Now processing ... 
 Now searching ... 
 Now loading ... 

図4 カタル性結膜炎

血管の拡張があり、表面は水っぽく光沢がある。粘液膿性眼脂と点状出血を伴っている(肺炎球菌結膜炎)。
出典
img
1: 著者提供

図12 クラミジアによる濾胞性結膜炎

結膜円蓋部を中心に大型の充実性濾胞が多数みられる。クラミジア結膜炎の成人例。アデノウイルス結膜炎との鑑別が必要である。
出典
img
1: 著者提供

図14 乳頭増殖(乳頭性結膜炎)

上瞼結膜に充血と細かい乳頭の増殖がある。赤い点の集合のようにみえる。結膜炎が長期に及んだ場合に起こる変化である。
出典
img
1: 著者提供

図15 偽膜性結膜炎

上下の瞼結膜に偽膜形成がみられる。厚くなるとこのような白いゴム様の外観を呈する。アデノウイルス結膜炎の例。単純ヘルペス、新生児クラミジア結膜炎でもみられることがある。
出典
img
1: 著者提供

表1 感染性ならびに非感染性結膜炎の原因

結膜炎の原因は感染性と非感染性に大別され、前者には細菌、ウイルス、クラミジアがあり、後者にはアレルギーや物理・化学的なものが含まれる。
出典
img
1: 著者提供

図13 淋菌性結膜炎の膿性眼脂

大量の黄色クリーム状の膿性眼脂がみられる。第一に淋菌を考えるべき所見である。
出典
img
1: 著者提供

表2 患者背景と疾患

出典
img
1: 著者提供

図1 結膜炎の基本病変(1)

a.充血:表在性で鮮紅色の結膜充血(アデノウイルス結膜炎)。
b.濾胞:円蓋部から瞼結膜に中程度の濾胞形成がみられる(クラミジア結膜炎成人例)。
c.乳頭:上瞼結膜にみられた乳頭増殖。赤い小さな顆粒状所見を示す(クラミジア結膜炎の慢性期)。
d.偽膜:白いゴム様の偽膜が上下の瞼結膜に認められる(アデノウイルス結膜炎)。
出典
img
1: 著者提供

図2 結膜炎の基本病変(2)
 

a.結膜下出血:エンテロウイルスによるAHCの症例でみられた球結膜下出血。
b.結膜浮腫:球結膜に著明な浮腫を認める(AHCの成人例)。
c.輪部浸潤:上輪部に限局して表在性の浸潤を認める(クラミジア結膜炎成人例)。
d.球結膜地図状上皮欠損:球結膜に様々な形態の上皮性病変を認める(HSV結膜炎初感染例)。
出典
img
1: 著者提供

表3 眼脂の肉眼的性状と考えるべき原因

出典
img
1: 著者提供

図3 眼脂の肉眼的性状

a. 漿液線維素性:水っぽい糸状、線維状の眼脂(アデノウイルス結膜炎)。
b. 粘液性:白色の粘液性の眼脂(季節性アレルギー性結膜炎)。
c. 粘液膿性:やや黄色味を帯びた粘性の高い眼脂(肺炎球菌結膜炎)。
d. 膿性:黄色の膿のような眼脂(淋菌性結膜炎)。
出典
img
1: 著者提供

表4 臨床病型と原因

出典
img
1: 著者提供

図5 濾胞性結膜炎

アデノウイルスでは瞼結膜の炎症所見が強いものが多い。クラミジアは2週間を過ぎると濾胞が大きく充実性となり、融合傾向を示す。
出典
img
1: 著者提供

図6 乳頭性結膜炎

遷延化した結膜炎では原因を問わず瞼結膜に乳頭増殖を起こす。春季カタルでは特徴的な石垣状乳頭が観察される。
出典
img
1: 著者提供

図7 化膿性結膜炎

膿性眼脂が認められる新生児結膜炎に、淋菌とクラミジアがある。結膜は高度の充血、浮腫、混濁がある。クラミジアでは偽膜を伴うことも多い(7b)。
出典
img
1: 著者提供

図8 眼瞼病変

HSVによる結膜炎では眼瞼の皮疹を合併することが多い。水疱性丘疹で中央部に臍窩を持ち、一部は痂皮化している(a)。眼瞼縁の水疱は破れてびらんを形成する(b)。
出典
img
1: 著者提供

図9 角膜病変

HSVでは角膜や球結膜に星状、樹枝状、地図状などの上皮性病変を合併することも多い。アデノウイルス(特にD群)では角膜に点状浸潤を起こす。
出典
img
1: 著者提供

図10 涙点の異常

涙点の拡大、肥厚、周囲の腫瘤形成、涙点からの排膿は、涙小管炎を疑う重要な所見である。
出典
img
1: 著者提供

図11 カタル性結膜炎と粘液膿性眼脂

濾胞や乳頭がなく、充血と結膜の水っぽい浮腫が特徴である。これらはカタル性結膜炎と呼ばれる。粘性が高くやや黄色い眼脂を伴う。細菌性結膜炎の典型例である。
出典
img
1: 著者提供

表7 塗抹検鏡のポイント

出典
img
1: 著者提供

図11 塗抹検鏡による微生物の同定

眼脂のグラム染色では、形態、染色性、莢膜の存在(a)などから細菌の菌種を推定できる。放線菌、クラミジアはその特徴的形態から確定診断が可能。
 
出典
img
1: 著者提供

図12 白血球の種類と比率による鑑別

眼脂中の白血球の種類と割合によって考えるべき原因が異なってくる。臨床的に鑑別しにくい濾胞性結膜炎も塗抹所見からある程度区別できる。クラミジアは好中球が60%前後、アデノウイルスはリンパ球が70~80%程度、HSVはリンパ球と好中球が同程度である。
出典
img
1: 著者提供

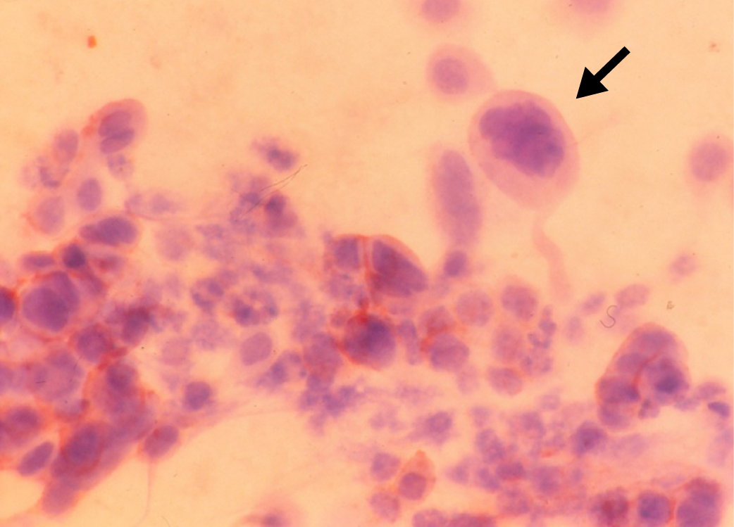
図13 HSV結膜炎にみられた多核巨細胞

大型の上皮細胞内に多数の核が隣接して観察される(→)。
球結膜の地図状病変から採取した標本。
出典
img
1: 著者提供

表8 細菌培養と塗抹検鏡の比較

出典
img
1: 著者提供

図14 好中球に貪食されたコリネバクテリウム(眼脂塗抹 グラム染色)

コリネバクテリウムは眼表面の常在菌であるため、分離されただけでは起炎菌とは言えない。しかし、このような貪食像があれば(黄色矢印)この菌を起炎菌と考える根拠になる。
出典
img
1: 著者提供

表9 病原体の同定法

出典
img
1: 著者提供

表6 結膜炎の診断に必要な検査

病因診断に必要な検査には、非特異的検査と、特定の微生物をターゲットにした特異的検査がある。
出典
img
1: 著者提供

表7 白血球による結膜炎の鑑別

眼脂中の白血球の種類や付随所見から結膜炎の原因を推定できる。
出典
img
1: 著者提供

表5 結膜炎の臨床鑑別診断

結膜の所見をとり、臨床病型と眼脂の性状から結膜炎の原因を考え、初期治療を選択する。
出典
img
1: 著者提供