Proliferative diabetic retinopathy(増殖糖尿病網膜症)
出典
1:
高木均先生ご提供
Central retinal artery occlusion(CRAO、網膜中心動脈閉塞症)
Cherry red spotを認める
出典
1:
高木均先生ご提供
Branch retinal vein occlusion(BRVO、網膜静脈分枝閉塞症)
出典
1:
高木均先生ご提供
Optic neuritis(視神経炎)
a:視神経炎 乳頭浮腫
b:虚血性視神経症 乳頭蒼白浮腫
出典
1:
高木均先生ご提供
Age-related macular degeneration(加齢黄斑変性症)
黄斑部に網膜下出血、色素上皮剝離を認める
出典
1:
高木均先生ご提供
Epimacular membrane(黄斑上膜)
黄斑上膜と網膜皺襞を認める
出典
1:
高木均先生ご提供
Macular hole(黄斑円孔)
出典
1:
高木均先生ご提供
Central serous chorioretinopathy(中心性漿液性脈絡網膜症)
黄斑部に限局性剝離を認める
出典
1:
高木均先生ご提供
Retinal detachment(網膜剥離)
網膜裂孔と胞状網膜剥離を認める
出典
1:
Kanski: Clinical Diagnosis in Ophthalmology, 1st ed.
Bechet’s disease(ベーチェット病)
a:前房蓄膿
b:網膜血管炎
出典
1:
所敬, 金井淳編:現代の眼科学 改訂第5版. 金原出版,1993 a: P160 図7-10-a, b: P161 図7-12
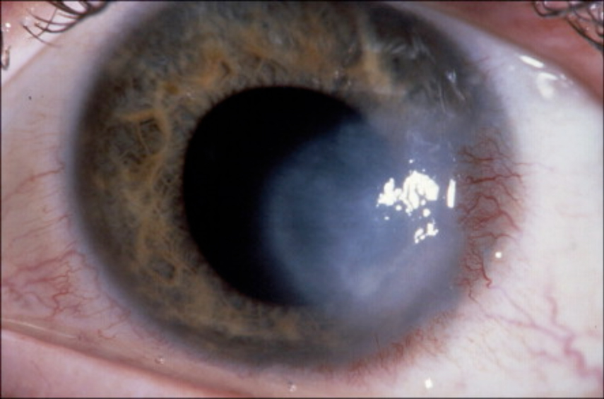
Acute angle-closure glaucoma(急性閉塞隅角緑内障)
出典
1:
Yanoff & Duker: Ophthalmology, 3rd ed.
網脈絡膜炎
眼底検査でトキソプラズマ性網脈絡膜炎の特徴と考えられた網膜病変の形態。通常、活発な白色浸潤病巣は古い瘢痕の濃く色素沈着した縁部に隣接する。
出典
1:
Goldman: Goldman's Cecil Medicine, 24th ed.
円盤状角膜炎
出典
1:
Yanoff & Duker: Ophthalmology, 3rd ed.
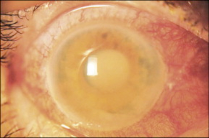
白内障
出典
1:
Yanoff M, Duker JS: Ophthalmology, 2nd ed. St. Louis, Mosby, 2004.
網膜中心動脈閉塞症
網膜中心動脈閉塞症。黄斑の中心部に鮮紅色の点があり、網膜の周囲が白色になっている点に注意。
出典
1:
Bradley: Neurology in Clinical Practice, 5th ed.
網膜中心静脈閉塞症
網膜中心静脈閉塞症。「血と雷」のような外観に注意。
出典
1:
Marx: Rosen's Emergency Medicine, 7th ed.
乳頭炎
急性視神経炎に伴う視神経乳頭腫脹(乳頭炎).
出典
1:
Yanoff & Duker: Ophthalmology, 3rd ed.
虚血性視神経症
前部虚血性視神経症。視神経乳頭が淡色のびまん性浮腫を示す。
出典
1:
Yanoff & Duker: Ophthalmology, 3rd ed.
外傷性視神経症の顔面写真
出典
1:
Liu: Neuro-Ophthalmology, 2nd ed.
典型例
出典
1:
著者提供
難渋例
出典
1:
著者提供
急性視力低下の診断のフローチャート
出典
1:
高木均先生ご提供
緩徐な視力低下
出典
1:
高木均先生ご提供