Now processing ... 
 Now searching ... 
 Now loading ... 

一過性脳虚血発作(818例) 症状持続時間とDWI陽性率

一過性脳虚血発作の症状持続時間が1時間以内でも、約3割で脳MRI拡散強調画像(DWI)で新規虚血病変が認められる。
出典
imgimg
1: Definition and evaluation of transient ischemic attack: a scientific statement for healthcare professionals from the American Heart Association/American Stroke Association Stroke Council; Council on Cardiovascular Surgery and Anesthesia; Council on Cardiovascular Radiology and Intervention; Council on Cardiovascular Nursing; and the Interdisciplinary Council on Peripheral Vascular Disease. The American Academy of Neurology affirms the value of this statement as an educational tool for neurologists.
著者: Easton JD, Saver JL, Albers GW, Alberts MJ, Chaturvedi S, Feldmann E, Hatsukami TS, Higashida RT, Johnston SC, Kidwell CS, Lutsep HL, Miller E, Sacco RL; American Heart Association; American Stroke Association Stroke Council; Council on Cardiovascular Surgery and Anesthesia; Council on Cardiovascular Radiology and Intervention; Council on Cardiovascular Nursing; Interdisciplinary Council on Peripheral Vascular Disease.
雑誌名: Stroke. 2009 Jun;40(6):2276-93. doi: 10.1161/STROKEAHA.108.192218. Epub 2009 May 7.
Abstract/Text: This scientific statement is intended for use by physicians and allied health personnel caring for patients with transient ischemic attacks. Formal evidence review included a structured literature search of Medline from 1990 to June 2007 and data synthesis employing evidence tables, meta-analyses, and pooled analysis of individual patient-level data. The review supported endorsement of the following, tissue-based definition of transient ischemic attack (TIA): a transient episode of neurological dysfunction caused by focal brain, spinal cord, or retinal ischemia, without acute infarction. Patients with TIAs are at high risk of early stroke, and their risk may be stratified by clinical scale, vessel imaging, and diffusion magnetic resonance imaging. Diagnostic recommendations include: TIA patients should undergo neuroimaging evaluation within 24 hours of symptom onset, preferably with magnetic resonance imaging, including diffusion sequences; noninvasive imaging of the cervical vessels should be performed and noninvasive imaging of intracranial vessels is reasonable; electrocardiography should occur as soon as possible after TIA and prolonged cardiac monitoring and echocardiography are reasonable in patients in whom the vascular etiology is not yet identified; routine blood tests are reasonable; and it is reasonable to hospitalize patients with TIA if they present within 72 hours and have an ABCD(2) score >or=3, indicating high risk of early recurrence, or the evaluation cannot be rapidly completed on an outpatient basis.
Stroke. 2009 Jun;40(6):2276-93. doi: 10.1161/STROKEAHA.108.192218. Epu...

脳梗塞急性期の頭部CT、脳血管造影(機械的血栓回収療法前後)と翌日のMRI DWI画像

a:脳梗塞急性期の頭部CT
b:脳梗塞急性期のCTA
c:血管造影(機械的血栓療法前)
d:血管造影(機械的血栓療法後)
e:翌日のMRI DWI
f:翌日のMRA
出典
img
1: 著者提供

脳卒中の初発症候

最も多いのが片麻痺、ついで言語障害、意識障害、感覚障害、頭痛である。
出典
img
1: 脳卒中データバンク2005 pp30-pp31 編集 小林祥泰 2005 中山書店

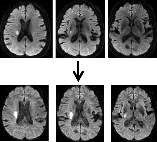
Branch atheromatous disease: 梗塞病変の拡大

上段は発症当日、下段は発症翌日の脳MRI拡散強調画像を示す。放射冠~基底核にかけての病変が拡大している。
出典
img
1: 北川一夫先生ご提供

TIA:ABCD2スコア別にみた最初の2日間の脳卒中発症リスク

ABCD2スコアは実地医家用に提唱された脳卒中発症リスクを予測するスコアである。2日以内の脳卒中発症は0-3点は1.0%、4.5点は4.1%、6.7点は8.1%と点数が上がるほど脳卒中リスクが高まる。
出典
imgimg
1: Validation and refinement of scores to predict very early stroke risk after transient ischaemic attack.
著者: Johnston SC, Rothwell PM, Nguyen-Huynh MN, Giles MF, Elkins JS, Bernstein AL, Sidney S.
雑誌名: Lancet. 2007 Jan 27;369(9558):283-92. doi: 10.1016/S0140-6736(07)60150-0.
Abstract/Text: BACKGROUND: We aimed to validate two similar existing prognostic scores for early risk of stroke after transient ischaemic attack (TIA) and to derive and validate a unified score optimised for prediction of 2-day stroke risk to inform emergency management.
METHODS: The California and ABCD scores were validated in four independent groups of patients (n=2893) diagnosed with TIA in emergency departments and clinics in defined populations in the USA and UK. Prognostic value was quantified with c statistics. The two groups used to derive the original scores (n=1916) were used to derive a new unified score based on logistic regression.
FINDINGS: The two existing scores predicted the risk of stroke similarly in each of the four validation cohorts, for stroke risks at 2 days, 7 days, and 90 days (c statistics 0.60-0.81). In both derivation groups, c statistics were improved for a unified score based on five factors (age >or=60 years [1 point]; blood pressure >or=140/90 mm Hg [1]; clinical features: unilateral weakness [2], speech impairment without weakness [1]; duration >or=60 min [2] or 10-59 min [1]; and diabetes [1]). This score, ABCD(2), validated well (c statistics 0.62-0.83); overall, 1012 (21%) of patients were classified as high risk (score 6-7, 8.1% 2-day risk), 2169 (45%) as moderate risk (score 4-5, 4.1%), and 1628 (34%) as low risk (score 0-3, 1.0%).
IMPLICATIONS: Existing prognostic scores for stroke risk after TIA validate well on multiple independent cohorts, but the unified ABCD(2) score is likely to be most predictive. Patients at high risk need immediate evaluation to optimise stroke prevention.
Lancet. 2007 Jan 27;369(9558):283-92. doi: 10.1016/S0140-6736(07)60150...

片麻痺原因疾患診断のアルゴリズム

片麻痺は発症様式(突然か亜急性の緩徐か)で原因疾患が異なることが多い。速やかに脳CT、MRI検査を施行し診断を確定する必要がある。
出典
img
1: 北川一夫先生ご提供

麻痺の局在と病変部位との関連

出典
img
1: 北川一夫先生ご提供