今日の臨床サポート 今日の臨床サポート

著者: 小川郁 慶應義塾大学病院 耳鼻咽喉科/オトクリニック東京

監修: 小島博己 東京慈恵会医科大学 耳鼻咽喉科

著者校正/監修レビュー済:2025/09/02
患者向け説明資料

改訂のポイント:
  1. 定期レビューを行い、若干の加筆、修正を行った。
  1. 症例を追記した。

概要・推奨   

  1. 急性感音難聴を来す疾患としては、本項で取り上げた突発性難聴、急性低音障害型感音難聴、外リンパ瘻の他にもメニエール病、音響外傷、ムンプス難聴などがある。『急性感音難聴診療の手引き 2018年版』ではこれらの疾患の診断の流れとしての診断フローチャートを示した。
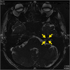
  1. 突発性難聴診断の推奨グレードA(1)またはB(2)は「発症した時期・状況につて把握する」(A)、「めまいの有無および症状の反復の有無について確認する」(A)、「両側同時に発症する突発性難聴は極めてまれであるため、他の原因による難聴について検討する」(A)、「聴神経腫瘍に伴う難聴との鑑別のため、MRIによる検査を行う」(B)、「再現性のある自覚的検査所見が得られない場合には、他覚的聴力検査を実施する」(B)、急性低音障害型感音難聴やメニエール病の鑑別では「低音部に限定した難聴かどうかを確認する(B)、メニエール病では発作を繰り返すことが特徴で割るため、経過を観察し再発の有無を確認する」(B)。
  1. 突発性難聴診治療の推奨グレードAまたはBは「早期に治療を開始したほうが予後良好であり、早期治療を行う」(A)、「ステロイド全身投与後のサルベージ治療としてのステロイド鼓室内投与は有意に聴力を改善するため、その臨床的意義は必ずしも明確ではないが、行うことを推奨する」(B)となっているが、初期治療法としてはステロイド剤(本項における推奨度は2)を含めて推奨グレードB以上のものはない。

これより先の閲覧には個人契約のトライアルまたはお申込みが必要です。

最新のエビデンスに基づいた二次文献データベース「今日の臨床サポート」。
常時アップデートされており、最新のエビデンスを各分野のエキスパートが豊富な図表や処方・検査例を交えて分かりやすく解説。日常臨床で遭遇するほぼ全ての症状・疾患から薬剤・検査情報まで瞬時に検索可能です。

まずは15日間無料トライアル
本サイトの知的財産権は全てエルゼビアまたはコンテンツのライセンサーに帰属します。私的利用及び別途規定されている場合を除き、本サイトの利用はいかなる許諾を与えるものでもありません。 本サイト、そのコンテンツ、製品およびサービスのご利用は、お客様ご自身の責任において行ってください。本サイトの利用に基づくいかなる損害についても、エルゼビアは一切の責任及び賠償義務を負いません。 また、本サイトの利用を以て、本サイト利用者は、本サイトの利用に基づき第三者に生じるいかなる損害についても、エルゼビアを免責することに合意したことになります。  本サイトを利用される医学・医療提供者は、独自の臨床的判断を行使するべきです。本サイト利用者の判断においてリスクを正当なものとして受け入れる用意がない限り、コンテンツにおいて提案されている検査または処置がなされるべきではありません。 医学の急速な進歩に鑑み、エルゼビアは、本サイト利用者が診断方法および投与量について、独自に検証を行うことを推奨いたします。
薬剤監修について:
オーダー内の薬剤用量は日本医科大学付属病院 薬剤部 部長 伊勢雄也 以下、渡邉裕次、井ノ口岳洋、梅田将光および日本医科大学多摩永山病院 副薬剤部長 林太祐による疑義照会のプロセスを実施、疑義照会の対象については著者の方による再確認を実施しております。
※薬剤中分類、用法、同効薬、診療報酬は、エルゼビアが独自に作成した薬剤情報であり、 著者により作成された情報ではありません。
尚、用法は添付文書より、同効薬は、薬剤師監修のもとで作成しております。
※同効薬・小児・妊娠および授乳中の注意事項等は、海外の情報も掲載しており、日本の医療事情に適応しない場合があります。
※薬剤情報の(適外/適内/⽤量内/⽤量外/㊜)等の表記は、エルゼビアジャパン編集部によって記載日時にレセプトチェックソフトなどで確認し作成しております。ただし、これらの記載は、実際の保険適応の査定において保険適応及び保険適応外と判断されることを保証するものではありません。また、検査薬、輸液、血液製剤、全身麻酔薬、抗癌剤等の薬剤は保険適応の記載の一部を割愛させていただいています。
(詳細はこちらを参照)
著者のCOI(Conflicts of Interest)開示:
小川郁 : 特に申告事項無し[2024年]
監修:小島博己 : 特に申告事項無し[2025年]

ページ上部に戻る

戻る

さらなるご利用にはご登録が必要です。

こちらよりご契約または優待日間無料トライアルお申込みをお願いします。

(※トライアルご登録は1名様につき、一度となります)


ご契約の場合はご招待された方だけのご優待特典があります。

以下の優待コードを入力いただくと、

契約期間が通常12ヵ月のところ、14ヵ月ご利用いただけます。

優待コード: (利用期限:まで)

ご契約はこちらから