Now processing ... 
 Now searching ... 
 Now loading ... 

B‐モード

急性期原田病におけるB‐モード所見。著明な脈絡膜浮腫が観察できる。
出典
img
1: 大黒伸行先生ご提供

OCT

急性期原田病におけるOCT所見。隔壁を伴った漿液性剝離、脈絡膜肥厚が観察できる。
出典
img
1: 著者提供

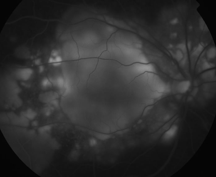
FAの初期像1

急性期の原田病症例におけるFA初期像。多発するdark spotが観察できる。
出典
img
1: 大黒伸行先生ご提供

FAの初期像2

急性期の原田病症例におけるFA初期像。点状の蛍光色素が漏出してきている。
出典
img
1: 大黒伸行先生ご提供

FA後期像

蛍光色素の貯留が観察できる。
出典
img
1: 大黒伸行先生ご提供

ステロイド薬内服量の減量プラン

ステロイド薬全身治療を行う場合の初期投与量と減量プランについては一般的に上図のように推奨されている。全身管理についても定期検査を行う必要がある。
出典
img
1: 大黒伸行先生ご提供

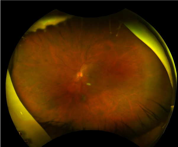
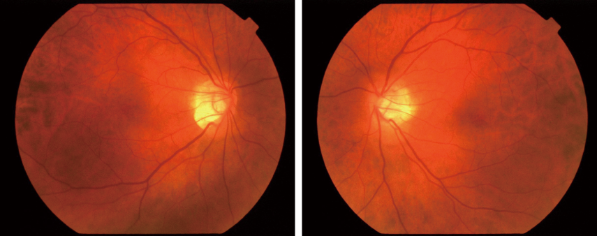
原田病初期の眼底所見

両眼に漿液性剥離と視神経乳頭浮腫を認める。
出典
img
1: 大黒伸行先生ご提供

原田病後期の眼底所見

発症3カ月後。両眼に夕焼け状眼底を認める。
出典
img
1: 大黒伸行先生ご提供

原田病に発症したCNV

夕焼け状眼底とCNVが認められる。
出典
img
1: 大黒伸行先生ご提供

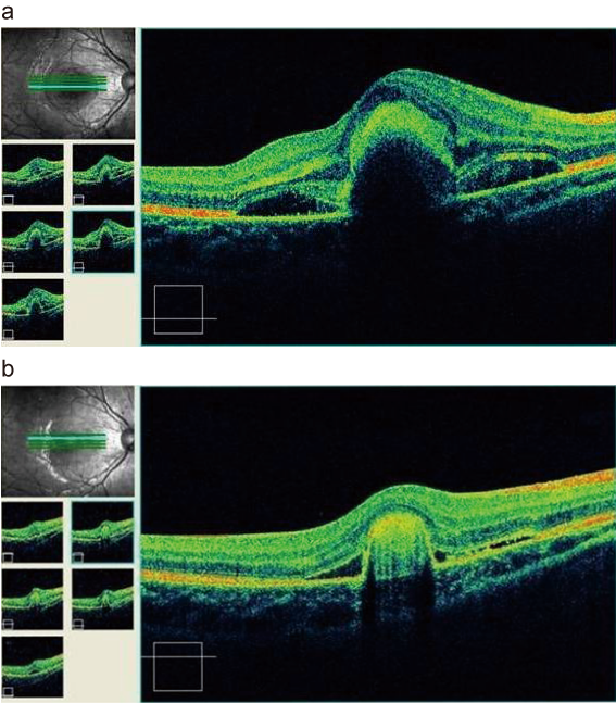
原田病に発症したCNVのOCT像

a:治療前。活動性のあるCNVと網膜下液の貯留が認められる。
b:治療後。CNVは退縮し網膜下液も改善している。
出典
img
1: 大黒伸行先生ご提供

IA後期像

急性期の原田病症例におけるIA後期像。散在する斑状低蛍光がみられる。
出典
img
1: 著者提供

典型例の初診時眼底写真

出典
img
1: 著者提供

典型例の初診時OCT画像

出典
img
1: 著者提供

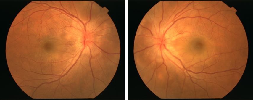
典型例の治療1年後の眼底写真

出典
img
1: 著者提供

再燃前後のOCT画像(左がプレドニン12.5mg内服時、右がプレドニン10mg内服時)

出典
img
1: 著者提供

Vogt-小柳-原田病の診断・治療アルゴリズム

原田病の診断および治療の手順について簡単にまとめたものを示す。治療については患者の全身状態を考慮に決定することが望ましい。
出典
img
1: 大黒伸行先生ご提供