Now processing ... 
 Now searching ... 
 Now loading ... 

小脳梗塞(急性期)の頭部MRI(拡散強調像、水平断)

左小脳半球と一部右小脳半球に高信号域を認める。
出典
img
1: 著者提供

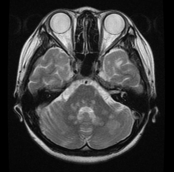
小脳梗塞(急性期)の頭部MRI(T2強調像、水平断)

左小脳半球と一部右小脳半球に高信号域を認める。
出典
img
1: 著者提供

多発性硬化症の頭部MRI(T2強調像、水平断)

脳幹部と小脳半球に多数の高信号域を認める。
出典
img
1: 著者提供

急性散在性脳脊髄炎(ADEM)の頭部MRI(T2強調像、水平断)

左側基底核と視床、深部皮質下と脳室周囲の白質に高信号域を認める。
出典
img
1: Kliegman RM: Nelson Textbook of Pediatrics, 19th ed.

抗アクアポリン4抗体関連疾患の頭部MRI(T2強調像、水平断)

第4脳室周囲に多数の高信号域を認める。
出典
img
1: 著者提供

髄液中オリゴクローナルバンド

血清中には認められないが、髄液中にはオリゴクローナルバンドが認められる。
出典
img
1: McPherson RA, et al.: Henrry’s Clinical Diagnosis and Management by Laboratory Methods, 22ed.(改変あり)

Babinski徴候

a:足底反射
b:Babinski徴候
c:三重屈曲反応
出典
img
1: Stern TA, et al. : Massachusetts General Hospital Comprehensive Clinical Psychiatry, 1st ed.

オプソクローヌスの推移

出典
img
1: 瀧山嘉久,南川喜代晴,吉留宏明,ほか:Opsoclonus-polymyoclonusを呈した急性小脳炎の1例. 臨床神経学 1983; 23: 915.

運動失調症の診わけかた

深部感覚障害を認め、ロンベルグ徴候が陽性の場合には温痛覚障害の有無をみる。温覚痛障害があれば、運動失調症は末梢神経性であり、障害されていなければ、脊髄(後索)性である。深部感覚が正常であれば、運動失調症は前庭性か小脳症であり、前庭症では臥位での四肢運動失調は認めない。このほかに大脳(前頭葉)性運動失調症をまれに認めることがある。最も重要なポイントは、運動失調症が小脳症か脊髄(後索)性かの鑑別である。
出典
img
1: 田崎義昭ら:ベッドサイドの神経の診かた 改訂17版:南山堂,2010;p157