今日の臨床サポート 今日の臨床サポート

著者: 安部貴大 自治医科大学医学部総合医学第2講座/附属さいたま医療センター歯科口腔外科

監修: 近津大地 東京医科大学

著者校正済:2025/11/26
現在監修レビュー中
患者向け説明資料

改訂のポイント:
  1. 定期レビューを行い、構成を見直した。
  1. アフタ性口内炎の内容を充実させ、まとめなおした。
  1. 国内外のシステマティックレビューから最新の知見を盛り込んだ。
  1. アフタ性口内炎か否かを軸としたフローチャートに従い、治療法のアップデートを行った。

概要・推奨   

病態
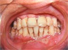
  1. アフタ性、カタル性、潰瘍性、壊疽性、疱疹性があり、主な病因にはストレス、がん治療関連(放射性、抗がん剤)、感染性(ウイルス・細菌・真菌)、自己免疫性(ベーチェット病など)、義歯性、ニコチン性、薬剤性(主に抗菌薬、解熱消炎鎮痛剤、抗てんかん薬など)などが挙げられ、アフタ性口内炎の頻度が最も高い。
  1. 全身疾患に伴う一症状として口内炎を生じる場合がある(口腔扁平苔癬、天疱瘡・類天疱瘡、多形滲出紅班、セリアック病、クローン病など)。
アカウントをお持ちの方はログイン
  1. アフタ性口内炎患者におけるVeillonellaおよびStreptococcusの菌数は、特に中年患者において回復および進行と強く相関している[1]
  1. 活性酸素と抗酸化システムの不均衡によって引き起こされる酸化ストレスも、アフタ性口内炎の病態形成に関与しているようである。喫煙、鉄分やビタミンの欠乏、不安など複数の危険因子が発症に関与する可能性がある[7]
  1. 低血清亜鉛レベルとアフタ性口内炎発症との間に有意な関連性を示唆している[3]
閲覧
閲覧には
  1. 閲覧にはご契約が必要となります。閲覧にはご契約が必要となります。閲覧にはご 契約が必要となります。
  1. 閲覧にはご契約が必要となります。閲覧にはご契約が必要となります。閲覧にはご契約
閲覧
  1. 閲覧にはご契約が必要となります。閲覧にはご契約が必要となります。閲覧にはご契約が必要
  1. 閲覧にはご契約が必要となります。閲覧にはご契約が必要となります。閲覧にはご契約が必要となりま
  1. 閲覧にはご契約が必要となります。閲覧にはご契約が必要となります。閲覧には
  1. 閲覧にはご契約が必要となります。閲覧にはご契約が必要となります。閲覧にはご
  1. 閲覧にはご契約が必要となります。閲覧にはご契約が必要となります。閲覧にはご
閲覧には
  1. 閲覧にはご契約が必要となります。閲覧にはご契約が必要となります。閲覧にはご契約
  1. 閲覧にはご契約が必要となります。閲覧にはご契約が必要となります。閲覧にはご契約が必要となります。閲覧にはご契約が必要となります
  1. 閲覧にはご契約が必要となります。閲覧にはご契約が必要となりま
  1. 従来治療に加え、特に各種レーザーを含む他の治療法を検討すべきである[4](推奨度3S/CS)

これより先の閲覧には個人契約のトライアルまたはお申込みが必要です。

最新のエビデンスに基づいた二次文献データベース「今日の臨床サポート」。
常時アップデートされており、最新のエビデンスを各分野のエキスパートが豊富な図表や処方・検査例を交えて分かりやすく解説。日常臨床で遭遇するほぼ全ての症状・疾患から薬剤・検査情報まで瞬時に検索可能です。

まずは15日間無料トライアル
本サイトの知的財産権は全てエルゼビアまたはコンテンツのライセンサーに帰属します。私的利用及び別途規定されている場合を除き、本サイトの利用はいかなる許諾を与えるものでもありません。 本サイト、そのコンテンツ、製品およびサービスのご利用は、お客様ご自身の責任において行ってください。本サイトの利用に基づくいかなる損害についても、エルゼビアは一切の責任及び賠償義務を負いません。 また、本サイトの利用を以て、本サイト利用者は、本サイトの利用に基づき第三者に生じるいかなる損害についても、エルゼビアを免責することに合意したことになります。  本サイトを利用される医学・医療提供者は、独自の臨床的判断を行使するべきです。本サイト利用者の判断においてリスクを正当なものとして受け入れる用意がない限り、コンテンツにおいて提案されている検査または処置がなされるべきではありません。 医学の急速な進歩に鑑み、エルゼビアは、本サイト利用者が診断方法および投与量について、独自に検証を行うことを推奨いたします。
薬剤監修について:
オーダー内の薬剤用量は日本医科大学付属病院 薬剤部 部長 伊勢雄也 以下、渡邉裕次、井ノ口岳洋、梅田将光および日本医科大学多摩永山病院 副薬剤部長 林太祐による疑義照会のプロセスを実施、疑義照会の対象については著者の方による再確認を実施しております。
※薬剤中分類、用法、同効薬、診療報酬は、エルゼビアが独自に作成した薬剤情報であり、 著者により作成された情報ではありません。
尚、用法は添付文書より、同効薬は、薬剤師監修のもとで作成しております。
※同効薬・小児・妊娠および授乳中の注意事項等は、海外の情報も掲載しており、日本の医療事情に適応しない場合があります。
※薬剤情報の(適外/適内/⽤量内/⽤量外/㊜)等の表記は、エルゼビアジャパン編集部によって記載日時にレセプトチェックソフトなどで確認し作成しております。ただし、これらの記載は、実際の保険適応の査定において保険適応及び保険適応外と判断されることを保証するものではありません。また、検査薬、輸液、血液製剤、全身麻酔薬、抗癌剤等の薬剤は保険適応の記載の一部を割愛させていただいています。
(詳細はこちらを参照)
著者のCOI(Conflicts of Interest)開示:
安部貴大 : 特に申告事項無し[2025年]
監修:近津大地 : 特に申告事項無し[2025年]

ページ上部に戻る

戻る

さらなるご利用にはご登録が必要です。

こちらよりご契約または優待日間無料トライアルお申込みをお願いします。

(※トライアルご登録は1名様につき、一度となります)


ご契約の場合はご招待された方だけのご優待特典があります。

以下の優待コードを入力いただくと、

契約期間が通常12ヵ月のところ、14ヵ月ご利用いただけます。

優待コード: (利用期限:まで)

ご契約はこちらから