今日の臨床サポート 今日の臨床サポート

著者: 小平真幸 慶應義塾大学医学部循環器内科

監修: 石津智子 筑波大学医学医療系循環器内科

著者校正/監修レビュー済:2024/05/15
参考ガイドライン:
  1. 米国心臓協会(AHA)/米国心臓病学会(ACC):2018 AHA/ACC Guideline for the Management of Adults With Congenital Heart Disease: Executive Summary: A Report of the American College of Cardiology/American Heart Association Task Force on Clinical Practice Guidelines.
  1. 欧州心臓学会(ESC):2020 ESC Guidelines for the management of adult congenital heart disease.
  1. 欧州心臓学会(ESC):2018 ESC Guidelines for the management of cardiovascular diseases during pregnancy.
患者向け説明資料

改訂のポイント:
  1. 先天性心疾患患者の予後が改善し、また治療が進歩した今、成人先天性心疾患患者を適切に診療することが求められている。
  1. 本稿では単純性先天性心疾患のうち、日常診療で遭遇しうる代表的な疾患を取り上げ、評価、経過観察、専門施設への紹介のポイントを解説する。
  1. 併せて各疾患の典型例と難治例も紹介する。

概要・推奨   

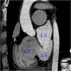
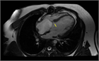
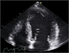
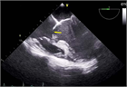
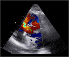
心室中隔欠損症(Ventricular Septal Defect, VSD)
  1. 成人循環器内科医が診るVSDのほとんどは小欠損孔のrestrictive VSDとなる。なかにはsmall-moderate size(小~中欠損孔)restrictive VSDで小児期には血行動態的に影響がなかったが、成人期に心室コンプライアンス低下や体血管抵抗の上昇により左→右シャントが増加して左室拡大をきたすことがある。
  1. 必要な検査と所見:身体所見、心エコー
  1. 大動脈弁閉鎖不全症、肺高血圧合併例は専門施設への紹介を検討する。
アカウントをお持ちの方はログイン
閲覧にはご契
閲覧にはご契約が必要となりま す。閲覧には ご契約が必要と なります。閲覧にはご契約が必要となります。閲 覧にはご契約が必要となります
  1. 閲覧にはご契約が必要となります。閲覧にはご契約が必要となります。閲覧にはご契約が必要となります。閲覧にはご契約が必要となります。閲覧にはご契約が必要となります。閲覧にはご契約が必要となります。閲覧にはご契約が必要となります。閲覧に
  1. 閲覧にはご契約が必要となります。閲覧にはご契約が必要と
  1. 閲覧にはご契約が必要となります。閲覧にはご契約が必要とな ります。閲覧にはご契約が必要となります。閲覧にはご契約が必要となります。閲覧にはご契約が必要となります。閲覧にはご契約が必要となります。閲覧に
閲覧にはご契
閲覧にはご契約が必要となります。閲覧 には ご契約 が必要となり ます。閲覧に
  1. 閲覧にはご契約が必要となります。閲覧にはご契約が必要となります。閲覧にはご契約が必要となります。閲覧にはご契約
  1. 閲覧にはご契約が必要となります。閲覧にはご契約が必要となります。閲覧
  1. 閲覧にはご契約が必要となります。閲覧にはご契約が必要となります。閲覧にはご契約が
閲覧にはご契
閲覧にはご契約が必要となります 。閲覧にはご契約が 必要となります。閲 覧には
  1. 閲覧にはご契約が必要となります。閲覧にはご契約が必要となります。閲覧にはご契約が必要となります。閲覧にはご契約が必要となります。閲覧にはご契約が必要となります。閲覧にはご契約が必
  1. 閲覧にはご契約が必要となります。閲覧
  1. 閲覧にはご契約が必要となります。閲覧にはご契約が必要となります。閲覧にはご契約が

これより先の閲覧には個人契約のトライアルまたはお申込みが必要です。

最新のエビデンスに基づいた二次文献データベース「今日の臨床サポート」。
常時アップデートされており、最新のエビデンスを各分野のエキスパートが豊富な図表や処方・検査例を交えて分かりやすく解説。日常臨床で遭遇するほぼ全ての症状・疾患から薬剤・検査情報まで瞬時に検索可能です。

まずは15日間無料トライアル
本サイトの知的財産権は全てエルゼビアまたはコンテンツのライセンサーに帰属します。私的利用及び別途規定されている場合を除き、本サイトの利用はいかなる許諾を与えるものでもありません。 本サイト、そのコンテンツ、製品およびサービスのご利用は、お客様ご自身の責任において行ってください。本サイトの利用に基づくいかなる損害についても、エルゼビアは一切の責任及び賠償義務を負いません。 また、本サイトの利用を以て、本サイト利用者は、本サイトの利用に基づき第三者に生じるいかなる損害についても、エルゼビアを免責することに合意したことになります。  本サイトを利用される医学・医療提供者は、独自の臨床的判断を行使するべきです。本サイト利用者の判断においてリスクを正当なものとして受け入れる用意がない限り、コンテンツにおいて提案されている検査または処置がなされるべきではありません。 医学の急速な進歩に鑑み、エルゼビアは、本サイト利用者が診断方法および投与量について、独自に検証を行うことを推奨いたします。
薬剤監修について:
オーダー内の薬剤用量は日本医科大学付属病院 薬剤部 部長 伊勢雄也 以下、渡邉裕次、井ノ口岳洋、梅田将光および日本医科大学多摩永山病院 副薬剤部長 林太祐による疑義照会のプロセスを実施、疑義照会の対象については著者の方による再確認を実施しております。
※薬剤中分類、用法、同効薬、診療報酬は、エルゼビアが独自に作成した薬剤情報であり、 著者により作成された情報ではありません。
尚、用法は添付文書より、同効薬は、薬剤師監修のもとで作成しております。
※同効薬・小児・妊娠および授乳中の注意事項等は、海外の情報も掲載しており、日本の医療事情に適応しない場合があります。
※薬剤情報の(適外/適内/⽤量内/⽤量外/㊜)等の表記は、エルゼビアジャパン編集部によって記載日時にレセプトチェックソフトなどで確認し作成しております。ただし、これらの記載は、実際の保険適応の査定において保険適応及び保険適応外と判断されることを保証するものではありません。また、検査薬、輸液、血液製剤、全身麻酔薬、抗癌剤等の薬剤は保険適応の記載の一部を割愛させていただいています。
(詳細はこちらを参照)
著者のCOI(Conflicts of Interest)開示:
小平真幸 : 未申告[2024年]
監修:石津智子 : 講演料(ヤンセンファーマ(株)),奨学(奨励)寄付など(日本ベーリンガーインゲルハイム(株)),企業などが提供する寄付講座(日本ライフライン(株),(株)アステック,日本メドトロニック(株),アボットメディカルジャパン合同会社,ディーブイエックス(株),ボストン・サイエンティフィックジャパン(株),バイオトロニックジャパン(株))[2024年]

ページ上部に戻る

戻る

さらなるご利用にはご登録が必要です。

こちらよりご契約または優待日間無料トライアルお申込みをお願いします。

(※トライアルご登録は1名様につき、一度となります)


ご契約の場合はご招待された方だけのご優待特典があります。

以下の優待コードを入力いただくと、

契約期間が通常12ヵ月のところ、14ヵ月ご利用いただけます。

優待コード: (利用期限:まで)

ご契約はこちらから