今日の臨床サポート 今日の臨床サポート

著者: 平野徹 新潟大学地域医療教育センター 魚沼基幹病院整形

監修: 酒井昭典 産業医科大学 整形外科学教室

著者校正/監修レビュー済:2025/10/29
参考ガイドライン:
  1. 日本ペインクリニック学会:神経障害性疼痛薬物療法ガイドライン 改訂第2版
  1. 米国脳神経外科コングレス(Congress of Neurological Surgeons):Systematic review and evidence-based guidelines for patients with Chari malformation
患者向け説明資料

改訂のポイント:
  1. 定期レビューを行い、以下について加筆・修正した。
  1. 『神経障害性疼痛薬物療法ガイドライン改訂第2版 追補版』(2022年7月7日発行)にて、ミロガバリンがプレガバリンと同等に使用できるとの見解が追記されたため、加筆した。
  1. 脊髄空洞症の原因として頻度の高いChiari奇形に関するガイドラインが2023年に米国脳神経外科コングレス(Congress of Neurological Surgeons(CNS))より提唱され、治療に関しては、大孔減圧術が第一選択だが、小脳扁桃への操作の併用も症状改善や空洞縮小に寄与する可能性があること、6~12か月後で空洞が縮小しない場合は追加手術を検討してもよいこと、術後症状が改善しても症状の確認や画像検査によるフォローアップが望ましい可能性があること、などが記載されたため、それに応じて加筆を行った[1][2][3]
  1. 厚生労働省「指定難病117脊髄空洞症」の記載に基づき診断基準を追記した。
  1. 小児慢性特定疾病制度による助成についても加筆した。
  1. 参考文献を追加した[4]
  1. Kentaro Naito, Toru Yamagata, Kenji Ohta, Toshihiro Takami. Safety and Efficacy of Syringoperitoneal Shunting with a Programmable Shunt Valve for Syringomyelia Associated with Extensive Spinal Adhesive Arachnoiditis:Technical Note World Neurosurg. 2019. Dec. 132:14-20.
 

概要・推奨   

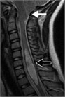
  1. 緩徐に発病、進行する四肢・体幹の感覚障害、筋力低下、または自律神経障害・脳神経症候を認める例、小児側弯例などでは脊髄空洞症も念頭に置き、詳細な神経学的検査やMRIなどの画像検査が推奨される(推奨度2)
  1. 進行例のみでなく、時に進行停止例や自然寛解例もあることを念頭におく(推奨度2)
  1. 症状が重篤で進行する場合には、病態に応じた適切な手術方法を選択することが推奨される(推奨度2)
アカウントをお持ちの方はログイン
  1. 閲覧にはご契約が必要となります。閲覧にはご契約が必要となります。閲覧

これより先の閲覧には個人契約のトライアルまたはお申込みが必要です。

最新のエビデンスに基づいた二次文献データベース「今日の臨床サポート」。
常時アップデートされており、最新のエビデンスを各分野のエキスパートが豊富な図表や処方・検査例を交えて分かりやすく解説。日常臨床で遭遇するほぼ全ての症状・疾患から薬剤・検査情報まで瞬時に検索可能です。

まずは15日間無料トライアル
本サイトの知的財産権は全てエルゼビアまたはコンテンツのライセンサーに帰属します。私的利用及び別途規定されている場合を除き、本サイトの利用はいかなる許諾を与えるものでもありません。 本サイト、そのコンテンツ、製品およびサービスのご利用は、お客様ご自身の責任において行ってください。本サイトの利用に基づくいかなる損害についても、エルゼビアは一切の責任及び賠償義務を負いません。 また、本サイトの利用を以て、本サイト利用者は、本サイトの利用に基づき第三者に生じるいかなる損害についても、エルゼビアを免責することに合意したことになります。  本サイトを利用される医学・医療提供者は、独自の臨床的判断を行使するべきです。本サイト利用者の判断においてリスクを正当なものとして受け入れる用意がない限り、コンテンツにおいて提案されている検査または処置がなされるべきではありません。 医学の急速な進歩に鑑み、エルゼビアは、本サイト利用者が診断方法および投与量について、独自に検証を行うことを推奨いたします。
薬剤監修について:
オーダー内の薬剤用量は日本医科大学付属病院 薬剤部 部長 伊勢雄也 以下、渡邉裕次、井ノ口岳洋、梅田将光および日本医科大学多摩永山病院 副薬剤部長 林太祐による疑義照会のプロセスを実施、疑義照会の対象については著者の方による再確認を実施しております。
※薬剤中分類、用法、同効薬、診療報酬は、エルゼビアが独自に作成した薬剤情報であり、 著者により作成された情報ではありません。
尚、用法は添付文書より、同効薬は、薬剤師監修のもとで作成しております。
※同効薬・小児・妊娠および授乳中の注意事項等は、海外の情報も掲載しており、日本の医療事情に適応しない場合があります。
※薬剤情報の(適外/適内/⽤量内/⽤量外/㊜)等の表記は、エルゼビアジャパン編集部によって記載日時にレセプトチェックソフトなどで確認し作成しております。ただし、これらの記載は、実際の保険適応の査定において保険適応及び保険適応外と判断されることを保証するものではありません。また、検査薬、輸液、血液製剤、全身麻酔薬、抗癌剤等の薬剤は保険適応の記載の一部を割愛させていただいています。
(詳細はこちらを参照)
著者のCOI(Conflicts of Interest)開示:
平野徹 : 特に申告事項無し[2025年]
監修:酒井昭典 : 講演料(旭化成ファーマ(株),帝人ヘルスケア(株))[2025年]

ページ上部に戻る

戻る

さらなるご利用にはご登録が必要です。

こちらよりご契約または優待日間無料トライアルお申込みをお願いします。

(※トライアルご登録は1名様につき、一度となります)


ご契約の場合はご招待された方だけのご優待特典があります。

以下の優待コードを入力いただくと、

契約期間が通常12ヵ月のところ、14ヵ月ご利用いただけます。

優待コード: (利用期限:まで)

ご契約はこちらから