Now processing ... 
 Now searching ... 
 Now loading ... 

PBC 診断基準(平成27年度)

平成27年度に厚生労働省研究班からPBCの診断基準が改訂された。この診断基準を用いて、PBCの診断を行う。
出典
img
1: 厚生労働省難治性疾患政策研究事業「難治性の肝・胆道疾患に関する調査研究」班:原発性胆汁性胆管炎(PBC)の診療ガイドライン(2023年)、p10、2023.

PBC患者の経過観察項目(いずれも病期に応じて観察間隔は異なる)

観察項目を定期的に測定し、併発する病態把握、合併症の予防、門脈圧亢進症や肝細胞癌などの合併症の早期検出を心がける。
出典
img
1: 厚生労働省難治性疾患政策研究事業「難治性の肝・胆道疾患に関する調査研究」班:原発性胆汁性胆管炎(PBC)の診療ガイドライン(2023年)、p23、2023.

専門医へのコンサルト時期

専門的な判断や治療が必要な場合には肝臓専門医に相談することが望ましい。
出典
img
1: 厚生労働省難治性疾患政策研究事業「難治性の肝・胆道疾患に関する調査研究」班:原発性胆汁性胆管炎(PBC)の診療ガイドライン(2023年)、p24、2023.

Mayo Clinicの予後予測式

PBC の予後予測に使用されている。年齢、血清ビリルビン、アルブミン値、プロトロンビン時間、浮腫の有無、利尿薬の有無からなる予後予測式である。
出典
imgimg
1: Primary biliary cirrhosis: prediction of short-term survival based on repeated patient visits.
著者: Murtaugh PA, Dickson ER, Van Dam GM, Malinchoc M, Grambsch PM, Langworthy AL, Gips CH.
雑誌名: Hepatology. 1994 Jul;20(1 Pt 1):126-34. doi: 10.1016/0270-9139(94)90144-9.
Abstract/Text: The progression of primary biliary cirrhosis was studied in 312 patients who were seen at the Mayo Clinic between January 1974 and May 1984. Follow-up was extended to April 30, 1988, by which time 140 of the patients had died and 29 had undergone orthotopic liver transplantation. These patients generated 1,945 patient visits that enabled us to study the change in the prognostic variables of primary biliary cirrhosis (age, bilirubin value, albumin value, prothrombin time and edema) from the time of referral. Also, using this database and the Cox proportional-hazards regression model, we developed an updated model for primary biliary cirrhosis that can be used to predict short-term survival at any time in the course of the disease. This model uses the values of the prognostic variables measured at the latest patient visit. Comparison of predicted survival from the update model and the natural history model of primary biliary cirrhosis showed that the updated model was superior to the original model for predicting short-term survival. This finding applied to both the Mayo Clinic patients and an independent set of 83 Dutch patients. The Mayo updated model is recommended for improving the accuracy of predictions of survival during the 2 yr after a patient visit.
Hepatology. 1994 Jul;20(1 Pt 1):126-34. doi: 10.1016/0270-9139(94)9014...

日本肝移植適応研究会の予後予測式

Logistic 回帰により得られた回帰式より6か月後の死亡確率を計算して、その値が50%以上の症例を移植適応とする。
出典
img
1: 木幡裕,橋本悦子:原発性胆汁性肝硬変における肝移植の適応.市田文弘編集. 肝移植適応基準.国際医書出版, 1991; 13-25.

Child-Pugh分類(PBC用)

症候性PBCの重症度分類として用いられる。
出典
img
1: 厚生労働省難治性疾患政策研究事業「難治性の肝・胆道疾患に関する調査研究」班:原発性胆汁性胆管炎(PBC)の診療ガイドライン(2023年)、p17、2023.(一部改変)

MELD (model for endstage liver disease)スコア

肝不全の重症度の評価に用いられる。15点以上で移植を推奨
出典
imgimg
1: A model to predict survival in patients with end-stage liver disease.
著者: Kamath PS, Wiesner RH, Malinchoc M, Kremers W, Therneau TM, Kosberg CL, D'Amico G, Dickson ER, Kim WR.
雑誌名: Hepatology. 2001 Feb;33(2):464-70. doi: 10.1053/jhep.2001.22172.
Abstract/Text: A recent mandate emphasizes severity of liver disease to determine priorities in allocating organs for liver transplantation and necessitates a disease severity index based on generalizable, verifiable, and easily obtained variables. The aim of the study was to examine the generalizability of a model previously created to estimate survival of patients undergoing the transjugular intrahepatic portosystemic shunt (TIPS) procedure in patient groups with a broader range of disease severity and etiology. The Model for End-Stage Liver Disease (MELD) consists of serum bilirubin and creatinine levels, International Normalized Ratio (INR) for prothrombin time, and etiology of liver disease. The model's validity was tested in 4 independent data sets, including (1) patients hospitalized for hepatic decompensation (referred to as "hospitalized" patients), (2) ambulatory patients with noncholestatic cirrhosis, (3) patients with primary biliary cirrhosis (PBC), and (4) unselected patients from the 1980s with cirrhosis (referred to as "historical" patients). In these patients, the model's ability to classify patients according to their risk of death was examined using the concordance (c)-statistic. The MELD scale performed well in predicting death within 3 months with a c-statistic of (1) 0.87 for hospitalized patients, (2) 0.80 for noncholestatic ambulatory patients, (3) 0.87 for PBC patients, and (4) 0.78 for historical cirrhotic patients. Individual complications of portal hypertension had minimal impact on the model's prediction (range of improvement in c-statistic: <.01 for spontaneous bacterial peritonitis and variceal hemorrhage to ascites: 0.01-0.03). The MELD scale is a reliable measure of mortality risk in patients with end-stage liver disease and suitable for use as a disease severity index to determine organ allocation priorities.
Hepatology. 2001 Feb;33(2):464-70. doi: 10.1053/jhep.2001.22172.

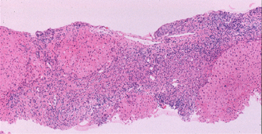
肝生検組織像(1)

門脈域にリンパ球を主体とした単核球細胞浸潤と小葉間胆管の障害像および肉芽腫形成を認める。
出典
img
1: 著者提供

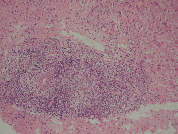
肝生検組織像(2)

線維性隔壁と門脈域に著明なリンパ球浸潤とinterface hepatitis像を認める。
出典
img
1: 著者提供

PBC診断、治療のアルゴリズム

PBC診断、治療方針決定のための手順を示す。
出典
img
1: 厚生労働省難治性疾患政策研究事業「難治性の肝・胆道疾患に関する調査研究」班:原発性胆汁性胆管炎(PBC)の診療ガイドライン(2023年)、p25、2023.