Now processing ... 
 Now searching ... 
 Now loading ... 

精神作用物質使用による精神および行動の異常の分類(ICD-10)

参考文献:World Health Organization: The ICD-10 Classification of Mental and Behavioural Disorders. Clinical Descriptions and Diagnostic Guidelines. 1992.
出典
img
1: 厚生労働省:第Ⅴ章 精神及び行動の障害(F00-F99),p14-15(一部改変)

20の薬物の薬物依存性の比較

20の薬物についての身体的依存、精神的依存、多幸感の尺度を0~3の範囲で示した。1.5 以上の値を赤く塗っている。
出典
imgimg
1: Development of a rational scale to assess the harm of drugs of potential misuse.
著者: Nutt D, King LA, Saulsbury W, Blakemore C.
雑誌名: Lancet. 2007 Mar 24;369(9566):1047-53. doi: 10.1016/S0140-6736(07)60464-4.
Abstract/Text: Drug misuse and abuse are major health problems. Harmful drugs are regulated according to classification systems that purport to relate to the harms and risks of each drug. However, the methodology and processes underlying classification systems are generally neither specified nor transparent, which reduces confidence in their accuracy and undermines health education messages. We developed and explored the feasibility of the use of a nine-category matrix of harm, with an expert delphic procedure, to assess the harms of a range of illicit drugs in an evidence-based fashion. We also included five legal drugs of misuse (alcohol, khat, solvents, alkyl nitrites, and tobacco) and one that has since been classified (ketamine) for reference. The process proved practicable, and yielded roughly similar scores and rankings of drug harm when used by two separate groups of experts. The ranking of drugs produced by our assessment of harm differed from those used by current regulatory systems. Our methodology offers a systematic framework and process that could be used by national and international regulatory bodies to assess the harm of current and future drugs of abuse.
Lancet. 2007 Mar 24;369(9566):1047-53. doi: 10.1016/S0140-6736(07)6046...

ICD-10による精神作用物質依存症候群の診断基準

出典
img
1: 融 道男, 中根允文, 小見山 実, 岡崎祐士, 大久保善朗監訳:ICD-10精神および行動の障害 臨床記述と診断ガイドライン(新訂版). 医学書院, 2005;87.

DSM-5による物質使用障害の診断基準

出典
img
1: 高橋三郎,大野 裕監訳:DSM-5精神疾患の分類と診断の手引き. 医学書院, 2014;262.一部改変

有機溶剤曝露による症状

出典
img
1: 柴田敬祐ら:有機溶剤依存の臨床.脳とこころのプライマリケア, 第8巻「依存」, シナジー, 2011; 342.

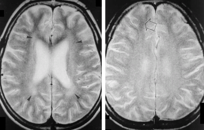
慢性有機溶剤依存患者のMRI T2強調画像

出典
img
1: 福居顯二先生ご提供

ベンゾジアゼピン系薬剤の離脱症状

出典
img
1: 西村伊三男:抗不安薬・睡眠導入剤依存の治療. 依存症・衝動制御障害の治療, 専門医のための精神科臨床リュミエール26, 中山書店, 2011; 123.

脳内報酬系と依存物質の作用部位

出典
img
1: 編集部より作成

薬物依存における治療ステージ

出典
img
1: 北林百合之介, ほか:有機溶剤依存. 新精神科治療ガイドライン. 精神科治療学. 2005:20: 84. より一部改変
img
2: 北林百合之介, ほか:動因喪失症候群を呈した有機溶剤乱用の一例. 日本アルコール・薬物医学会雑誌. 1999:34: 130-137.
img
3: 北林百合之介, ほか:有機溶剤の乱用と依存. 医学のあゆみ. 2000:193(8):692.

嗜癖行動障害とそれに関連する精神障害との位置づけ

出典
img
1: 編集部より作成

薬物事犯検挙人数の推移

出典
img
1: 令和6年における組織犯罪の情勢(警察庁)https://www.npa.go.jp/news/release/2025/R6jyousei.pdf;83(2025年8月閲覧)

薬物事犯の検挙状況

出典
img
1: 令和6年における組織犯罪の情勢(概要)(警察庁)https://www.npa.go.jp/news/release/2025/r6jyousei_digest.pdf;7(2025年8月閲覧)

薬物依存の診断

出典
img
1: 福居顯二先生ご提供