Now processing ... 
 Now searching ... 
 Now loading ... 

腹部エコー、左水腎症

尿路結石に伴う尿路閉塞により左水腎症が認められた。また腎下極周囲の脂肪織にもモザイク状の所見がみられ、腎周囲への炎症の波及が疑われた。
出典
img
1: 著者提供

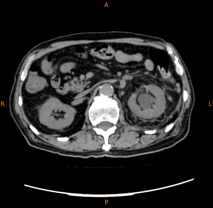
腹部単純CT、左水腎症、左腎周囲炎

左水腎症がみられ、腎周囲脂肪織に炎症が波及した所見がみられるが、膿瘍形成はみられなかった。左腎周囲炎と診断された。
出典
img
1: 著者提供

急性腎盂腎炎診断・治療のアルゴリズム

出典
img
1: 著者提供