今日の臨床サポート 今日の臨床サポート

著者: 西川光重 神甲会 隈病院

監修: 平田結喜緒 公益財団法人 兵庫県予防医学協会 健康ライフプラザ

著者校正/監修レビュー済:2025/12/10
参考ガイドライン:
  1. 日本甲状腺学会亜急性甲状腺炎(急性期)の診断ガイドライン2024(2024年11月21日改定)
  1. 米国甲状腺学会(ATA):甲状腺中毒症の診断と治療ガイドライン2016(2016 American Thyroid Association Guidelines for diagnosis and management of hyperthyroidism and other causes of thyrotoxicosis)
患者向け説明資料

改訂のポイント:
  1. 日本甲状腺学会の『亜急性甲状腺炎(急性期)の診断ガイドライン』(2024年11月)の改定に伴い、記述を修正した。
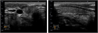
  1. 典型例および治療中にクリーピング現象を起こした例について、データと画像を提示して解説した。
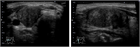
  1. 亜急性甲状腺炎急性期の甲状腺エコー画像をわかりやすいものに差し替えた。
  1. 適宜、本文中の文言を修正した。

概要・推奨   

  1. 発熱や甲状腺部疼痛などの症状を有する亜急性甲状腺炎患者は、禁忌がなければステロイド薬で治療する。症状の軽い場合は非ステロイド抗炎症薬(NSAIDs)で治療しても良い。中等~高度の甲状腺中毒症症状のある患者にはβ遮断薬を併用する(推奨度2)
  1. 日本人亜急性甲状腺炎には副腎皮質ステロイド薬(プレドニゾロン(プレドニン) 初期量 15 mg)が奏効する(推奨度2)
  1. ステロイド群とNSAIDs群を比較すると、疾患持続期間はステロイド群が短いが、経過中の甲状腺機能低下症期間、FT4頂値、TSH最高値には差がない。

これより先の閲覧には個人契約のトライアルまたはお申込みが必要です。

最新のエビデンスに基づいた二次文献データベース「今日の臨床サポート」。
常時アップデートされており、最新のエビデンスを各分野のエキスパートが豊富な図表や処方・検査例を交えて分かりやすく解説。日常臨床で遭遇するほぼ全ての症状・疾患から薬剤・検査情報まで瞬時に検索可能です。

まずは15日間無料トライアル
本サイトの知的財産権は全てエルゼビアまたはコンテンツのライセンサーに帰属します。私的利用及び別途規定されている場合を除き、本サイトの利用はいかなる許諾を与えるものでもありません。 本サイト、そのコンテンツ、製品およびサービスのご利用は、お客様ご自身の責任において行ってください。本サイトの利用に基づくいかなる損害についても、エルゼビアは一切の責任及び賠償義務を負いません。 また、本サイトの利用を以て、本サイト利用者は、本サイトの利用に基づき第三者に生じるいかなる損害についても、エルゼビアを免責することに合意したことになります。  本サイトを利用される医学・医療提供者は、独自の臨床的判断を行使するべきです。本サイト利用者の判断においてリスクを正当なものとして受け入れる用意がない限り、コンテンツにおいて提案されている検査または処置がなされるべきではありません。 医学の急速な進歩に鑑み、エルゼビアは、本サイト利用者が診断方法および投与量について、独自に検証を行うことを推奨いたします。
薬剤監修について:
オーダー内の薬剤用量は日本医科大学付属病院 薬剤部 部長 伊勢雄也 以下、渡邉裕次、井ノ口岳洋、梅田将光および日本医科大学多摩永山病院 副薬剤部長 林太祐による疑義照会のプロセスを実施、疑義照会の対象については著者の方による再確認を実施しております。
※薬剤中分類、用法、同効薬、診療報酬は、エルゼビアが独自に作成した薬剤情報であり、 著者により作成された情報ではありません。
尚、用法は添付文書より、同効薬は、薬剤師監修のもとで作成しております。
※同効薬・小児・妊娠および授乳中の注意事項等は、海外の情報も掲載しており、日本の医療事情に適応しない場合があります。
※薬剤情報の(適外/適内/⽤量内/⽤量外/㊜)等の表記は、エルゼビアジャパン編集部によって記載日時にレセプトチェックソフトなどで確認し作成しております。ただし、これらの記載は、実際の保険適応の査定において保険適応及び保険適応外と判断されることを保証するものではありません。また、検査薬、輸液、血液製剤、全身麻酔薬、抗癌剤等の薬剤は保険適応の記載の一部を割愛させていただいています。
(詳細はこちらを参照)
著者のCOI(Conflicts of Interest)開示:
西川光重 : 特に申告事項無し[2024年]
監修:平田結喜緒 : 特に申告事項無し[2025年]

ページ上部に戻る

戻る

さらなるご利用にはご登録が必要です。

こちらよりご契約または優待日間無料トライアルお申込みをお願いします。

(※トライアルご登録は1名様につき、一度となります)


ご契約の場合はご招待された方だけのご優待特典があります。

以下の優待コードを入力いただくと、

契約期間が通常12ヵ月のところ、14ヵ月ご利用いただけます。

優待コード: (利用期限:まで)

ご契約はこちらから