Now processing ... 
 Now searching ... 
 Now loading ... 

チョーキングサイン

万国共通の窒息のサイン。
窒息時に助けを必要としていることを示すために発せられるサインは、万国共通である。
 
参考文献:
American Heart Association編. BLSヘルスケアプロバイダー受講者マニュアル日本語版. 2012; p52, 図30.
出典
img
1: 参考文献を基に編集部で作成

tripod position

上気道を何とか開存させようと、頚部を伸展し下顎を突出し(sniffing position)、口は開いたまま、両手を膝の上に置いて前かがみに座っている。“tripod”は「三脚」の意。
出典
img
1: Marx. Rosen's Emergency Medicine, 7th ed. Mosby, 2010; Figure 164-2.

急性喉頭蓋炎

喉頭蓋とその周囲組織の腫脹。「cherry red」と表現されることがあるが、蒼白で浮腫を呈していることも多い。
出典
img
1: Marx J. Rosen's Emergency Medicine, 7th ed. Mosby, 2010; Figure 73-3.

急性喉頭蓋炎 頚部側面X線写真

いわゆるthumb sign
出典
img
1: Marx J, Hockberger R, Walls R. Rosen's Emergency Medicine, 8th ed. Saunders, 2014; Chapter 75 Upper Respiratory Tract Infections, 965-977. e1,Figure 75-4.

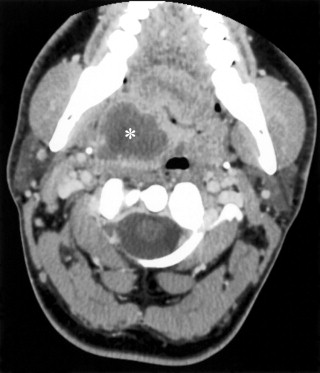
扁桃周囲膿瘍

造影CTで、周囲に造影効果のある低吸収域として描出される (*)。口腔咽頭と舌は変位している。
出典
img
1: Flint PW, Haughey BH, Robbins KT, et al. Cummings Otolaryngology: Head & Neck Surgery, 5th ed. Elsevier, 2010; Figure 102-31.

遺伝性血管性浮腫

血管性浮腫は真皮深部や皮下組織の浮腫であり、蕁麻疹のように紅斑や掻痒を伴わず、浮腫の消失に数日かかることがある。喉頭浮腫により気道の完全閉塞を起こすことがある。
a:側面
b:正面
出典
img
1: Auerbach P. Wilderness Medicine, 6th ed. Elsevier, 2012; Figure 102-12, 102-13.

硬性気管支鏡

換気しながら処置が行えるタイプ
出典
img
1: Miller R. Miller's Anesthesia, 7th ed. Figure 59-36.

チャイルドマウス

乳児の最大口径32 mm・3歳児の最大口径39 mm、一部の地域では母子健康手帳に載っている。

意識のある乳児への背部叩打法

乳児の顔を下に向けてうつ伏せにし、胸部を救助者の大腿の上に置いた前腕で支える。肩甲骨間を手の付け根で叩く。頭部と下顎を手でしっかり支え、喉を圧迫しないよう気を付ける。
 
参考文献:
Driver BE, Reardon RF. Clinical Procedures in Emergency Medicine, 5th ed. Saunders, 2009; Figure 3-2E.
出典
img
1: 参考文献を基に編集部で作成

意識のある乳児の胸部突き上げ法

背部叩打法後、慎重に仰向けにし、頭を体幹よりも低く保つ。胸骨圧迫と同じ要領で5回押す。
 
参考文献:
Driver BE, Reardon RF. Clinical Procedures in Emergency Medicine, 5th ed. Saunders, 2009; Figure 3-2D.
出典
img
1: 参考文献を基に編集部で作成

腹部突き上げ法(ハイムリッヒ法)

傷病者の背後から、傷病者の腹部に腕を回す。片手で握りこぶしを作り、もう一方の手で握る。胸骨から十分下の臍のやや上にそれを押し込み、力を込めて上に突き上げる。
 
参考文献:
Driver BE, Reardon RF. Clinical Procedures in Emergency Medicine, 5th ed. Saunders, 2009; Figure 3-2A.
出典
img
1: 参考文献を基に編集部で作成

胸部突き上げ法

妊婦や肥満の傷病者には、腹部突き上げ法ではなく、胸部突き上げ法を行う。
 
参考文献:
Driver BE, Reardon RF. Clinical Procedures in Emergency Medicine, 5th ed. Saunders, 2009; Figure 3-2B.
出典
img
1: 参考文献を基に編集部で作成

初期FAO2=0.87でヘモグロビン脱飽和に至るまでの時間

出典
imgimg
1: Critical hemoglobin desaturation will occur before return to an unparalyzed state following 1 mg/kg intravenous succinylcholine.
Anesthesiology. 1997 Oct;87(4):979-82. doi: 10.1097/00000542-199710000-00034.

輪状甲状靱帯切開

標準的な輪状甲状靱帯切開の手技。
a:輪状甲状靱帯を触知する。
b:頚部正中をメスで縦切開する。
c:輪状甲状靱帯を確認する。
d:靱帯は横切開する。
e:フックを用いて頭側に孔を広げる。
f:孔を広げる。
g:気管チューブを挿入する。
h:閉塞栓を抜去する。
出典
img
1: James G, Adams JG. Emergency Medicine, Second Edition. 2 Advanced Airway Techniques. Saunders, 2013; p8-18.e2, Fig 2.4.

外傷性窒息の典型的な臨床的顔貌

顔面浮腫と眼瞼の皮下出血。結膜下出血も認められる。
出典
img
1: Auerbach P. Wilderness Medicine, 6th ed. Chapter 21:Wilderness Trauma and Surgical Emergencies. Elsevier, 2012; Figure 21-9.

気管チューブの閉塞

a:マーフィー孔開存によりなんとか換気ができていた。
b:気管チューブの割面。内腔に分泌物が固着している。
出典
img
1: 著者提供

食事中など異物による気道閉塞の初期対応

初期対応はおそらくコメディカルや家族によってなされることが多い。
出典
img
1: American Heart Association. BLSヘルスケアプロバイダー受講者マニュアル AHAガイドライン2010準拠. 2011; pp51-56.

異物による気道閉塞患者への病院内での対応

上記処置でも気道確保・換気が不能な場合は、ECMOなどの体外循環も考慮する。
患者に意識があり呼吸が維持できていれば、異物の場所と形態を診断し、専門医へコンサルトする。
出典
img
1: 著者提供

異物以外の原因による気道閉塞患者への対応

バイタルサインの把握と閉塞部位の推定が必須
出典
img
1: 著者提供