Now processing ... 
 Now searching ... 
 Now loading ... 

グラスゴー・コーマ・スケール(GCS)

Glasgon Coma Scale(GCS)では、開眼(Eye opening:E)1~4点、言語(Verbal Response
:V),運動(Motor response:M)の3項目の合計により意識障害を評価する。正常では15点となり、最重症が3点の深昏睡となる。頭部外傷では8点以下を重症とみなす。
出典
imgimg
1: Severe head injuries in three countries.
著者: Jennett B, Teasdale G, Galbraith S, Pickard J, Grant H, Braakman R, Avezaat C, Maas A, Minderhoud J, Vecht CJ, Heiden J, Small R, Caton W, Kurze T.
雑誌名: J Neurol Neurosurg Psychiatry. 1977 Mar;40(3):291-8. doi: 10.1136/jnnp.40.3.291.
Abstract/Text: Methods for assessing early characteristics and late outcome after severe head injury have been devised and applied to 700 cases in three countries (Scotland, Netherlands, and USA). There was a close similarity between the initial features of patients in the three series; in spite of differences on organisation of care and in details of management , the mortality was exactly the same in each country. This data bank of cases (which is still being enlarged) can be used for predicting outcome in new cases, and for setting up trials of management.
J Neurol Neurosurg Psychiatry. 1977 Mar;40(3):291-8. doi: 10.1136/jnnp...
img
2: 日本脳神経外傷学会:頭部外傷治療・管理のガイドライン第4版、医学書院、2019.

硬膜外血腫の典型CT画像

a,b:同じスライスの頭部条件(a)と骨条件(b)。左側頭部皮下血腫(矢印・黄)直下に凸レンズ状の急性硬膜外血腫(矢頭・黄)および頭蓋骨線状骨折(矢印・赤)を認める。
c:左前頭部に急性硬膜外血腫(矢頭・黄)を認め、対側の右側頭葉には外傷性クモ膜下出血(矢頭・赤)を認める。dと同一症例。
d:頭蓋骨骨折(矢印・赤)、血腫内に空気の混入(矢印・黄)も認める。cと同一症例。
出典
img
1: 著者提供

薄い硬膜外血腫

受傷直後のCTで右側頭骨骨折(a)を認めたが、硬膜外血腫は明らかでなかった(b)。3時間後の再検で硬膜外血腫認めたが、血腫増大は僅かでありそのまま保存的加療を継続した(c)。
出典
img
1: 著者提供

急性硬膜外血腫の症例

70歳代、男性。アルコール性肝硬変終末期で通院中に転倒し搬送された。
a. 受傷直後の頭部CT。ひだり頭頂部に低吸収値の急性硬膜外血腫(矢頭)を認めた。明らかな局所症状はなく、保存的加療目的に入院した。
b. 入院2時間後、みぎ片麻痺の進行があり再検した頭部CT。血腫の増大を認め、高吸収値となった血腫内部の一部に低吸収値を伴っていた(矢印、swirl sign)。ひだり前頭葉には小さな脳挫傷性血腫も認めた。手術も検討されたが、血小板低値、凝固能異常や低アルブミン血症などで全身状態が不良であり、家族の積極介入希望もなかったため、保存的加療継続の方針となった。
c. 受傷翌日の頭部CT。血腫の増加がみられたが、神経症状の悪化はなく、保存的加療を継続した。
出典
img
1: 著者提供

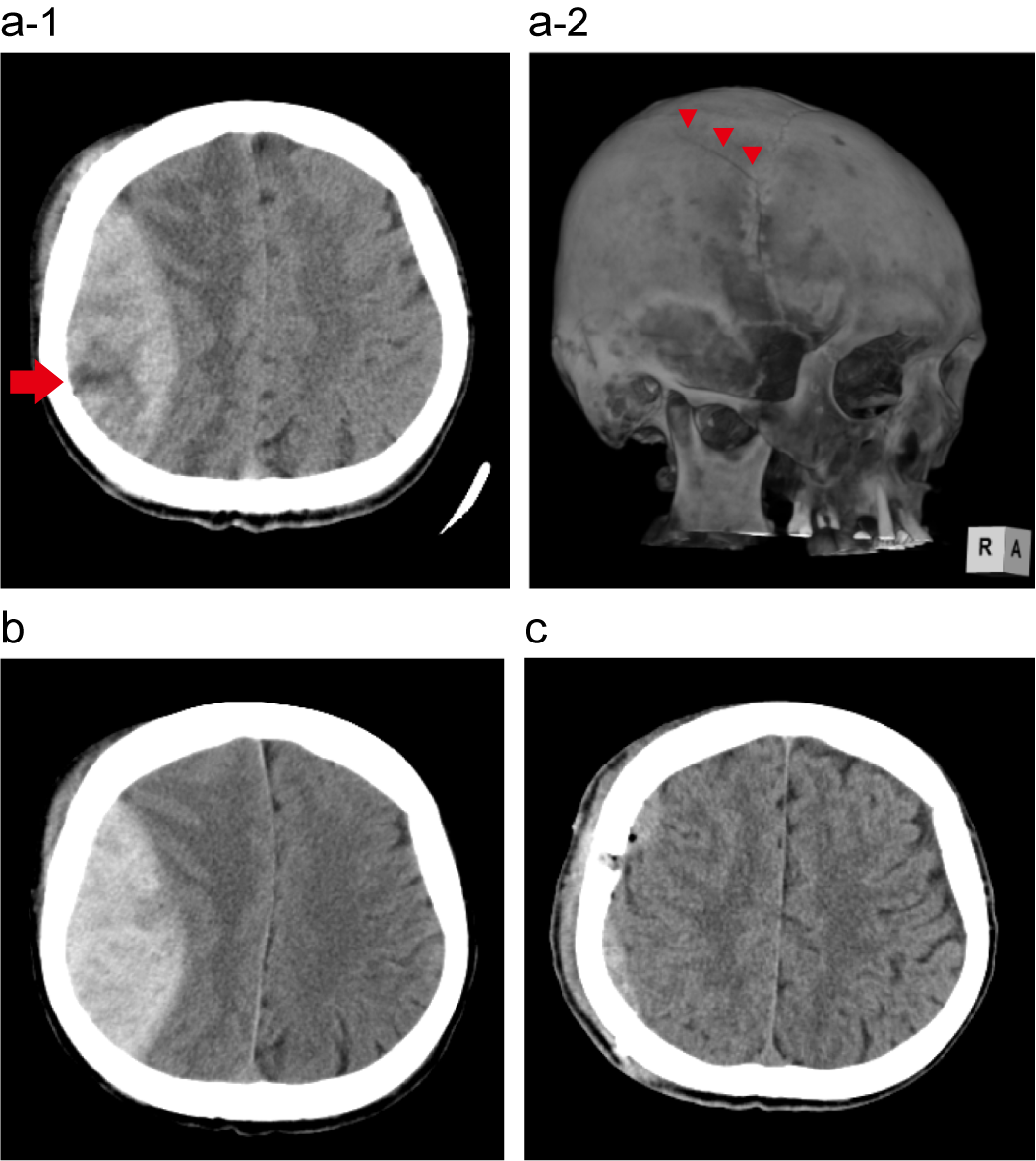
急性硬膜外血腫、みぎ頭頂骨骨折の症例

50歳代、男性。飲酒後に階段6段程度を転落し、右側頭部打撲し前医から救急搬送された。
a. 受傷直後の頭部CT。みぎ側頭-頭頂部に内部一部低吸収値を伴う(a-1:矢印、swirl sign)急性硬膜外血腫、みぎ頭頂骨骨折(a-2:3D再構成画像、矢頭)を認め、当院へ転送された。
b. 転送後の頭部CT。来院時は酩酊状態で意識障害の評価は困難であったが、軽度ひだり片麻痺および血腫の増大を認め、緊急手術後に入院となった。術所見で中硬膜動脈からの出血を認めたため、十分に止血処理を行い、脳腫脹は認めなかったため型通りに閉頭した。
c. 術後1週間の頭部CT。合併脳損傷なども認めず、術後10日で独歩退院となった。
出典
img
1: 著者提供

硬膜外血腫

左側頭部皮下血腫直下に凸レンズ状の高吸収域を認める。
出典
img
1: 著者提供

急性硬膜外血腫の緊急手術症例

a:術前頭部CT。左急性硬膜外血腫(矢頭・黄)、右硬膜下血腫(矢頭・赤)、右前頭葉脳挫傷(矢印・赤)。正中偏位を8 mm認める(矢印・黄)。
b:骨条件CT。頭蓋骨骨折は明らかでない。
c:術中写真(向かって右が顔、手前が頭頂)。皮弁(*)翻転後、左頭頂骨に線状骨折を認めた(矢印・黄)。
d:術中写真。開頭後、骨折直下に硬膜外血腫を認める(矢印・黄)。
e:術中写真。血腫洗浄除去後。硬膜表面を十分に焼灼止血している。
f:術直後。硬膜外血腫は除去され正中偏位も改善している。対側の硬膜下血腫(矢頭・赤)、脳挫傷(矢印・赤)に変化はなかった。
g:右慢性硬膜下血腫の増加を認め(矢頭・赤)、5㎜程度の正中偏位も認める。
出典
img
1: 著者提供

救急搬送時の外傷重症度・緊急度判断基準

出典
img
1: 救急振興財団:救急搬送における重症度・緊急度判断基準作成委員会報告書、p5、2004.

外傷病院到着前救護におけるロード&ゴーの判断基準

出典
img
1: JPTEC協議会著:JPTECガイドブック改定第2版. へるす出版 2016;p19

頭部外傷初療時の頭部CT撮影のタイミング

他部位の致命的な外傷が否定されるまでは外傷初期診療ガイドライン(JATEC)のアルゴリズムに従うことが望ましい。
GCS:8点以下(JCS:30以上)、急速な意識レベル低下(GCS:2点以上の低下)、脳ヘルニア徴候を伴う意識障害を「切迫するD」と表現する。
出典
img
1: 日本外傷学会・日本救急医学会監修:外傷初期診療ガイドラインJATEC改訂第6版、p139、へるす出版、2021.

ABCDEs アプローチ

ABCDEs アプローチとはAirway(気道)、Breathing(呼吸)、Circulation(循環)、Dysfunction of CNS(中枢神経異常)、Exposure & environmental control(全身観察と体温管理)の頭文字をつなげたPrimary Survey 法である。ABCの安定が最優先される。