今日の臨床サポート 今日の臨床サポート

著者: 新倉量太 東京医科大学病院 内視鏡センター

監修: 上村直実 国立健康危機管理研究機構(JIHS)国立国府台医療センター/東京医科大学消化器内視鏡センター

著者校正/監修レビュー済:2025/06/10
患者向け説明資料

改訂のポイント:
  1. 定期レビューを行い、以下について加筆・修正した。
  1. 大腸憩室炎の抗菌薬加療
  1. 2024年、オーストラリアにおいて、主にS状結腸または下行側結腸の合併症(膿瘍・瘻孔形成)を伴わない憩室炎患者を対象に、経口抗菌薬投与群と静脈注射抗菌薬投与群の非劣性単施設ランダム化比較試験が報告された。結果、経口抗菌薬投与群が静脈注射抗菌薬投与群に対して非劣性であることが明らかになった(McClintock S, et al. ANZ J Surg. 2024 Mar;94(3):397-403.)。
    これらの試験の結果から、Hinchey Stage IのS状結腸大腸憩室炎患者は保存的加療が適応となり、S状結腸および下行側結腸のHinchey Stage I憩室炎患者は、5日間の経口抗菌薬投与による外来加療が可能であると考える。ただし、これらの試験は、大腸憩室炎の病態が従来の憩室の穿通によるものではなく、血管の虚血性変化が関連している可能性を示唆しており、さらなる研究が必要である。
  1. 大腸憩室出血の治療
  1. バンド結紮術:クリップ法と異なる内視鏡止血法として、高い止血効果が報告されているバンド結紮術がある。視認したSRHを吸引し、憩室を反転させた状態でバンドによる結紮を行う処置法である。この方法は、クリップを展開・操作するスペースが確保できない憩室出血病変に対して有用である。一方、クリップ法とは異なり、SRHからずれてバンドが結紮される場合には、追加のバンド結紮術を施行することが困難となる。バンド結紮術は腸管穿孔の有害事象が複数例報告されているため、注意が必要である。
  1. 留置スネア法:EDSLは留置スネアを用い、内視鏡の再挿入を必要としない新たな止血法である。EDSLは結腸憩室出血の治療において有用かつ安全であることが示されている。
  1. 新たな内視鏡的止血法:新規の金属クリップであるover-the-scope clip(OTSC)やpowder散布を用いた内視鏡止血法も報告されている(Kawano K, et al. J Clin Med. 2021 Jun 29;10(13):2891.、Yamazaki K, et al. VideoGIE. 2020 Apr 1;5(6):252-254.、Ng JL, et al. ANZ J Surg. 2019 Mar;89(3):E56-E60.)。
    OTSCは金属クリップとバンド結紮術を組み合わせた新しい止血法で、バンド結紮術と同様にSRHを吸引し、専用の金属クリップを結紮することで効果的な止血処置を行う。後ろ向きの観察研究において、止血powder散布をバンド結紮術と併用した場合、クリップ法単独による止血法と比較して再出血率が約15%低下したという報告がある(Yamaguchi D, et al. Gastrointest Endosc. 2024 Nov 8:S0016-5107(24)03687-3.)。
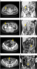
  1. 大腸憩室炎と大腸憩室出血の典型例

概要・推奨   

大腸憩室炎
ポイント
  1. 大腸憩室炎は急性期に、膿瘍形成、腸閉塞、瘻孔形成、穿孔、腹膜炎などの状態を合併することがある。
アカウントをお持ちの方はログイン
閲覧にはご契
閲覧には
  1. 閲覧にはご契約が必要となります。閲覧にはご契約が必要となります。閲覧にはご契約が必要となります。閲覧にはご契約が必要と
  1. 閲覧にはご契約が必要となります。閲覧にはご契約が必要となります。閲覧にはご契約が

これより先の閲覧には個人契約のトライアルまたはお申込みが必要です。

最新のエビデンスに基づいた二次文献データベース「今日の臨床サポート」。
常時アップデートされており、最新のエビデンスを各分野のエキスパートが豊富な図表や処方・検査例を交えて分かりやすく解説。日常臨床で遭遇するほぼ全ての症状・疾患から薬剤・検査情報まで瞬時に検索可能です。

まずは15日間無料トライアル
本サイトの知的財産権は全てエルゼビアまたはコンテンツのライセンサーに帰属します。私的利用及び別途規定されている場合を除き、本サイトの利用はいかなる許諾を与えるものでもありません。 本サイト、そのコンテンツ、製品およびサービスのご利用は、お客様ご自身の責任において行ってください。本サイトの利用に基づくいかなる損害についても、エルゼビアは一切の責任及び賠償義務を負いません。 また、本サイトの利用を以て、本サイト利用者は、本サイトの利用に基づき第三者に生じるいかなる損害についても、エルゼビアを免責することに合意したことになります。  本サイトを利用される医学・医療提供者は、独自の臨床的判断を行使するべきです。本サイト利用者の判断においてリスクを正当なものとして受け入れる用意がない限り、コンテンツにおいて提案されている検査または処置がなされるべきではありません。 医学の急速な進歩に鑑み、エルゼビアは、本サイト利用者が診断方法および投与量について、独自に検証を行うことを推奨いたします。
薬剤監修について:
オーダー内の薬剤用量は日本医科大学付属病院 薬剤部 部長 伊勢雄也 以下、渡邉裕次、井ノ口岳洋、梅田将光および日本医科大学多摩永山病院 副薬剤部長 林太祐による疑義照会のプロセスを実施、疑義照会の対象については著者の方による再確認を実施しております。
※薬剤中分類、用法、同効薬、診療報酬は、エルゼビアが独自に作成した薬剤情報であり、 著者により作成された情報ではありません。
尚、用法は添付文書より、同効薬は、薬剤師監修のもとで作成しております。
※同効薬・小児・妊娠および授乳中の注意事項等は、海外の情報も掲載しており、日本の医療事情に適応しない場合があります。
※薬剤情報の(適外/適内/⽤量内/⽤量外/㊜)等の表記は、エルゼビアジャパン編集部によって記載日時にレセプトチェックソフトなどで確認し作成しております。ただし、これらの記載は、実際の保険適応の査定において保険適応及び保険適応外と判断されることを保証するものではありません。また、検査薬、輸液、血液製剤、全身麻酔薬、抗癌剤等の薬剤は保険適応の記載の一部を割愛させていただいています。
(詳細はこちらを参照)
著者のCOI(Conflicts of Interest)開示:
新倉量太 : 特に申告事項無し[2025年]
監修:上村直実 : 講演料(武田薬品工業(株),カイゲンファーマ(株))[2025年]

ページ上部に戻る

戻る

さらなるご利用にはご登録が必要です。

こちらよりご契約または優待日間無料トライアルお申込みをお願いします。

(※トライアルご登録は1名様につき、一度となります)


ご契約の場合はご招待された方だけのご優待特典があります。

以下の優待コードを入力いただくと、

契約期間が通常12ヵ月のところ、14ヵ月ご利用いただけます。

優待コード: (利用期限:まで)

ご契約はこちらから