Now processing ... 
 Now searching ... 
 Now loading ... 

ASの胸骨左縁左室短軸像動画(大動脈弁レベル)

大動脈弁の石灰化と開放制限を認める。

ASの心尖部左室長軸像動画(カラードプラ法)

動脈内にモザイク血流を認める。

心エコー検査によるAS重症度評価

超重症の定義はガイドラインによって異なるが、日本循環器学会の弁膜症治療のガイドライン(2020年改訂版)では、表のように示されている。
出典
img
1: 日本循環器学会他編:日本循環器学会/日本胸部外科学会/日本血管外科学会/日本心臓血管外科学会合同ガイドライン 2020年改訂版 弁膜症治療のガイドラインhttps://www.j-circ.or.jp/old/guideline/pdf/JCS2020_Izumi_Eishi.pdf(2020年5月閲覧)班長 泉知里、江石清行、p63, 表30 心エコー検査によるAS重症度評価

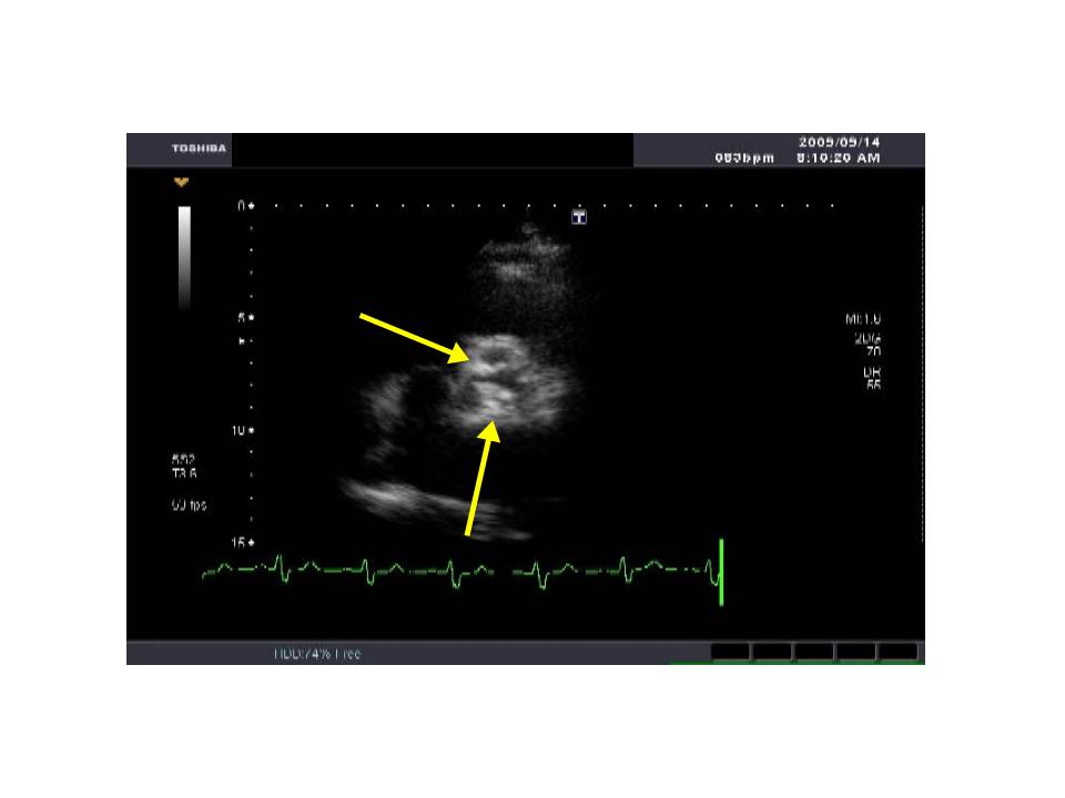
ASの胸骨左縁左室短軸像(大動脈弁レベル)

大動脈弁の石灰化を認める。
出典
img
1: 吉田千佳子先生ご提供

ASの弁写真

3尖とも石灰化を認める。
出典
img
1: 吉田千佳子先生ご提供

TAVRで使用される生体弁

左はEdwards、中央はMedtronic、右はAbbottの製品
出典
img
1: 各社HPより エドワーズライフサイエンス合同会社 https://www.edwards.com/jp  日本メドトロニック株式会社 https://www.medtronic.com/jp-ja/index.html  アボットメディカルジャパン合同会社 https://www.abbott.co.jp/

TAVR(経カテーテル的大動脈弁置換術)

出典
img
1: 編集部作成

TAVR(経カテーテル的大動脈弁置換術)の実際

出典
img
1: 吉田千佳子先生ご提供

重症ASの経胸壁心エコー(TTE)

出典
img
1: 著者提供

二尖弁に伴う重症ASの1例

出典
img
1: 著者提供

ASに対する検査の推奨とエビデンスレベル

出典
img
1: 日本循環器学会:2021年改訂版 循環器超音波検査の適応と判読ガイドラインhttps://www.j-circ.or.jp/cms/wp-content/uploads/2021/03/JCS2021_Ohte.pdf(2023年2月閲覧)p45 表26日本循環器学会他編:日本循環器学会/日本胸部外科学会/日本血管外科学会/日本心臓血管外科学会合同ガイドライン 2020年改訂版 弁膜症治療のガイドラインより改変

成人におけるIEの基礎心疾患別リスクと、歯科口腔外科手技に際する予防的抗菌薬投与の推奨とエビデンスレベル

歯口手技に際して感染性心内膜炎(infective endocarditis:IE)予防のために抗菌薬投与が推奨される心疾患を示す。
出典
img
1: 日本循環器学会他編:感染性心内膜炎の予防と治療に関するガイドライン(2017 年改訂版)、http://www.j-circ.or.jp/guideline/pdf/JCS2017_nakatani_h.pdf(2018年11月閲覧) 班長 中谷敏、p49、表23、成人におけるIE の基礎心疾患別リスクと,歯科口腔外科手技に際する予防的抗菌薬投与の推奨とエビデンスレベル

IE高リスク患者における、各手技と予防的抗菌薬投与に関する推奨とエビデンスレベル

感染性心内膜炎が発症するには、ある一定時間、感染性心内膜炎を来し得る病原微生物の菌血症が持続することが必要であるといわれている。ハイリスク患者に、菌血症を誘発し得る手技を実施する場合には、抗菌薬の予防投与が推奨されている。どのような手技が、感染性心内膜炎予防としての抗菌薬投与の対象となるかを示している。
出典
img
1: 日本循環器学会他編:感染性心内膜炎の予防と治療に関するガイドライン(2017 年改訂版)、http://www.j-circ.or.jp/guideline/pdf/JCS2017_nakatani_h.pdf(2018年11月閲覧) 班長 中谷敏、p52、表24、IE 高リスク患者における、各手技と予防的抗菌薬投与に関する推奨とエビデンスレベル

歯科処置前の抗菌薬の標準的予防投与法(成人)

抗菌薬による感染性心内膜炎予防は、十分は科学的根拠に基づくというよりも、いかに医療従事者あるいは対象となる患者に対して、疾患について周知普及させるかということに重点が置かれるべきである。一律の投与量を設定することが、疾患の知識の普及に有用であるという考えに基づき対象別の抗菌薬投与方法が示されている。
出典
img
1: 日本循環器学会他編:感染性心内膜炎の予防と治療に関するガイドライン(2017 年改訂版)、http://www.j-circ.or.jp/guideline/pdf/JCS2017_nakatani_h.pdf(2018年11月閲覧)班長 中谷敏、p55、表26、歯科処置前の抗菌薬の標準的予防投与法(成人)

ASのステージ分類

出典
imgimg
1: 2020 ACC/AHA Guideline for the Management of Patients With Valvular Heart Disease: A Report of the American College of Cardiology/American Heart Association Joint Committee on Clinical Practice Guidelines.
Circulation. 2021 Feb 2;143(5):e72-e227. doi: 10.1161/CIR.0000000000000923. Epub 2020 Dec 17.

重症ASの手術適応

出典
img
1: 日本循環器学会/日本胸部外科学会/日本血管外科学会/日本心臓血管外科学会.2020年改訂版弁膜症治療のガイドライン.https://www.j-circ.or.jp/cms/wp-content/uploads/2020/04/JCS2020_Izumi_Eishi.pdf.2025年11月閲覧

ASに対する手術適応の推奨とエビデンスレベル

出典
img
1: 日本循環器学会他編:日本循環器学会/日本胸部外科学会/日本血管外科学会/日本心臓血管外科学会合同ガイドライン 2020年改訂版 弁膜症治療のガイドラインhttps://www.j-circ.or.jp/old/guideline/pdf/JCS2020_Izumi_Eishi.pdf(2020年5月閲覧)班長 泉知里、江石清行、p68, 表32 ASに対する手術適応の推奨とエビデンスレベル

ASの重症度評価

出典
img
1: 日本循環器学会他編:日本循環器学会/日本胸部外科学会/日本血管外科学会/日本心臓血管外科学会合同ガイドライン 2020年改訂版 弁膜症治療のガイドラインhttps://www.j-circ.or.jp/old/guideline/pdf/JCS2020_Izumi_Eishi.pdf(2020年5月閲覧)班長 泉知里、江石清行、p65, 図16 ASの重症度評価