今日の臨床サポート 今日の臨床サポート

著者: 橋本雅人 中村記念病院 眼科

監修: 沖波聡 倉敷中央病院眼科

著者校正/監修レビュー済:2025/10/29
参考ガイドライン:
  1. 日本甲状腺学会・日本内分泌学会・厚生労働省「ホルモン受容機構異常に関する調査研究」班、臨床重要課題「バセドウ病悪性眼球突出症の診断基準と治療指針」作成委員会(編):甲状腺眼症診療の手引き メディカルレビュー社 2020
患者向け説明資料

改訂のポイント:
  1. 定期レビューを行い、以下について加筆・修正した。
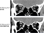
  1. 活動期の甲状腺眼症に対して完全ヒト型抗インスリン様成長因子1受容体(IGF-1R)阻害剤であるテプロツムマブの点滴静注治療が2024年11月にわが国で認可された
  1. 病名は甲状腺眼症、英語名はThyroid eye disease (TED)に統一された

概要・推奨   

  1. 甲状腺眼症の原因は、眼窩後組織における自己免疫性炎症である。甲状腺眼症は眼窩後組織内に存在する線維芽細胞が眼窩内に浸潤したリンパ球の標的細胞であり、その細胞表面には甲状腺刺激ホルモン受容体様構造やインシュリン成長因子(IGF-1)が見られる。活性化された線維芽細胞はその産物としてグルコサミノグリカンを蓄積する。これが眼球突出や外眼筋の線維化などの不可逆的変化をもたらす。
  1. 眼症を疑うポイント:眼瞼腫脹、眼球突出、眼窩部痛を診たら甲状腺眼症を疑い、他の眼窩疾患との鑑別を行うことが奨められる(推奨度1)
  1. 診断のポイント:眼瞼後退(Darlymple徴候)、眼瞼遅延(Graefe徴候)は甲状腺眼症に特徴的な眼瞼所見である。眼球運動障害は下直筋肥大による上転障害が多い(推奨度1)
アカウントをお持ちの方はログイン
  1. 閲覧にはご契約が必要となります。閲覧には ご契約が必要とな ります。閲覧にはご契約が必要となります。閲覧にはご契約が必要となります。閲覧にはご契約が必要とな ります。
  1. 閲覧にはご契約が必要となります。閲覧にはご契約が必要となります。閲覧にはご契約が必要となります。閲覧にはご契約が必要となります。閲覧にはご契約が必要と
  1. 閲覧にはご契約が必要となります。閲覧にはご契約が必要となります。閲覧にはご契約が必要となります。閲覧にはご契約が必要となります。閲覧にはご契約が必要となります。閲覧にはご契約が必要となります。閲覧には
  1. 閲覧にはご契約が必要となります。閲覧にはご契約が必要となります。閲覧にはご契約が必要となります。閲覧にはご契約が必要となり ます。閲覧
  1. 閲覧にはご契約が必要となります。閲覧にはご契約が必要となります。閲覧にはご契約が必要となります。閲覧にはご
  1. 閲覧にはご契約が必要となります。閲覧にはご契約が必要となります。閲覧にはご契約が必要となります。閲覧にはご契約が
  1. 閲覧にはご契約が必要となります。閲覧にはご契約が必要となります。閲覧にはご契約が必要となります。閲覧にはご契約が必
  1. 閲覧にはご契約が必要となります。閲覧にはご契約が必要となります。閲覧にはご契約が必要となります。閲覧にはご契約が必要となりま

これより先の閲覧には個人契約のトライアルまたはお申込みが必要です。

最新のエビデンスに基づいた二次文献データベース「今日の臨床サポート」。
常時アップデートされており、最新のエビデンスを各分野のエキスパートが豊富な図表や処方・検査例を交えて分かりやすく解説。日常臨床で遭遇するほぼ全ての症状・疾患から薬剤・検査情報まで瞬時に検索可能です。

まずは15日間無料トライアル
本サイトの知的財産権は全てエルゼビアまたはコンテンツのライセンサーに帰属します。私的利用及び別途規定されている場合を除き、本サイトの利用はいかなる許諾を与えるものでもありません。 本サイト、そのコンテンツ、製品およびサービスのご利用は、お客様ご自身の責任において行ってください。本サイトの利用に基づくいかなる損害についても、エルゼビアは一切の責任及び賠償義務を負いません。 また、本サイトの利用を以て、本サイト利用者は、本サイトの利用に基づき第三者に生じるいかなる損害についても、エルゼビアを免責することに合意したことになります。  本サイトを利用される医学・医療提供者は、独自の臨床的判断を行使するべきです。本サイト利用者の判断においてリスクを正当なものとして受け入れる用意がない限り、コンテンツにおいて提案されている検査または処置がなされるべきではありません。 医学の急速な進歩に鑑み、エルゼビアは、本サイト利用者が診断方法および投与量について、独自に検証を行うことを推奨いたします。
薬剤監修について:
オーダー内の薬剤用量は日本医科大学付属病院 薬剤部 部長 伊勢雄也 以下、渡邉裕次、井ノ口岳洋、梅田将光および日本医科大学多摩永山病院 副薬剤部長 林太祐による疑義照会のプロセスを実施、疑義照会の対象については著者の方による再確認を実施しております。
※薬剤中分類、用法、同効薬、診療報酬は、エルゼビアが独自に作成した薬剤情報であり、 著者により作成された情報ではありません。
尚、用法は添付文書より、同効薬は、薬剤師監修のもとで作成しております。
※同効薬・小児・妊娠および授乳中の注意事項等は、海外の情報も掲載しており、日本の医療事情に適応しない場合があります。
※薬剤情報の(適外/適内/⽤量内/⽤量外/㊜)等の表記は、エルゼビアジャパン編集部によって記載日時にレセプトチェックソフトなどで確認し作成しております。ただし、これらの記載は、実際の保険適応の査定において保険適応及び保険適応外と判断されることを保証するものではありません。また、検査薬、輸液、血液製剤、全身麻酔薬、抗癌剤等の薬剤は保険適応の記載の一部を割愛させていただいています。
(詳細はこちらを参照)
著者のCOI(Conflicts of Interest)開示:
橋本雅人  : 特に申告事項無し[2025年]
監修:沖波聡 : 特に申告事項無し[2025年]

ページ上部に戻る

戻る

さらなるご利用にはご登録が必要です。

こちらよりご契約または優待日間無料トライアルお申込みをお願いします。

(※トライアルご登録は1名様につき、一度となります)


ご契約の場合はご招待された方だけのご優待特典があります。

以下の優待コードを入力いただくと、

契約期間が通常12ヵ月のところ、14ヵ月ご利用いただけます。

優待コード: (利用期限:まで)

ご契約はこちらから