Now processing ... 
 Now searching ... 
 Now loading ... 

肺高血圧の臨床分類

出典
imgimg
1: 2022 ESC/ERS Guidelines for the diagnosis and treatment of pulmonary hypertension.
Eur Heart J. 2022 Oct 11;43(38):3618-3731. doi: 10.1093/eurheartj/ehac237.

MRC質問票

日常生活に対する呼吸困難(息切れ)の影響を評価する質問票。グレード0から4の5段階で評価する。
出典
img
1: 日本呼吸器学会COPDガイドライン第3版作成委員会編:COPD(慢性閉塞性肺疾患)診断と治療のためのガイドライン 第3版、メディカルレビュー社、2009

COPDの病期

COPDの病期は呼吸機能検査を用いた判定基準で軽症〜最重症に分けられる。
出典
img
1: 日本循環器学会編:循環器病の診断と治療に関するガイドライン(2005年度合同研究班報告) 肺高血圧症治療ガイドライン(2006年改訂版)、P27表30

2022 ESC/ERSガイドラインにおける重症度に基づいたPAHの予後のリスク分類

PAH患者の予後は症状、運動耐容能、BNP、心エコー所見、血行動態指標などにより判断され、これらの指標は治療方針の決定にも用いられる。
出典
imgimg
1: 2022 ESC/ERS Guidelines for the diagnosis and treatment of pulmonary hypertension.
Eur Heart J. 2022 Oct 11;43(38):3618-3731. doi: 10.1093/eurheartj/ehac237.

現代においても初期単剤療法を考慮するべきPAHの症例

出典
img
1: Galiè N, Channick RN, Frantz RP, et al. Risk stratification and medical therapy of pulmonary arterial hypertension. Eur Respir J 2019; 53 1801889 [https://doi.org/10.1183/13993003.018892018].This article is open access and distributed under the terms of the Creative Commons Attribution Non-Commercial Licence 4.0.

慢性肺疾患に伴う肺高血圧症の分類と治療・管理指針

PF:特発性肺線維症、PH:肺高血圧症、CPFE:気腫合併肺線維症
出典
imgimg
1: Pulmonary hypertension in chronic lung diseases.
著者: Seeger W, Adir Y, Barberà JA, Champion H, Coghlan JG, Cottin V, De Marco T, Galiè N, Ghio S, Gibbs S, Martinez FJ, Semigran MJ, Simonneau G, Wells AU, Vachiéry JL.
雑誌名: J Am Coll Cardiol. 2013 Dec 24;62(25 Suppl):D109-16. doi: 10.1016/j.jacc.2013.10.036.
Abstract/Text: Chronic obstructive lung disease (COPD) and diffuse parenchymal lung diseases (DPLD), including idiopathic pulmonary fibrosis (IPF) and sarcoidosis, are associated with a high incidence of pulmonary hypertension (PH), which is linked with exercise limitation and a worse prognosis. Patients with combined pulmonary fibrosis and emphysema (CPFE) are particularly prone to the development of PH. Echocardiography and right heart catheterization are the principal modalities for the diagnosis of COPD and DPLD. For discrimination between group 1 PH patients with concomitant respiratory abnormalities and group 3 PH patients (PH caused by lung disease), patients should be transferred to a center with expertise in both PH and lung diseases for comprehensive evaluation. The task force encompassing the authors of this article provided criteria for this discrimination and suggested using the following definitions for group 3 patients, as exemplified for COPD, IPF, and CPFE: COPD/IPF/CPFE without PH (mean pulmonary artery pressure [mPAP] <25 mm Hg); COPD/IPF/CPFE with PH (mPAP ≥25 mm Hg); PH-COPD, PH-IPF, and PH-CPFE); COPD/IPF/CPFE with severe PH (mPAP ≥35 mm Hg or mPAP ≥25 mm Hg with low cardiac index [CI <2.0 l/min/m(2)]; severe PH-COPD, severe PH-IPF, and severe PH-CPFE). The "severe PH group" includes only a minority of chronic lung disease patients who are suspected of having strong general vascular abnormalities (remodeling) accompanying the parenchymal disease and with evidence of an exhausted circulatory reserve rather than an exhausted ventilatory reserve underlying the limitation of exercise capacity. Exertional dyspnea disproportionate to pulmonary function tests, low carbon monoxide diffusion capacity, and rapid decline of arterial oxygenation upon exercise are typical clinical features of this subgroup with poor prognosis. Studies evaluating the effect of pulmonary arterial hypertension drugs currently not approved for group 3 PH patients should focus on this severe PH group, and for the time being, these patients should be transferred to expert centers for individualized patient care.

Copyright © 2013 American College of Cardiology Foundation. Published by Elsevier Inc. All rights reserved.
J Am Coll Cardiol. 2013 Dec 24;62(25 Suppl):D109-16. doi: 10.1016/j.ja...

胚移植のコンサルテーション・登録の適応

PVOD:肺静脈閉塞性疾患、PCH:肺毛細血管腫症
 
参考文献:
日本循環器学会:肺高血圧症治療ガイドライン(2017年改訂版).
https://www.j-circ.or.jp/cms/wp-content/uploads/2017/10/JCS2017_fukuda_h.pdf
出典
img
1: 著者提供

症例1:表1 血行動態および運動耐容能の推移

出典
img
1: 著者提供

症例1:図1 治療前と治療後の胸部X線と心電図の変化

X線上心陰影は縮小し、心電図上も右室負荷所見が改善している。
出典
img
1: 著者提供

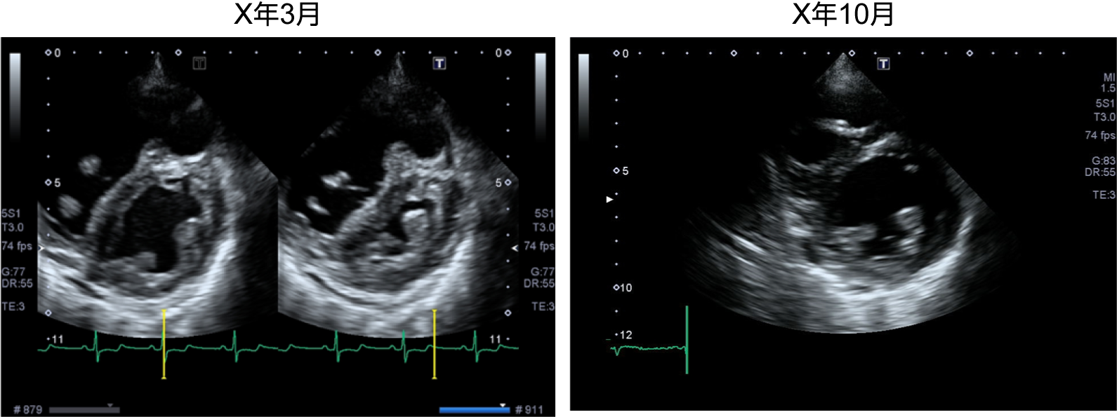
症例1:図2 治療前と治療後の心エコー所見

心エコー上も右室の拡大および心室中隔の扁平化が改善している。
出典
img
1: 著者提供

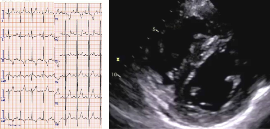
症例2:図1 12誘導心電図、図2 心エコー所見

出典
img
1: 著者提供

症例2:図3 肺血流シンチ所見

出典
img
1: 著者提供

症例2:図4 肺動脈造影(PAG)所見

出典
img
1: 著者提供

症例2:図5 肺動脈バルーン形成術(BPA)施行前後

出典
img
1: 著者提供

肺高血圧症の診断手順

出典
img
1: 日本循環器学会:肺高血圧症治療ガイドライン(2017年改訂版)https://www.j-circ.or.jp/cms/wp-content/uploads/2017/10/JCS2017_fukuda_h.pdf(2020年4月閲覧)班長 福田恵一、p.19、図1 肺高血圧症の診断手順

治療アルゴリズム

a:心肺合併疾患は左室拡張機能障害のリスク増加と関連する病態であり、肥満、高血圧、糖尿病、冠動脈疾患を含む。肺合併症(pulmonary comorbidities)は軽度の肺実質疾患の徴候を含み、しばしば低DLco(予測値の<45%)と関連する。
b:エポプロステノール静注またはトレプロスチニル静注/皮下注。
ERA:エンドセリン受容体拮抗薬、PCA:プロスタサイクリン類似体、sGC:可溶性グアニル酸シクラーゼ
出典
imgimg
1: 2022 ESC/ERS Guidelines for the diagnosis and treatment of pulmonary hypertension.
Eur Heart J. 2022 Oct 11;43(38):3618-3731. doi: 10.1093/eurheartj/ehac237.