今日の臨床サポート 今日の臨床サポート

著者: 瀬良誠 福井県立病院 救命救急センター

監修: 林寛之 福井大学医学部附属病院

著者校正済:2025/09/17
現在監修レビュー中
参考ガイドライン:
  1. The American College of Surgeons(acs):Best Practices Guidelines in Management of Traumatic Brain Injury(2024年10月改訂)
  1. Guidelines for the Management of Severe Traumatic Brain Injury 第4版
  1. 頭部外傷治療・管理のガイドライン(第4版)
  1. 小児重症頭部外傷ガイドライン(第3版)
患者向け説明資料

改訂のポイント:
  1. 米国外科学会より発表された、外傷性脳損傷管理におけるベストプラクティスガイドラインを基に改訂を行った。上記ガイドラインは重症頭部外傷に特化したものではないが、重症頭部外傷に関連する内容について抜粋して追記した。
  1. 重症度に関係なく頭部外傷全般において重要なことなどを追記した。
  1. 重症頭部外傷については頭部外傷を有する多発外傷患者における他部位(頭蓋外)手術の適応やタイミングについて、ほかのガイドラインには認めない項目があるので加筆した。
  1. 頭部外傷患者における抗凝固薬の中和(リバース)についてDOACの追加とともに最新のエビデンスを加筆、修正した。

概要・推奨   

  1. 重症頭部外傷はまだ確立されたエビデンスが乏しく、国内外のガイドラインでは「すべきこと」よりも「避けること」「してはいけないこと」に重点がおかれている。
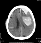
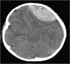
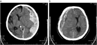
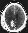
  1. 重症頭部外傷では2次性脳損傷の予防に重点がおかれる。
  1. 低血圧(収縮期血圧110~120 mmHg)と低酸素(SpO2<90%)は明らかな予後不良因子のため、これらを回避することに細心の注意を要する。
アカウントをお持ちの方はログイン
  1. 閲覧にはご契約が必要となります。閲覧にはご契約が必要となります。閲覧にはご契約が 必要となります。 閲覧にはご契 約が必要となります。 閲覧に はご契約が必要となります。閲覧にはご契約が必
  1. 閲覧にはご契約が必要となります。閲覧にはご契約が必要となります。閲覧にはご契約が必要となります。閲覧にはご

これより先の閲覧には個人契約のトライアルまたはお申込みが必要です。

最新のエビデンスに基づいた二次文献データベース「今日の臨床サポート」。
常時アップデートされており、最新のエビデンスを各分野のエキスパートが豊富な図表や処方・検査例を交えて分かりやすく解説。日常臨床で遭遇するほぼ全ての症状・疾患から薬剤・検査情報まで瞬時に検索可能です。

まずは15日間無料トライアル
本サイトの知的財産権は全てエルゼビアまたはコンテンツのライセンサーに帰属します。私的利用及び別途規定されている場合を除き、本サイトの利用はいかなる許諾を与えるものでもありません。 本サイト、そのコンテンツ、製品およびサービスのご利用は、お客様ご自身の責任において行ってください。本サイトの利用に基づくいかなる損害についても、エルゼビアは一切の責任及び賠償義務を負いません。 また、本サイトの利用を以て、本サイト利用者は、本サイトの利用に基づき第三者に生じるいかなる損害についても、エルゼビアを免責することに合意したことになります。  本サイトを利用される医学・医療提供者は、独自の臨床的判断を行使するべきです。本サイト利用者の判断においてリスクを正当なものとして受け入れる用意がない限り、コンテンツにおいて提案されている検査または処置がなされるべきではありません。 医学の急速な進歩に鑑み、エルゼビアは、本サイト利用者が診断方法および投与量について、独自に検証を行うことを推奨いたします。
薬剤監修について:
オーダー内の薬剤用量は日本医科大学付属病院 薬剤部 部長 伊勢雄也 以下、渡邉裕次、井ノ口岳洋、梅田将光および日本医科大学多摩永山病院 副薬剤部長 林太祐による疑義照会のプロセスを実施、疑義照会の対象については著者の方による再確認を実施しております。
※薬剤中分類、用法、同効薬、診療報酬は、エルゼビアが独自に作成した薬剤情報であり、 著者により作成された情報ではありません。
尚、用法は添付文書より、同効薬は、薬剤師監修のもとで作成しております。
※同効薬・小児・妊娠および授乳中の注意事項等は、海外の情報も掲載しており、日本の医療事情に適応しない場合があります。
※薬剤情報の(適外/適内/⽤量内/⽤量外/㊜)等の表記は、エルゼビアジャパン編集部によって記載日時にレセプトチェックソフトなどで確認し作成しております。ただし、これらの記載は、実際の保険適応の査定において保険適応及び保険適応外と判断されることを保証するものではありません。また、検査薬、輸液、血液製剤、全身麻酔薬、抗癌剤等の薬剤は保険適応の記載の一部を割愛させていただいています。
(詳細はこちらを参照)
著者のCOI(Conflicts of Interest)開示:
瀬良誠 : 特に申告事項無し[2025年]
監修:林寛之 : 原稿料((株)羊土社)[2025年]

ページ上部に戻る

戻る

さらなるご利用にはご登録が必要です。

こちらよりご契約または優待日間無料トライアルお申込みをお願いします。

(※トライアルご登録は1名様につき、一度となります)


ご契約の場合はご招待された方だけのご優待特典があります。

以下の優待コードを入力いただくと、

契約期間が通常12ヵ月のところ、14ヵ月ご利用いただけます。

優待コード: (利用期限:まで)

ご契約はこちらから