今日の臨床サポート 今日の臨床サポート

著者: 高橋裕 奈良県立医科大学 糖尿病・内分泌内科学講座

監修: 平田結喜緒 公益財団法人 兵庫県予防医学協会 健康ライフプラザ

著者校正済:2025/10/29
現在監修レビュー中
参考ガイドライン:
  1. 日本内分泌学会:間脳下垂体機能障害と先天性腎性尿崩症および関連疾患の診療ガイドライン2023年版
患者向け説明資料

改訂のポイント:
  1. 定期レビューを行い、文言の加筆修正をおこなった。
  1. 概要・推奨欄について、「病態」「診断のポイント」「治療のポイント」の見出しを立て、端的に内容を把握できるようにした。

概要・推奨   

病態
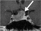
  1. 先端巨大症は成長ホルモン(GH)が慢性過剰に分泌されることにより引き起こされる。この過剰分泌のほとんどは良性のGH産生下垂体腫瘍が原因である。
  1. 症状には、特異的な所見である手足の容積の増大、先端巨大症様顔貌(眉弓部の膨隆、鼻・口唇の肥大、下顎の突出など)、巨大舌と発汗過多、頭痛、視力、視野障害、女性における月経異常、睡眠時無呼吸症候群、耐糖能異常、高血圧、不正咬合、変形性関節症、手根管症候群、頭蓋骨および手足の単純X線の異常などがある。
アカウントをお持ちの方はログイン
閲覧にはご契約
  1. 閲覧にはご契約が必要となります。閲覧にはご契約が必要となります
  1. 閲覧にはご契約が必要となります。閲覧にはご契約が必要となります。閲覧にはご契約が必要となります
  1. 閲 覧には
  1. 閲覧 にはご契約が必要
  1. 閲覧 にはご契約が必要となります。閲覧にはご契約が必要となります。閲覧
  1. 閲覧 にはご
  1. 閲 覧にはご
  1. 閲 覧にはご契約が必要となります。
閲覧にはご契約が必要となり ます。閲覧にはご契約が必要となります。閲覧にはご契約が 必要となりま
  1. 閲 覧にはご契約が 必要となります。閲覧にはご契約が必要となります。閲覧にはご契約が必要となります。閲覧にはご契約が必要となります。閲覧にはご契約が必要となります。閲覧にはご契約が必要となります。閲覧にはご契約
  1. 閲 覧にはご契約が必要となります。閲覧にはご契
  1. 閲 覧にはご契約が必要と
  1. 閲覧 にはご契
  1. 閲覧 には
  1. 閲覧 にはご契
  1. 閲覧 にはご契約が必要とな
  1. 閲覧 にはご契約が必要と
  1. 閲覧 にはご契約
  1. 閲覧 にはご
  1. 閲覧 にはご契
  1. 閲覧 にはご契約が
  1. 閲覧に はご契約が必
  1. 閲覧に はご契約が必要となります。閲覧にはご契約が必要となります。閲覧にはご契約が必要となります。閲覧にはご契約が必要となります。閲覧にはご契約が必要となります。閲覧にはご契約が必要となります。閲覧にはご契約が必要となります。 閲覧にはご契約が必要となります。閲覧
閲覧にはご契
  1. 閲覧にはご契約が必要となります。閲覧にはご
  1. 閲覧にはご契約が必要となります。閲覧にはご契約が必要となります。
閲覧にはご契約
  1. 閲覧にはご契約が必要となります。閲覧にはご契約が必要となります。閲覧にはご契約が必要となります。閲覧にはご契約が必要となります。閲
  1. 閲覧にはご契約が必要となります。閲覧にはご契約が必要となります。閲覧にはご契約が必要となります。閲覧にはご契約が必要とな
  1. 閲覧にはご契約が必要となります。閲覧にはご契約が必要となります。閲覧には ご契約が必要となります。閲覧にはご契約が必要となります。閲覧には
閲覧にはご契

これより先の閲覧には個人契約のトライアルまたはお申込みが必要です。

最新のエビデンスに基づいた二次文献データベース「今日の臨床サポート」。
常時アップデートされており、最新のエビデンスを各分野のエキスパートが豊富な図表や処方・検査例を交えて分かりやすく解説。日常臨床で遭遇するほぼ全ての症状・疾患から薬剤・検査情報まで瞬時に検索可能です。

まずは15日間無料トライアル
本サイトの知的財産権は全てエルゼビアまたはコンテンツのライセンサーに帰属します。私的利用及び別途規定されている場合を除き、本サイトの利用はいかなる許諾を与えるものでもありません。 本サイト、そのコンテンツ、製品およびサービスのご利用は、お客様ご自身の責任において行ってください。本サイトの利用に基づくいかなる損害についても、エルゼビアは一切の責任及び賠償義務を負いません。 また、本サイトの利用を以て、本サイト利用者は、本サイトの利用に基づき第三者に生じるいかなる損害についても、エルゼビアを免責することに合意したことになります。  本サイトを利用される医学・医療提供者は、独自の臨床的判断を行使するべきです。本サイト利用者の判断においてリスクを正当なものとして受け入れる用意がない限り、コンテンツにおいて提案されている検査または処置がなされるべきではありません。 医学の急速な進歩に鑑み、エルゼビアは、本サイト利用者が診断方法および投与量について、独自に検証を行うことを推奨いたします。
薬剤監修について:
オーダー内の薬剤用量は日本医科大学付属病院 薬剤部 部長 伊勢雄也 以下、渡邉裕次、井ノ口岳洋、梅田将光および日本医科大学多摩永山病院 副薬剤部長 林太祐による疑義照会のプロセスを実施、疑義照会の対象については著者の方による再確認を実施しております。
※薬剤中分類、用法、同効薬、診療報酬は、エルゼビアが独自に作成した薬剤情報であり、 著者により作成された情報ではありません。
尚、用法は添付文書より、同効薬は、薬剤師監修のもとで作成しております。
※同効薬・小児・妊娠および授乳中の注意事項等は、海外の情報も掲載しており、日本の医療事情に適応しない場合があります。
※薬剤情報の(適外/適内/⽤量内/⽤量外/㊜)等の表記は、エルゼビアジャパン編集部によって記載日時にレセプトチェックソフトなどで確認し作成しております。ただし、これらの記載は、実際の保険適応の査定において保険適応及び保険適応外と判断されることを保証するものではありません。また、検査薬、輸液、血液製剤、全身麻酔薬、抗癌剤等の薬剤は保険適応の記載の一部を割愛させていただいています。
(詳細はこちらを参照)
著者のCOI(Conflicts of Interest)開示:
高橋裕 : 報酬額(ノボノルディスクファーマ(株)),講演料(ノボノルディスクファーマ(株))[2024年]
監修:平田結喜緒 : 特に申告事項無し[2025年]

ページ上部に戻る

戻る

さらなるご利用にはご登録が必要です。

こちらよりご契約または優待日間無料トライアルお申込みをお願いします。

(※トライアルご登録は1名様につき、一度となります)


ご契約の場合はご招待された方だけのご優待特典があります。

以下の優待コードを入力いただくと、

契約期間が通常12ヵ月のところ、14ヵ月ご利用いただけます。

優待コード: (利用期限:まで)

ご契約はこちらから