Now processing ... 
 Now searching ... 
 Now loading ... 

急性期非動脈炎性虚血性視神経症の視神経乳頭所見

視神経乳頭の辺縁が明瞭に見えず、神経線維が腫脹しており、乳頭浮腫を呈している。
出典
img
1: 著者提供

非動脈炎性虚血性視神経症の僚眼の視神経乳頭所見

C/D比の小さな、小乳頭である。
出典
img
1: 著者提供

急性期非動脈炎性虚血性視神経症の視野

典型的な水平下方神経線維束欠損型視野欠損
出典
img
1: 著者提供

慢性期非動脈炎性虚血性視神経症の視神経乳頭所見

視神経萎縮を呈している。
出典
img
1: 著者提供

急性期動脈炎性虚血性視神経症の視神経乳頭所見

非動脈炎性虚血性視神経症の乳頭浮腫より浮腫が強い。
出典
img
1: 著者提供

動脈炎性虚血性視神経症と非動脈炎性虚血性視神経症の鑑別

出典
img
1: 著者提供

側頭動脈の走行と、生検の際、避けるべきdanger zone。

①耳珠、②頬骨弓と眼窩外側縁の接する部位、③眼窩上縁より2cm上方、④耳珠の上方、③から後方に引いた線と交わる点。この4点を結ぶ領域がdanger zoneである。
出典
img
1: 著者提供

側頭動脈の頬骨部を走行する部位の矢状断解剖。

浅側頭動脈は、皮下脂肪層の下の浅側頭隔膜のなかにあり、顔面神経側頭枝は、その奥にあることに注目する。
出典
img
1: 著者提供

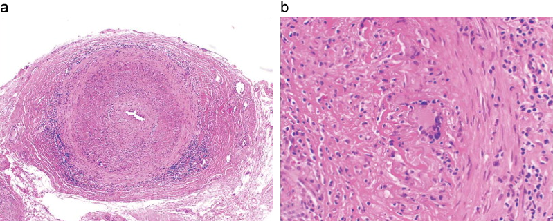
側頭動脈炎の病理

中膜主体に肉芽腫性炎症を認め、内膜肥厚層の形成がみられる。
a:低倍
b:高倍。多核細胞を認める。
出典
img
1: Cantore, William A: Albert & Jakobiec's Principles & Practice of Ophthalmology, Chapter325. 4437-4446

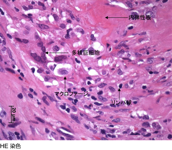
側頭動脈炎の病理

HE染色:強拡大。中膜に多核巨細胞を認める。
出典
img
1: 著者提供

急性視力低下のデイシジョンツリー

急性片眼性視覚障害の患者をみたときは、このような順序で診断を行っていく。
出典
img
1: Miller N, et al.: THE NEURO-OPHTHALMOLOGY SURVIVAL GUIDE : Mosby, 2007

非動脈性虚血性視神経症の診断基準

これらの特徴を1つずつチェックしていく。
出典
img
1: Miller N, et al.: THE NEURO-OPHTHALMOLOGY SURVIVAL GUIDE : Mosby, 2007