Now processing ... 
 Now searching ... 
 Now loading ... 

腸腰筋徴候のとり方

患側を上にした側臥位にし、●の部分に抵抗をかけながら股関節を進展し、痛みが誘発されるかをみる。

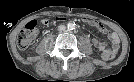
黄色ブドウ球菌による化膿性脊椎炎に合併した腸腰筋膿瘍のCT

右腸腰筋内に造影効果を伴う病変と内部が低吸収域の病変を認める。
出典
img
1: 著者提供

脊椎炎を診断してから抗菌薬を選択するまで

患者背景と検体の塗抹から経験的治療の選択を示した。薬剤は1例であり、重症度や病歴を踏まえて総合的に判断する必要がある。
出典
imgimg
1: Suggestions for managing pyogenic (non-tuberculous) discitis in adults.
著者: Grados F, Lescure FX, Senneville E, Flipo RM, Schmit JL, Fardellone P.
雑誌名: Joint Bone Spine. 2007 Mar;74(2):133-9. doi: 10.1016/j.jbspin.2006.11.002. Epub 2007 Feb 2.
Abstract/Text: OBJECTIVES: To develop recommendations about identifying the causative organism, obtaining imaging studies, and selecting pharmacological and non-pharmacological treatments in adults with pyogenic discitis and vertebral osteomyelitis (PDVO).
METHODS: A rheumatologist and an infectiologist drafted recommendations based on their personal experience and a review of studies in English or French retrieved on Medline using the following search terms: "infectious spondylodiscitis", "infectious spondylitis", "spondylodiscitis", "discitis", "vertebral osteomyelitis", "spine infection", and "bone and joint infections". The recommendations were submitted to four experts for validation.
RESULTS: 85 articles were selected for detailed review. No prospective randomized controlled trials were identified. Antimicrobial therapy should be initiated only after recovery of the causative organism in blood cultures or percutaneous disk biopsy specimens, except in patients with neutropenia or severe sepsis. The initial treatment rests on a combination of two bactericidal and synergistic antimicrobials in high dosages. The total duration of antimicrobial therapy should be 12 weeks at least. Radiographs of the spine and chest and magnetic resonance imaging (MRI) of the spine should be performed routinely during the initial evaluation. In PDVO due to hematogenous dissemination of a streptococcus or staphylococcus, routine echocardiography may be in order. Radiographs centered on the affected disk should be obtained 1 and 3 months into antimicrobial therapy and 3 months after treatment discontinuation. Follow-up MRI is usually unnecessary when the clinical and laboratory abnormalities respond to treatment. If not, or if the initial investigations show a collected abscess, a repeat MRI after 1 month of antimicrobial treatment may be useful. Clinical and laboratory follow-up is mandatory throughout antimicrobial therapy and during the first 6 months after treatment discontinuation.
CONCLUSIONS: Recommendations based on descriptive studies and expert opinion were developed. They can be expected to improve the quality and uniformity of PDVO management. Further studies are needed to improve the level of evidence that is available for developing recommendations. In particular, prospective randomized multicenter studies should be performed to compare the intravenous to the oral route for initial antimicrobials administration and to compare different treatment durations.
Joint Bone Spine. 2007 Mar;74(2):133-9. doi: 10.1016/j.jbspin.2006.11....