瘤に準じた記載を行う。
出典
img
1: 日本門脈圧亢進症学会編:門脈圧亢進症取扱い規約 改訂第4版.金原出版.2022;84-118.

Child-Pugh分類

肝機能障害の程度を示す指標として用いられる。
出典
img
1: 日本門脈圧亢進症学会編:門脈圧亢進症取扱い規約 改訂第4版.金原出版2022;52.

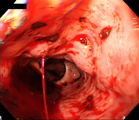
内視鏡的硬化療法(EIS)

静脈瘤を穿刺し、硬化剤を注入している。
出典
img
1: 著者提供

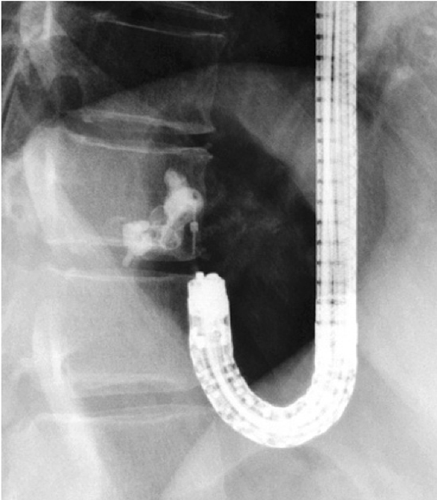
内視鏡的静脈瘤造影(endoscopic varicealography during injection sclerotherapy:EVIS)

内視鏡的硬化療法(EIS)(図[ID0608])のX線透視像。硬化剤が供血路に逆行性に注入されている。
出典
img
1: 著者提供

食道・胃静脈瘤の内視鏡所見

a:食道では数珠状に拡張した血管を認める。
b:胃噴門部・穹窿部では結節状の血管を認める。
出典
img
1: 著者提供

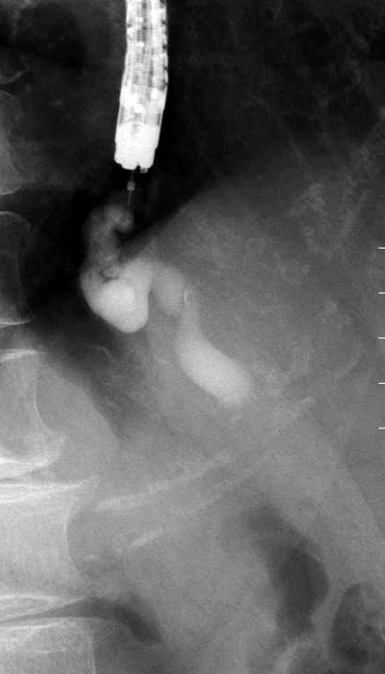
内視鏡的静脈瘤造影(endoscopic varicealography during injection sclerotherapy:EVIS)

内視鏡的硬化療法(EIS)のX線透視像。
出典
img
1: 著者提供

内視鏡的静脈瘤結紮術(EVL)

出典
img
1: 著者提供

内視鏡的塞栓術

出典
img
1: 著者提供

バルーン閉塞下逆行性経静脈的塞栓術(B-RTO)

出典
img
1: 著者提供

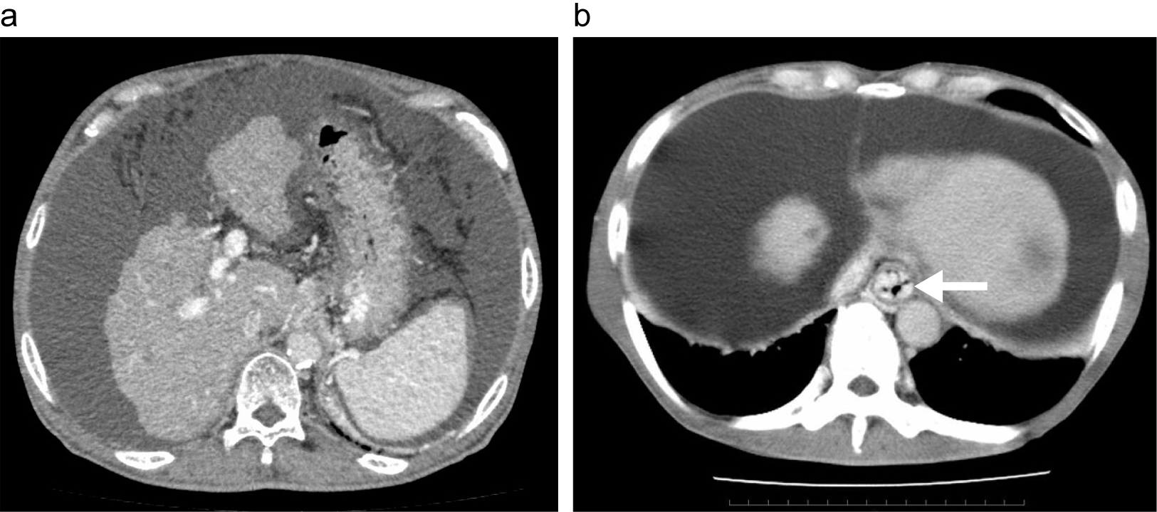
腹部CT(造影)

a: 典型的な肝硬変、門脈圧亢進症のCT。肝萎縮、表面凹凸、脾腫、多量の腹水を認める。
b: 下部食道の内腔に造影される静脈瘤を認める(矢印)。多量の腹水を認める。
出典
img
1: 著者提供

3D-CT angiography

Volume rendering法による。門脈、食道・胃静脈瘤が明瞭に描出できる。特に胃静脈瘤の診断に有用である。
出典
img
1: 著者提供

超音波内視鏡検査

a: 12MHzでの観察。食道内腔に静脈瘤、壁外に傍食道静脈を認める。
b: 12MHzでの観察。壁外に発達した傍食道静脈を認める。
出典
img
1: 著者提供

食道静脈瘤出血の内視鏡所見

下部食道から噴出性出血を認める。
出典
img
1: 著者提供

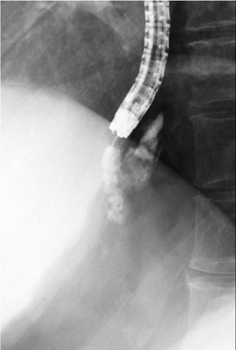
Histoacrylを用いた内視鏡的塞栓療法

a: 内視鏡的塞栓療法の内視鏡像。胃穹窿部の静脈瘤を穿刺し、Lipiodol添加 Histoacrylを注入している。
b: 内視鏡的塞栓療法後のエックス線写真。左上腹部にLipiodol添加 Histoacrylが停滞している。
出典
img
1: 著者提供

症例画像1:内視鏡、超音波内視鏡像

a: 内視鏡画像
b: 超音波内視鏡像
出典
img
1: 著者提供

症例画像2:3D-CT angiography(volume rendering法)

出典
img
1: 著者提供

MR angiography

Maximum intensity projection(MIP)法による。門脈および脾静脈が描出されている。
出典
img
1: 著者提供

超音波マイクロプローブ(UMP)で観察したときの食道静脈瘤と食道壁周囲の血管構造を示した模式図

参考文献:
Irisawa A, Obara K, Sato Y, Saito A, Takiguchi F, Shishido H, Sakamoto H, Kasukawa R.EUS analysis of collateral veins inside and outside the esophageal wall in portal hypertension.Gastrointest Endosc. 1999 Sep;50(3):374-80. PMID: 10462659.

3D-CT angiographyのMIP法

Maximum intensity projection(MIP)法による。左胃静脈から分岐し、胸部に至る太い静脈瘤を認める。
出典
img
1: 著者提供

食道静脈瘤治療のアルゴリズム

出典
img
1: 小原勝敏、豊永 純、國分茂博:食道・胃静脈瘤内視鏡治療ガイドライン.日本消化器内視鏡学会卒後教育委員会責任編集:消化器内視鏡ガイドライン 第3版,医学書院2006 ;P.222

胃静脈瘤治療のアルゴリズム

出典
img
1: 小原勝敏、豊永 純、國分茂博:食道・胃静脈瘤内視鏡治療ガイドライン.日本消化器内視鏡学会卒後教育委員会責任編集:消化器内視鏡ガイドライン 第3版,医学書院2006 ;P.222