今日の臨床サポート 今日の臨床サポート

著者: 玉城裕行 奈良県立医科大学 腎臓内科学

著者: 鶴屋和彦 奈良県立医科大学 腎臓内科学

監修: 岡田浩一 埼玉医科大学 腎臓内科

著者校正/監修レビュー済:2025/09/17
参考ガイドライン:
  1. KDIGO:KDIGO 2021 Clinical Practice Guideline for the Management of Glomerular Diseases
患者向け説明資料

改訂のポイント:
  1. 定期レビューを行い、『KDIGO 2021 Clinical Practice Guideline for the Management of Glomerular Disease』を参考に加筆・修正を行った。主な改訂は以下となる。
  1. 近年増加傾向にあるブドウ球菌関連糸球体腎炎とIgA優位沈着性感染関連糸球体腎炎について加筆修正を行った。
  1. 感染性心内膜炎に関連した腎炎やシャント腎炎に関する知見の加筆修正を行った。

概要・推奨   

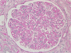
  1. 従来、急性糸球体腎炎の先行感染の大多数は溶連菌であり、多くの症例で腎炎発症時にすでに溶連菌感染が治癒しているため、溶連菌感染後急性糸球体腎炎と呼称されてきた。
  1. 近年、腎炎発症時に感染が終息することなく進行中であることが多いため、より広く感染関連糸球体腎炎と総称されるようになった。
  1. 細菌による感染関連糸球体腎炎としては主に溶連菌感染後急性糸球体腎炎、シャント腎炎、感染性心内膜炎による腎炎、IgA優位沈着性感染関連糸球体腎炎がある。
アカウントをお持ちの方はログイン
  1. 閲覧にはご契約が必要となります。閲覧にはご契約が必要となります。閲覧にはご契約が必要となります。閲覧にはご契約が必要となります。閲覧にはご契約が必要となりま
  1. 閲覧にはご契約が必要となります。閲覧にはご契約が必要となります。閲覧にはご契約が必要となります。閲覧にはご契約が必要とな
  1. 閲覧にはご契約が必要となります。閲覧にはご契約が必要となります。閲覧にはご契約が必要となります。閲覧にはご契約が必要となります。閲覧にはご契約
  1. 閲覧にはご契約が必要となります。閲覧にはご契約が必要となります。閲覧にはご契約が必要となります。閲覧にはご契約が必要となります。閲覧にはご契約が必要となります
  1. 閲覧にはご契約が必要となります。閲覧にはご契約が必要となります。閲覧にはご契約が必要となります。閲覧にはご契約が必要となります。閲覧にはご契約が必要となります。閲覧にはご契約が必要となります。閲覧にはご契約が必要となります。閲
  1. 閲覧にはご契約が必要となります。閲覧にはご契約が必要となります。閲覧にはご契約が必要
  1. C3変換酵素の構成因子であるFactor Bに対する自己抗体が一過性に存在することにより、補体の代替経路が活性化される[1]
  1. 溶連菌感染後急性糸球体腎炎の急性期治療は、適切な血圧管理と体液管理が望ましい(推奨度1、OG)。重篤な腎機能障害を来した場合の免疫抑制療法については、効果が証明されていないため、使用の際にはリスクとベネフィットを比較検討する[2]
  1. 治療の基本は対症療法になるが、6カ月以上1 g/日以上の尿蛋白が持続する例は予後不良で、アンジオテンシン変換酵素(ACE)阻害薬やアンジオテンシンII受容体拮抗薬(ARB)を投与する(推奨度1、OG)。また、広範囲に半月体が認められ、急速進行性糸球体腎炎の経過を呈する場合、ステロイドパルス療法を考慮する(推奨度2、OG)[3]

これより先の閲覧には個人契約のトライアルまたはお申込みが必要です。

最新のエビデンスに基づいた二次文献データベース「今日の臨床サポート」。
常時アップデートされており、最新のエビデンスを各分野のエキスパートが豊富な図表や処方・検査例を交えて分かりやすく解説。日常臨床で遭遇するほぼ全ての症状・疾患から薬剤・検査情報まで瞬時に検索可能です。

まずは15日間無料トライアル
本サイトの知的財産権は全てエルゼビアまたはコンテンツのライセンサーに帰属します。私的利用及び別途規定されている場合を除き、本サイトの利用はいかなる許諾を与えるものでもありません。 本サイト、そのコンテンツ、製品およびサービスのご利用は、お客様ご自身の責任において行ってください。本サイトの利用に基づくいかなる損害についても、エルゼビアは一切の責任及び賠償義務を負いません。 また、本サイトの利用を以て、本サイト利用者は、本サイトの利用に基づき第三者に生じるいかなる損害についても、エルゼビアを免責することに合意したことになります。  本サイトを利用される医学・医療提供者は、独自の臨床的判断を行使するべきです。本サイト利用者の判断においてリスクを正当なものとして受け入れる用意がない限り、コンテンツにおいて提案されている検査または処置がなされるべきではありません。 医学の急速な進歩に鑑み、エルゼビアは、本サイト利用者が診断方法および投与量について、独自に検証を行うことを推奨いたします。
薬剤監修について:
オーダー内の薬剤用量は日本医科大学付属病院 薬剤部 部長 伊勢雄也 以下、渡邉裕次、井ノ口岳洋、梅田将光および日本医科大学多摩永山病院 副薬剤部長 林太祐による疑義照会のプロセスを実施、疑義照会の対象については著者の方による再確認を実施しております。
※薬剤中分類、用法、同効薬、診療報酬は、エルゼビアが独自に作成した薬剤情報であり、 著者により作成された情報ではありません。
尚、用法は添付文書より、同効薬は、薬剤師監修のもとで作成しております。
※同効薬・小児・妊娠および授乳中の注意事項等は、海外の情報も掲載しており、日本の医療事情に適応しない場合があります。
※薬剤情報の(適外/適内/⽤量内/⽤量外/㊜)等の表記は、エルゼビアジャパン編集部によって記載日時にレセプトチェックソフトなどで確認し作成しております。ただし、これらの記載は、実際の保険適応の査定において保険適応及び保険適応外と判断されることを保証するものではありません。また、検査薬、輸液、血液製剤、全身麻酔薬、抗癌剤等の薬剤は保険適応の記載の一部を割愛させていただいています。
(詳細はこちらを参照)
著者のCOI(Conflicts of Interest)開示:
鶴屋和彦 : 未申告[2024年]
監修:岡田浩一 : 講演料(アステラス製薬(株),協和キリン(株),第一三共(株),アストラゼネカ(株),日本ベーリンガーインゲルハイム(株),小野薬品工業(株),ファイザー(株),田辺三菱製薬(株),鳥居薬品(株)),研究費・助成金など(バイエル薬品(株),中外製薬(株))[2025年]

ページ上部に戻る

戻る

さらなるご利用にはご登録が必要です。

こちらよりご契約または優待日間無料トライアルお申込みをお願いします。

(※トライアルご登録は1名様につき、一度となります)


ご契約の場合はご招待された方だけのご優待特典があります。

以下の優待コードを入力いただくと、

契約期間が通常12ヵ月のところ、14ヵ月ご利用いただけます。

優待コード: (利用期限:まで)

ご契約はこちらから